[ Новые сообщения · Участники · Правила форума · Поиск · RSS ]



  • Страница 1 из 1
  • 1
Модератор форума: renmaster  
ФЦ-01 "Электрон" ПО DIRA не ЭОС настроить DICOM
Stariy_irkДата: Четверг, 24.Сен.2015, 16:01 | Сообщение # 1
Стажер
У вас сообщений: 8
Программист
OFFлайн
Российская Федерация

Иркутск
Доброго времени суток!

ФЦ-01 "Электрон" ПО DIRA ОКО, не ЭОС
Помогите настроить обмен DICOM.

в файле fluro.ini прописываю:

[DICOM]
InstitutionName=ххх
InstitutionAddress=ххх

StorageCSUUse=1

StorageCSUServerPort=4006
StorageCSUServerAddress=192.168.10.31
StorageCSUServerAETitle=AE_TITLE

StorageCSULocalAETitle=DIRA
StorageCSULocalPort=4006

StorageCSUCharacterSet=ISO_IR 144
StorageCSUTimeout=300000
StorageCSUInverse=1

в реестр добавил:
[HKEY_LOCAL_MACHINE\SOFTWARE\Elektron\DICOM\PrintModule]
"DICOM Support"="Password"
(хотя вот это значение "Password" меня настораживает)

Делаю все на АРМ врача, не активируется кнопка DICOM, сервер работает, принимает снимки от другого аппарата, пинг до сервера есть.
 
Alex70ttДата: Четверг, 24.Сен.2015, 18:41 | Сообщение # 2
У вас сообщений: 524
рентген техник
OFFлайн
Российская Федерация

вся Россия
на дире DICOM не работает

!
 
Stariy_irkДата: Пятница, 25.Сен.2015, 04:59 | Сообщение # 3
Стажер
У вас сообщений: 8
Программист
OFFлайн
Российская Федерация

Иркутск
Судя по логам в DICOMStore.Log когда-то работал:

[2007.08.01 13:55]
13:55:56.421_CreateDICOM_File: EliLoadFileX=1
13:55:56.421_CreateDICOM_File: objFileSetOBJ create=1
13:55:56.593_CreateDICOM_File: objFileSetOBJ is created=1
13:55:56.593_CreateDICOM_File: objFileSetOBJ.AddFile=0=1
13:55:56.593_CreateDICOM_File: objFileSetOBJ.SetClassIOD=1
13:55:56.859_SetDICOM_Image_Success:0, Height=2048, Width=2048=1
13:55:56.875_CreateDICOM_File: SetDICOM_Image=1
13:55:56.875_SetDICOM_Tag TAG_SPECIFIC_CHARACTER_SET=ISO_IR 144=1
13:55:56.890_CreateDICOM_File: SetDICOM_Tag=1
13:55:56.890_CreateDICOM_File: TAG_IMAGE_COMMENTS=1
13:55:57.328_CreateDICOM_File: objFileSetOBJ.WriteFile=0=1
13:55:57.328_CreateDICOM_File: objFileSetOBJ.FreeFiles=1
13:55:57.515_CreateDICOM_File: EliLoadFileX=1
13:55:57.515_CreateDICOM_File: objFileSetOBJ create=1
13:55:57.515_CreateDICOM_File: objFileSetOBJ is created=1
13:55:57.515_CreateDICOM_File: objFileSetOBJ.AddFile=0=1
13:55:57.531_CreateDICOM_File: objFileSetOBJ.SetClassIOD=1
13:55:57.812_SetDICOM_Image_Success:0, Height=2048, Width=2048=1
13:55:57.812_CreateDICOM_File: SetDICOM_Image=1
 
Stariy_irkДата: Пятница, 25.Сен.2015, 05:21 | Сообщение # 4
Стажер
У вас сообщений: 8
Программист
OFFлайн
Российская Федерация

Иркутск
Глава I. Общие сведения
1. Назначение и функции
Программа DIRA предназначена для получения изображений с цифрового
детектора рентгеновского аппарата, записи его в память АРМа, предобработки и
анализа изображений, их временного хранения, описания результатов
исследования, экспорта изображений и описаний в другие форматы и другие
приложения, получения твердой копии на печатающем устройстве.
DIRA поддерживает стандарт DICOM 3.0 CR Modality и обеспечивает
DICOM сервисы: Verification SCU, Worklist SCU, Storage SCU, File-Set Creator
(Media storage), Print SCU
 
Alex70ttДата: Пятница, 25.Сен.2015, 07:57 | Сообщение # 5
У вас сообщений: 524
рентген техник
OFFлайн
Российская Федерация

вся Россия
но не работает

!
 
navesДата: Пятница, 25.Сен.2015, 22:34 | Сообщение # 6
У вас сообщений: 1070
программист
OFFлайн
Российская Федерация

Москва
теоретически у электрона может быть конвертер из ELI-файлов в Dicom-файлы.
потом эти Dicom-файлы можно будет отправить на сервер или ручками, или автоматизировано
 
rodon79Дата: Воскресенье, 27.Сен.2015, 02:06 | Сообщение # 7
Завсегдатай
У вас сообщений: 220
техник
OFFлайн
Российская Федерация

Россия
Но блин в дире они это не сделали можете хоть как с бубном танцевать но работать ни когда не будет
 
Stariy_irkДата: Понедельник, 28.Сен.2015, 10:02 | Сообщение # 8
Стажер
У вас сообщений: 8
Программист
OFFлайн
Российская Федерация

Иркутск
Спасибо за ответы. Обидно конечно ( .
А теоретически сменить программу на ЭОС возможно? и работает ли DICOM на той версии?
 
Alex70ttДата: Понедельник, 28.Сен.2015, 17:32 | Сообщение # 9
У вас сообщений: 524
рентген техник
OFFлайн
Российская Федерация

вся Россия
сменить можно но на какой версии DICOM работает не помню скорее всего на самой последней

!
 
Frau_FogelДата: Воскресенье, 11.Окт.2015, 21:27 | Сообщение # 10
Участник
У вас сообщений: 84
PACS админ
OFFлайн
Российская Федерация

Казань
DIRA v 2.8 работает на отправку по DICOM 3.0
конфиг у вас правильный
отправка происходит с экрана "Анализ" когда открыт снимок
после нажатия кнопка залипает на время (становится серой) потом отлипает
смотрите логи принимающей стороны

при ошибке может выдавать звуковое сообщение, писать рядом с кнопкой "Event 2" красным, также может просто закрыться прога (вылет на рабочий стол)


https://t.me/dcm4ru
 
Frau_FogelДата: Воскресенье, 11.Окт.2015, 21:29 | Сообщение # 11
Участник
У вас сообщений: 84
PACS админ
OFFлайн
Российская Федерация

Казань
Цитата Stariy_irk ()
StorageCSUServerPort=4006


единственное Ефилм по русски не особо понимает ))
StorageCSUCharacterSet=ISO_IR 144


https://t.me/dcm4ru
 
navesДата: Воскресенье, 11.Окт.2015, 23:41 | Сообщение # 12
У вас сообщений: 1070
программист
OFFлайн
Российская Федерация

Москва
Dicom был и в версии 2.6 только в другой программе от КРТ
отличаются эти программы всем и базой и софтом
http://www.medteh.info/forum/33-1716-140204-16-1397732674
Теоретически можно воспользоваться утилитой DicomFileCreater.exe
Но для её работы нужно будет каким-то образом создавать xml-файлы с нужными тегами
http://www.medteh.info/forum/33-10883-1


Сообщение отредактировал naves - Воскресенье, 11.Окт.2015, 23:41
 
Stariy_irkДата: Понедельник, 12.Окт.2015, 04:45 | Сообщение # 13
Стажер
У вас сообщений: 8
Программист
OFFлайн
Российская Федерация

Иркутск
У меня кнопка Dicom не активная ни в одном режиме, может в ini где прописывается активация самой кнопки?
 
Frau_FogelДата: Среда, 14.Окт.2015, 20:56 | Сообщение # 14
Участник
У вас сообщений: 84
PACS админ
OFFлайн
Российская Федерация

Казань
Цитата Stariy_irk ()
может в ini где прописывается активация самой кнопки?


StorageCSUUse=1


https://t.me/dcm4ru
 
Frau_FogelДата: Четверг, 15.Окт.2015, 18:48 | Сообщение # 15
Участник
У вас сообщений: 84
PACS админ
OFFлайн
Российская Федерация

Казань
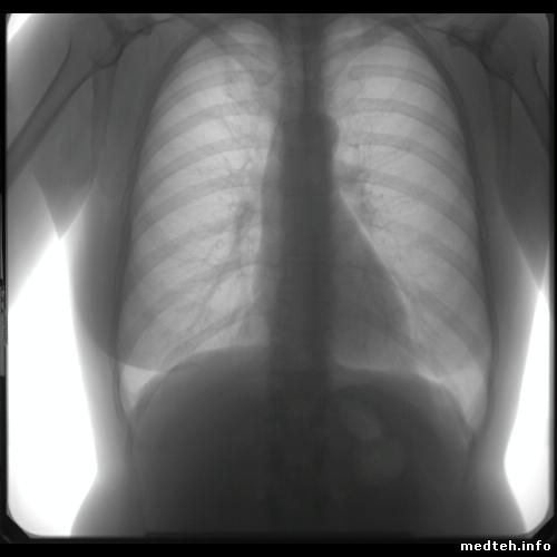
Живой снимок

Study Date (0008,0020) DA 8 20151001
Manufacturer (0008,0070) LO 8 ELEKTRON
Station Name (0008,1010) SH 4 DFC
Manufacturer’s Model Name (0008,1090) LO 8 DFC-001
Body Part Examined (0018,0015) CS 6 CHEST
KVP (0018,0060) DS 4 100
Device Serial Number (0018,1000) LO 4 513
Software Version(s) (0018,1020) LO 10 DIRA v.2.8
1990114.jpg (19.0 Kb)


https://t.me/dcm4ru
 
  • Страница 1 из 1
  • 1
Поиск:



Статистика Форума
Последние обновления тем: Новые файлы хранилища: Новые участники: Top10 участников:
1. Анализатор поля зрени...[SpirituS (04.Дек.2025)]
2. Программный комплекс ...[mqubali (04.Дек.2025)]
3. Кардиорегистратор «ИК...[albano18 (04.Дек.2025)]
4. Thermo Scientific gem...[viggen (03.Дек.2025)]
5. Центрифуга CM-6M ф.El...[Ningen64 (03.Дек.2025)]
6. Дефибриллятор Defi B ...[san-che30 (02.Дек.2025)]
7. Коллиматор Ralco R 22...[seeker (02.Дек.2025)]
8. КУПЛЮ/ПРИМУ в дар при...[seabee (02.Дек.2025)]
9. Центрифуга MiniSpin P...[AntonioPetty (01.Дек.2025)]
1. VIVIX Setup Operation...[12.Окт.2025]
2. GenwareMP[10.Сен.2025]
3. Настройка реагентов M...[20.Авг.2025]
4. Philips HD3-EXP[13.Авг.2025]
5. Рентгеновское оборудо...[08.Авг.2025]
6. VersaMed iVent201 Сер...[13.Фев.2025]
7. Гелпик КРД Ренекс РЦ ...[09.Фев.2025]
8. Офтальмологическая ус...[31.Окт.2024]
9. Cardinal-Health-VELA-...[03.Окт.2024]
10. Service Manual HAMILT...[02.Окт.2024]
1. Intellect[05.Дек.2025]
2. Romanivanov[05.Дек.2025]
3. igogoigogo[05.Дек.2025]
4. 1rishka[04.Дек.2025]
5. L_V_N[04.Дек.2025]
6. ИвановИИ[04.Дек.2025]
7. Alex_U[04.Дек.2025]
8. Yarikus03[03.Дек.2025]
9. EvaLen[03.Дек.2025]
10. dankurets[03.Дек.2025]
МастерБаку[583]
Yulana34[177]
Serg74[160]
Dimitrius[129]
naves[122]
РОМУЛ[121]
bektyish[121]
madmac[116]
Алекс-200[114]
begun_a[112]