[ Новые сообщения · Участники · Правила форума · Поиск · RSS ]



  • Страница 1 из 1
  • 1
Модератор форума: renmaster  
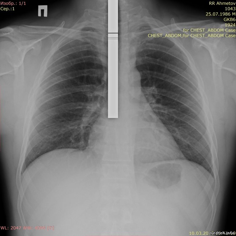
Артефакт -полоска на рентгене шимадзу Sonialvision 2014 гв
Kot-70Дата: Вторник, 13.Мар.2018, 11:48 | Сообщение # 1
Стажер
У вас сообщений: 13
инженер
OFFлайн
Казахстан

Алма-Ата
Может кто сталкивался-помогите советом, белая полоска на всех снимках. Пока был на гарантии, такая проблема появлялась, но была устранена переустановкой ПО (было до меня, что именно переустанавливали не ясно), после окончания гарантии тоже переустанавливали ПО - не помогло. Официалы не могут решить, сделали запросы в Германию и Японию, ждем уже месяц..

8910782.jpg (39.2 Kb) · 3283563.jpg (50.5 Kb)
 
Kot-70Дата: Вторник, 13.Мар.2018, 11:51 | Сообщение # 2
Стажер
У вас сообщений: 13
инженер
OFFлайн
Казахстан

Алма-Ата
На всех режимах, кроме скопии - там нормально. Делал снимок на кассету от дигитайзера, там без артефакта.
 
Alex70ttДата: Вторник, 13.Мар.2018, 16:53 | Сообщение # 3
У вас сообщений: 524
рентген техник
OFFлайн
Российская Федерация

вся Россия
умирает детектор,если калибровка не помогает и он не на гарантии можно вскрыть панель посмотреть,а так под замену.

!
 
  • Страница 1 из 1
  • 1
Поиск:



Статистика Форума
Последние обновления тем: Новые файлы хранилища: Новые участники: Top10 участников:
1. Замена светодиода на ...[Shturman (05.Дек.2025)]
2. Анализатор поля зрени...[SpirituS (04.Дек.2025)]
3. Программный комплекс ...[mqubali (04.Дек.2025)]
4. Кардиорегистратор «ИК...[albano18 (04.Дек.2025)]
5. Thermo Scientific gem...[viggen (03.Дек.2025)]
6. Центрифуга CM-6M ф.El...[Ningen64 (03.Дек.2025)]
7. Дефибриллятор Defi B ...[san-che30 (02.Дек.2025)]
8. Коллиматор Ralco R 22...[seeker (02.Дек.2025)]
9. КУПЛЮ/ПРИМУ в дар при...[seabee (02.Дек.2025)]
1. VIVIX Setup Operation...[12.Окт.2025]
2. GenwareMP[10.Сен.2025]
3. Настройка реагентов M...[20.Авг.2025]
4. Philips HD3-EXP[13.Авг.2025]
5. Рентгеновское оборудо...[08.Авг.2025]
6. VersaMed iVent201 Сер...[13.Фев.2025]
7. Гелпик КРД Ренекс РЦ ...[09.Фев.2025]
8. Офтальмологическая ус...[31.Окт.2024]
9. Cardinal-Health-VELA-...[03.Окт.2024]
10. Service Manual HAMILT...[02.Окт.2024]
1. zef1984[05.Дек.2025]
2. Dvish[05.Дек.2025]
3. Intellect[05.Дек.2025]
4. Romanivanov[05.Дек.2025]
5. igogoigogo[05.Дек.2025]
6. 1rishka[04.Дек.2025]
7. L_V_N[04.Дек.2025]
8. ИвановИИ[04.Дек.2025]
9. Alex_U[04.Дек.2025]
10. Yarikus03[03.Дек.2025]
МастерБаку[583]
Yulana34[177]
Serg74[160]
Dimitrius[129]
naves[122]
РОМУЛ[121]
bektyish[121]
madmac[116]
Алекс-200[114]
begun_a[112]