[ Новые сообщения · Участники · Правила форума · Поиск · RSS ]



  • Страница 3 из 3
  • «
  • 1
  • 2
  • 3
Модератор форума: renmaster  
Флюорограф "ПроСкан-7000" ЗАО «Рентгенпром» г. Истра
Polo11Дата: Четверг, 08.Апр.2010, 22:40 | Сообщение # 1
У вас сообщений: 582
рентген
OFFлайн
Российская Федерация

русский
Регистрационное удостоверение РЗН 2014/1875 от 05.02.2024 (ранее от 22.12.2022, от 06.06.2019, от 19.08.2014) года на Флюорограф малодозовый цифровой сканирующий с рентгенозащитной кабиной, понижающей радиационную нагрузку на персонал ФМцс-«ПроСкан» в следующих исполнениях: «ПроСкан-2000» и «ПроСкан-7000», производства ЗАО "РЕНТГЕНПРОМ", Россия, Московская область, г. Истра.

.
Есть масса тем про флюорограф "ПроСкан-7000", их см. по ссылке: - http://www.medteh.info/forum/33-0-1-0-10-1-[проскан-7000] .

.


....

Сообщение отредактировал Polo11 - Четверг, 08.Апр.2010, 22:41
 
trueman585Дата: Среда, 15.Июл.2015, 10:12 | Сообщение # 81
Стажер
У вас сообщений: 32
Инженер
OFFлайн
Российская Федерация

Самара
После юстировки делал калибровку. полосы стали отчетливее и на равных расстояниях др. от др. переделать калибровку?
 
totoДата: Понедельник, 21.Дек.2015, 09:51 | Сообщение # 82
Участник
У вас сообщений: 82
Системный программист
OFFлайн
Российская Федерация

ЦФО
Добрый день, подскажите данный дефект с чем связан?
1536624.jpg (62.1 Kb)
 
yaxiec62220Дата: Понедельник, 21.Дек.2015, 11:45 | Сообщение # 83
Стажер
У вас сообщений: 6
data-base-SW-engineer
OFFлайн
Российская Федерация

Рославль
лопухнулся - это оказывается другой тип сенсора (думал знакоый TFT - а это линейка типа панорамника)

Сообщение отредактировал yaxiec62220 - Понедельник, 21.Дек.2015, 12:02
 
yaxiec62220Дата: Понедельник, 21.Дек.2015, 11:52 | Сообщение # 84
Стажер
У вас сообщений: 6
data-base-SW-engineer
OFFлайн
Российская Федерация

Рославль
извиняюсь - выше дал нерелевантный совет

-

Сообщение отредактировал yaxiec62220 - Понедельник, 21.Дек.2015, 12:02
 
NikolinДата: Четверг, 24.Дек.2015, 21:38 | Сообщение # 85
Стажер
У вас сообщений: 20
медтехник
OFFлайн
Российская Федерация

Санкт-Петербург
toto,
маловато описания проблемки, конечно. :-)
У меня буквально на прошлой неделе были абсолютно такие же картинки на Проскан-2000. Такая картинка обычно свидетельствует о наводке на сигнальный кабель.
Я у себя проверил кабель, который идёт от детектора к плате захвата сигнала на ПК лаборанта - там были петли, т.е., кабель был слишком длинным и его смотали в небольшую "бухту" (буквально три витка). Похоже, что эти витки и способствовали наводке, т.к. после устранения петель проблема ушла полностью.
Проверьте - нет ли у вас таких "витков" где-нибудь и уберите их. Дополнительно, для улучшения результата, максимально укоротите сигнальный кабель (детектор-ПК).
Постоянно такие картинки? Или иногда?


siva pacem

Сообщение отредактировал Nikolin - Четверг, 24.Дек.2015, 21:39
 
totoДата: Понедельник, 28.Дек.2015, 09:24 | Сообщение # 86
Участник
У вас сообщений: 82
Системный программист
OFFлайн
Российская Федерация

ЦФО
Цитата Nikolin ()
Проверьте - нет ли у вас таких "витков" где-нибудь и уберите их. Дополнительно, для улучшения результата, максимально укоротите сигнальный кабель (детектор-ПК).
Постоянно такие картинки? Или иногда?
Как появилось, так и прошло само по себе.
 
IgorGiДата: Вторник, 29.Дек.2015, 13:48 | Сообщение # 87
Завсегдатай
У вас сообщений: 228
инженер
OFFлайн
Российская Федерация

Пятигорск
toto,
Похоже аппарат при загрузке не подхватывал файл калибровки детектора. А теперь подхватывает. Я бы проверил состояние HDD, ФС и вирусы.
 
fan7768Дата: Понедельник, 08.Фев.2016, 06:29 | Сообщение # 88
Участник
У вас сообщений: 136
электромеханник
OFFлайн
Российская Федерация

РОССИЯ
1. Периодически (несколько раз за день) выдает снимки с горизонтальными полосами (см. приложение). Откалибровать детектор (если вообще дело в нем) возможности нет, т.к. у данного аппарата нет обратной связи по анодному току (с МКУ).
2. На другом аппарате несколько раз в день (бывает даже подряд), снимок заканчивается преждевременно (высокое отключается, дверь открывается, никаких ошибок не выпадает).

PS Питающие на обоих УРП-30-СЧ
3452534.jpg (147.4 Kb)


Сообщение отредактировал fan7768 - Понедельник, 08.Фев.2016, 06:35
 
MUSAДата: Понедельник, 08.Фев.2016, 22:16 | Сообщение # 89
Стажер
У вас сообщений: 30
инженер
OFFлайн
Российская Федерация

Махачкала
Проверьте писи плату,
 
fan7768Дата: Среда, 17.Фев.2016, 05:19 | Сообщение # 90
Участник
У вас сообщений: 136
электромеханник
OFFлайн
Российская Федерация

РОССИЯ
ап
 
petroveechДата: Среда, 17.Фев.2016, 08:23 | Сообщение # 91
У вас сообщений: 1072
Иженер
OFFлайн
Российская Федерация

Ставрополь
Как нет связи по току? Точечку переставить в проге надо.
Отклейте штуку, куда пациент прижимается. Проверьте крепление детектора.
Калибровка тут первое, что я бы сделал.


При обращении пишите мыло сразу.
 
VikeyДата: Среда, 17.Фев.2016, 09:31 | Сообщение # 92
У вас сообщений: 303
Инженер по ремонту
OFFлайн
Украина

Украина
Была похожая проблема после ремонта платы накала, не могли понять откуда полосы и тоже через раз, делал калибровку трубки и детектора, не помогло. Заземлили В\В генератор и системный блок, все пропало.

Сообщение отредактировал Vikey - Среда, 17.Фев.2016, 09:33
 
fan7768Дата: Четверг, 18.Фев.2016, 05:00 | Сообщение # 93
Участник
У вас сообщений: 136
электромеханник
OFFлайн
Российская Федерация

РОССИЯ
Цитата petroveech ()
Как нет связи по току?

На аппарате ремонтировали генератор (не я - что делали не знаю), когда вернули, обратной связи не было. Думаю, что дело в плате МКУ. В любом случае калибровка отпадает. Крепление линейки тут тоже не при чем. Подозрения есть на плату видеозахвата, но заменить ее не чем, а чистка дорожек разъема не помогает.

Цитата petroveech ()
Заземлили В\В генератор и системный блок, все пропало.

Надо будет проверить заземление.
 
saddam-095Дата: Среда, 01.Июн.2016, 16:46 | Сообщение # 94
Завсегдатай
У вас сообщений: 269
электромеханик
OFFлайн
Российская Федерация

гудермес
Уважаемые коллеги!
Помогите, пожалуйста, разобраться. 25 мая аппарат отработал отлично, а 31 мая муть какая-то.
4953493.jpg (97.8 Kb) · 3509980.jpg (83.8 Kb)


Сообщение отредактировал saddam-095 - Пятница, 03.Июн.2016, 20:16
 
petroveechДата: Среда, 01.Июн.2016, 22:02 | Сообщение # 95
У вас сообщений: 1072
Иженер
OFFлайн
Российская Федерация

Ставрополь
Ток в норме? Очень похоже на инвертор. Питающее какое?

При обращении пишите мыло сразу.

Сообщение отредактировал petroveech - Среда, 01.Июн.2016, 22:03
 
saddam-095Дата: Среда, 01.Июн.2016, 23:09 | Сообщение # 96
Завсегдатай
У вас сообщений: 269
электромеханик
OFFлайн
Российская Федерация

гудермес
Питающее Сч. Есть подозрение что ребята прокатилась с не зафиксированным детектором, (последний раз у них дверь спрыгнула с рельсы). Но что могло случиться..? Луч мог уйти от линейки?
 
fan7768Дата: Четверг, 02.Июн.2016, 04:49 | Сообщение # 97
Участник
У вас сообщений: 136
электромеханник
OFFлайн
Российская Федерация

РОССИЯ
Если бы ушел луч, пошли бы полосы.
 
bug_moДата: Четверг, 02.Июн.2016, 05:30 | Сообщение # 98
Стажер
У вас сообщений: 44
ученик)
OFFлайн
Казахстан

Город "Х"
я бы попробовал увеличить зазор в коллиматоре, только метки поставить не забудьте, чтоб вернуть на место если что
 
fan7768Дата: Четверг, 02.Июн.2016, 06:04 | Сообщение # 99
Участник
У вас сообщений: 136
электромеханник
OFFлайн
Российская Федерация

РОССИЯ
Дело скорее всего в детекторе. Если бы проблема была с инвертором, снимки были бы недобитыми; с юстировкой коллиматора - вертикальные полосы и пятна по краям. С подобной нечеткостью сталкиваться не проиходилось, но думаю, что дело в самом детекторе.
 
petroveechДата: Четверг, 02.Июн.2016, 12:00 | Сообщение # 100
У вас сообщений: 1072
Иженер
OFFлайн
Российская Федерация

Ставрополь
Было такое. Детектор в железо смотрел.

При обращении пишите мыло сразу.
 
saddam-095Дата: Пятница, 03.Июн.2016, 20:15 | Сообщение # 101
Завсегдатай
У вас сообщений: 269
электромеханик
OFFлайн
Российская Федерация

гудермес
Спасибо всем за Отзывчивость! Мои подозрения подтвердились... Луч не попадал на детектор. Дибил лаборант и шумаХЕР водила.... Уважаемые коллеги! За последнюю неделю вышло из строя 4 флюшки, может это быть связано с погодой? у нас грозы не прекращаються....еще раз всем спасибо!

Сообщение отредактировал saddam-095 - Пятница, 03.Июн.2016, 20:20
 
group2013Дата: Вторник, 14.Авг.2018, 12:47 | Сообщение # 102
Заглянувший
У вас сообщений: 2
Инженер по установкам медицинского
OFFлайн
Российская Федерация

Кизляр
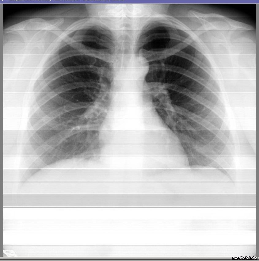
Доброго дня кудесникам! ПроСкан 7000 2016 г. Горизонтальная черная полоса 20 мм чуть ниже середины. Пока не не разбирался, решил получить ВАШИ советы. ПОМОГИТЕ.
9822582.jpg (55.3 Kb)
 
group2013Дата: Среда, 17.Окт.2018, 11:42 | Сообщение # 103
Заглянувший
У вас сообщений: 2
Инженер по установкам медицинского
OFFлайн
Российская Федерация

Кизляр
Доброго дня ! ПроСкан 7000 2016 г. Горизонтальная черная полоса 20 мм чуть ниже середины. Пока не не разбирался, решил получить ВАШИ советы. ПОМОГИТЕ.
2049747.jpg (55.3 Kb)
 
HVДата: Понедельник, 22.Окт.2018, 18:31 | Сообщение # 104
Стажер
У вас сообщений: 13
Инженер
OFFлайн
Российская Федерация

Город
Цитата group2013 ()
Доброго дня ! ПроСкан 7000 2016 г. Горизонтальная черная полоса 20 мм чуть ниже середины. Пока не не разбирался, решил получить ВАШИ советы. ПОМОГИТЕ.


Скорее всего вышел из строя один из сегментов линейного детектора. Он составной и не ремонтопригоден, попробуйте передернуть разъемы детектора, если не поможет скорее всего необходима замена. Звоните в Рентгенпром, может возьмутся за ремонт, что мало вероятно(
 
HVДата: Понедельник, 22.Окт.2018, 18:34 | Сообщение # 105
Стажер
У вас сообщений: 13
Инженер
OFFлайн
Российская Федерация

Город
Хотя можете попробовать разобрать, пропаять или прогреть сегмент который не отвечает. Конечно на свой страх и риск.
 
bk-bassДата: Четверг, 19.Дек.2019, 13:17 | Сообщение # 106
Участник
У вас сообщений: 73
сервис-инженер
OFFлайн
Российская Федерация

Владивосток
Парни привет. Похожая проблемма. Аппарат за месяц до окончания гарантии начал так чудить. На пол экрана горизонтальные полосы. Появились внезапно. Калибровку приёмника провёл, кабель передёрнул, плату почистил. Предпологаю 2 варианта. Приёмник или кабель. Как там происходит съём информации? Может разряд куда пропал. Есть кто точно знает причину?
2288344.jpg (217.2 Kb) · 5832757.jpg (132.1 Kb) · 8879927.jpg (215.7 Kb)
 
RADIOTECHNICДата: Воскресенье, 22.Дек.2019, 15:59 | Сообщение # 107
Стажер
У вас сообщений: 37
Рентгеномеханик, электромеханик.
OFFлайн
Казахстан

********
Попробуйте переименовать файл калибровки, и откалибровать заново, у меня была подобная проблема решилась так как описал.
 
bk-bassДата: Вторник, 24.Дек.2019, 08:02 | Сообщение # 108
Участник
У вас сообщений: 73
сервис-инженер
OFFлайн
Российская Федерация

Владивосток
С завода должны прислать плату, а там посмотрим.
 
petroveechДата: Суббота, 04.Янв.2020, 18:51 | Сообщение # 109
У вас сообщений: 1072
Иженер
OFFлайн
Российская Федерация

Ставрополь
Отпишись пож решилось ли и как.

При обращении пишите мыло сразу.
 
NikolinДата: Среда, 15.Янв.2020, 00:12 | Сообщение # 110
Стажер
У вас сообщений: 20
медтехник
OFFлайн
Российская Федерация

Санкт-Петербург
bk-bass, есть ли новости - замена какой платы помогла и помогла ли? Какую плату предложили заменить? Интерфейсную, которая в ПК стоит?

siva pacem
 
bk-bassДата: Четверг, 20.Фев.2020, 00:58 | Сообщение # 111
Участник
У вас сообщений: 73
сервис-инженер
OFFлайн
Российская Федерация

Владивосток
Заменили плату в компе.
 
VitaminDE2021Дата: Среда, 06.Апр.2022, 21:35 | Сообщение # 112
Стажер
У вас сообщений: 5
Новичок
OFFлайн
Российская Федерация

Воронеж
Здравствуйте, уважаемые медтехники!
Аппарат "ПроСкан-7000" (2006 год).
Перестал делать снимки. Почему-то ток 0 показывает.
Снимки не делает.
После нажатия кнопки "Высокое", дверь закрывается, но на этапе "высокое" индикатор загорается жёлтым, ошибок не выскакивает.
Снимок - сплошные полосы.
Скажите где искать проблему?
Что проверить в первую очередь?
5391615.jpg (98.7 Kb)
 
HugytruggerДата: Пятница, 29.Июл.2022, 15:12 | Сообщение # 113
Стажер
У вас сообщений: 5
начинающий специалист
OFFлайн
Российская Федерация

Тюмень
Может и детектор подклинить. Надо убедиться, что уходит туда и возвращается обратно ...
.

Но, пардон, это к тому, что на снимке полосы, а если ток нулевой, то верно, все рекомендации уже выше описали ...
 
Kazbek_05Дата: Среда, 07.Дек.2022, 22:42 | Сообщение # 114
Стажер
У вас сообщений: 4
Инженер
OFFлайн
Российская Федерация

Тюмень
VitaminDE2021, скорее всего, проблема с платой накала.
Проверь питание повышайки затвора IGBT транзистора с гальванической развязкой, а также проверь управляющие сигналы, как и с ШИМа, так и с платы МКУ, а так же проверь обратную связь по току.
 
  • Страница 3 из 3
  • «
  • 1
  • 2
  • 3
Поиск:



Статистика Форума
Последние обновления тем: Новые файлы хранилища: Новые участники: Top10 участников:
1. Замена светодиода на ...[Shturman (05.Дек.2025)]
2. Анализатор поля зрени...[SpirituS (04.Дек.2025)]
3. Программный комплекс ...[mqubali (04.Дек.2025)]
4. Кардиорегистратор «ИК...[albano18 (04.Дек.2025)]
5. Thermo Scientific gem...[viggen (03.Дек.2025)]
6. Центрифуга CM-6M ф.El...[Ningen64 (03.Дек.2025)]
7. Дефибриллятор Defi B ...[san-che30 (02.Дек.2025)]
8. Коллиматор Ralco R 22...[seeker (02.Дек.2025)]
9. КУПЛЮ/ПРИМУ в дар при...[seabee (02.Дек.2025)]
1. VIVIX Setup Operation...[12.Окт.2025]
2. GenwareMP[10.Сен.2025]
3. Настройка реагентов M...[20.Авг.2025]
4. Philips HD3-EXP[13.Авг.2025]
5. Рентгеновское оборудо...[08.Авг.2025]
6. VersaMed iVent201 Сер...[13.Фев.2025]
7. Гелпик КРД Ренекс РЦ ...[09.Фев.2025]
8. Офтальмологическая ус...[31.Окт.2024]
9. Cardinal-Health-VELA-...[03.Окт.2024]
10. Service Manual HAMILT...[02.Окт.2024]
1. Dvish[05.Дек.2025]
2. Intellect[05.Дек.2025]
3. Romanivanov[05.Дек.2025]
4. igogoigogo[05.Дек.2025]
5. 1rishka[04.Дек.2025]
6. L_V_N[04.Дек.2025]
7. ИвановИИ[04.Дек.2025]
8. Alex_U[04.Дек.2025]
9. Yarikus03[03.Дек.2025]
10. EvaLen[03.Дек.2025]
МастерБаку[583]
Yulana34[177]
Serg74[160]
Dimitrius[129]
naves[122]
РОМУЛ[121]
bektyish[121]
madmac[116]
Алекс-200[114]
begun_a[112]