[ Новые сообщения · Участники · Правила форума · Поиск · RSS ]



  • Страница 8 из 8
  • «
  • 1
  • 2
  • 6
  • 7
  • 8
Модератор форума: renmaster  
Флюорограф "ПроСкан-2000" ЗАО «Рентгенпром» г. Истра
avlanikДата: Среда, 11.Мар.2009, 01:02 | Сообщение # 1
Стажер
У вас сообщений: 18
инженер
OFFлайн
Российская Федерация

Регистрационное удостоверение РЗН 2014/1875 от 05.02.2024 (ранее от 22.12.2022, от 06.06.2019, от 19.08.2014) года на Флюорограф малодозовый цифровой сканирующий с рентгенозащитной кабиной, понижающей радиационную нагрузку на персонал ФМцс-«ПроСкан» в следующих исполнениях: «ПроСкан-2000» и «ПроСкан-7000», производства ЗАО "РЕНТГЕНПРОМ", Россия, Московская область, г. Истра.
.

Есть темы про проблемы с флюорографом "ПроСкан-2000" и их решения по адресам:
- https://www.medteh.info/forum/33-0-1-0-10-1-[ПроСкан-2000]
- https://www.medteh.info/forum/33-0-1-0-10-1-[ПроСкан%202000]
 
skv4Дата: Вторник, 14.Янв.2020, 11:43 | Сообщение # 281
Стажер
У вас сообщений: 36
Универсал
OFFлайн
Российская Федерация

Нижний Тагил
Для контроля тока анода внешними измерительными приборами в схему введен
разъём XS11 с заглушкой XP11.

.


skv4
 
SokolPRoДата: Пятница, 07.Фев.2020, 09:01 | Сообщение # 282
Стажер
У вас сообщений: 4
Зко
OFFлайн
Казахстан

Казахстан
Всех приветствую!

Имеется аппарат Проскан 2000 2012 года выпуска, возникла проблема при включении аппарата с утра- при получении снимка ток в трубке 0, снимки засвечены ножницы еле видны, непонятно по какой причине иногда ток начинает расти (возможно изза того что производиться около 20 -30 тестовых снимков), может вырасти более 10, тогда снимки становятся четкими.

Подскажите пожалуйста куда смотреть? Это аппаратная или программная проблема.

Программное обеспечение Проскан 3-7-3-1.

скриншот настроек прилагаем.

Заранее спасибо!
5223912.png (1.02 Mb)
 
IgorGiДата: Пятница, 07.Фев.2020, 09:42 | Сообщение # 283
Завсегдатай
У вас сообщений: 228
инженер
OFFлайн
Российская Федерация

Пятигорск
Цитата SokolPRo ()
ток в трубке 0,

значит скорее всего проблема в накале.
1- визуально посмотреть в окно излучателя при первом включении и контролировать как меняется свечение в стендбае, а также при разгоне.
2- осмотреть наконечники ВВ кабеля катода и немного разогнуть выводы для контакта ( разогнуть совсем чуть-чуть, можно отломать)
3- если свечение (ток накала) после включения не меняется, а ток анода восстанавливается, может быть дело в потери эмиссии трубки. Тогда труба трубе.
 
SokolPRoДата: Пятница, 07.Фев.2020, 12:09 | Сообщение # 284
Стажер
У вас сообщений: 4
Зко
OFFлайн
Казахстан

Казахстан
Цитата IgorGi ()

значит скорее всего проблема в накале.
1- визуально посмотреть в окно излучателя при первом включении и контролировать как меняется свечение в стендбае, а также при разгоне.
2- осмотреть наконечники ВВ кабеля катода и немного разогнуть выводы для контакта ( разогнуть совсем чуть-чуть, можно отломать)
3- если свечение (ток накала) после включения не меняется, а ток анода восстанавливается, может быть дело в потери эмиссии трубки. Тогда труба трубе.


Спасибо за подсказку, будем пробывать.
 
SokolPRoДата: Суббота, 08.Фев.2020, 10:06 | Сообщение # 285
Стажер
У вас сообщений: 4
Зко
OFFлайн
Казахстан

Казахстан
Добрый день, контакты подогнули.

Всеравно ток трубки 0, до этого иногда появлялся 0,1 или 0,2.

посмотрите приложенный скриншот.
5403145.jpg (123.7 Kb)


Сообщение отредактировал SokolPRo - Суббота, 08.Фев.2020, 10:06
 
IgorGiДата: Воскресенье, 09.Фев.2020, 12:30 | Сообщение # 286
Завсегдатай
У вас сообщений: 228
инженер
OFFлайн
Российская Федерация

Пятигорск
Нужно проконтролировать ток накала. Есть несколько путей.
1. Визуально. Разберите коллиматор со стороны кабины и смотрите визуально свечение трубки. Увеличивается ли яркость при прогреве после включения на протяжении десяти минут - получаса.
2. В разрыв провода накальной обмотки высоковольтного генератора (между платой накала и ВВ баком) поставить амперметр переменного тока (или низкоомный резистор, 1-10 Ом, и контролировать на нем напряжение).

Смысл в том, чтобы определить плывет ли ток накала. Встроенная схема измерения/стабилизации тока может врать и плыть при прогреве.
Если ток стабилен, придется подкидывать другую трубу для окончательной диагностики.
 
SokolPRoДата: Понедельник, 10.Фев.2020, 08:12 | Сообщение # 287
Стажер
У вас сообщений: 4
Зко
OFFлайн
Казахстан

Казахстан
Цитата IgorGi ()
Нужно проконтролировать ток накала. Есть несколько путей.

Спасибо за подсказку, будем пробовать.
 
sekosДата: Понедельник, 10.Фев.2020, 20:35 | Сообщение # 288
Участник
У вас сообщений: 194
инженер
OFFлайн
Российская Федерация

Пенза
Если УРП с молекулярным накопителем, то, может быть, проблема в нём.

Сообщение отредактировал sekos - Понедельник, 10.Фев.2020, 22:41
 
skv4Дата: Среда, 12.Фев.2020, 08:40 | Сообщение # 289
Стажер
У вас сообщений: 36
Универсал
OFFлайн
Российская Федерация

Нижний Тагил
Скорее всего, проблема в плате накала. Было такое на 2-х флюшках:
1 - холодные пайки;
2 - контакты дросселя перегревались и контакт в плате пропадал.


skv4
 
zdeshniyДата: Среда, 12.Авг.2020, 10:10 | Сообщение # 290
Заглянувший
У вас сообщений: 2
инженер
OFFлайн
Российская Федерация

Пенза
Кто сможет поделится программой Проскан 3.2.1.0 ? В хранилище не нашел.
 
bespalnik72Дата: Среда, 12.Авг.2020, 16:51 | Сообщение # 291
Техник
У вас сообщений: 319
инженер
OFFлайн
Российская Федерация

Красноярск
https://cloud.mail.ru/public/2Sja/2y2uRNDEP

586
 
zdeshniyДата: Четверг, 13.Авг.2020, 13:24 | Сообщение # 292
Заглянувший
У вас сообщений: 2
инженер
OFFлайн
Российская Федерация

Пенза
Спасибо!
 
InfanatiДата: Среда, 12.Май.2021, 17:12 | Сообщение # 293
Стажер
У вас сообщений: 7
Медтехник
OFFлайн
Российская Федерация

Тамбов
Добрый день.
На аппарате сканирующем АПЦФ-01 с правой полосы появилась чёрная вертикальная полоса, которая с течением снимков стала увеличиваться (т.е. получается обрезает снимок с правой стороны).
В чём может быть проблема?


Медтехние
 
1965njkzДата: Среда, 12.Май.2021, 17:36 | Сообщение # 294
Участник
У вас сообщений: 105
инженер по ремонту медоборудования
OFFлайн
Российская Федерация

Великий Новгород
Посмотрите как работает щелевая диафрагма ...
 
VikeyДата: Среда, 12.Май.2021, 23:22 | Сообщение # 295
У вас сообщений: 303
Инженер по ремонту
OFFлайн
Украина

Украина
Фото снимка в студию.
 
GennaДата: Вторник, 07.Сен.2021, 17:48 | Сообщение # 296
Заглянувший
У вас сообщений: 1
новичок
OFFлайн
Украина

Ямполь
Добрый день.
Помогите, пожалуйста, очень нужен ПроСкан V.2-13-1-6, или что-то со второй версии ((
 
terbunyДата: Среда, 08.Сен.2021, 18:50 | Сообщение # 297
Завсегдатай
У вас сообщений: 228
рентгенотехник
OFFлайн
Российская Федерация

Россия
Genna, здравствуйте.
Такой подойдёт:
https://disk.yandex.ru/i/ZH0e3UaEib3PLg
 
VikeyДата: Четверг, 09.Сен.2021, 09:51 | Сообщение # 298
У вас сообщений: 303
Инженер по ремонту
OFFлайн
Украина

Украина
Есть 2,13,1,7 https://disk.yandex.fr/d/FdTzEdlpJYphaw
 
zoriyДата: Понедельник, 20.Июн.2022, 15:37 | Сообщение # 299
Заглянувший
У вас сообщений: 1
техническое обслуживание
OFFлайн
Российская Федерация

симферополь
Добрый день.
Помогите, пожалуйста, найти программу версии V3-3-2-0.
 
MeRlIoNДата: Пятница, 23.Сен.2022, 13:10 | Сообщение # 300
Стажер
У вас сообщений: 13
Телемастер
OFFлайн
Узбекистан

Нукус
Приветствую форумчан.
Надеюсь, тема ещё жива.
Рен Проскан сиганула напруга. Стабилизатор все это дело пропустил через себя. Сколько вошло столько и попёрло на аппарат.
Нужна помощь по опознанию микрухи. От перегрева выгорела краска. Еле заметный след номинала. Микроскоп не помог, как и углы наклона с подачей освещения. В общем, не читабельно.
У кого есть инфа, поделитесь, пожалуйста.
Плата ДИАФРАГМА_07_06-485
.

Семилапый зараза. Похож на стаб. из серии LM259... Только у этих пять выводов.
Фото не получается выложить. Попробую перещёлкнуть с понижением качества, ибо размер превышает 2048 кб.
.

Грамматически отредактировано.


MeRlIoN, срочно, усваивая, прочитайте Правила Форума, и в дальнейшем руководствуйтесь указанными в них требованиями, и особо обратите внимание на п.1.5 !


mavr
 
nicfeerДата: Понедельник, 23.Янв.2023, 17:01 | Сообщение # 301
Стажер
У вас сообщений: 9
Программист
OFFлайн
Российская Федерация

Балашов
Здравствуйте!
Подскажите где искать.

Ситуация следующая:
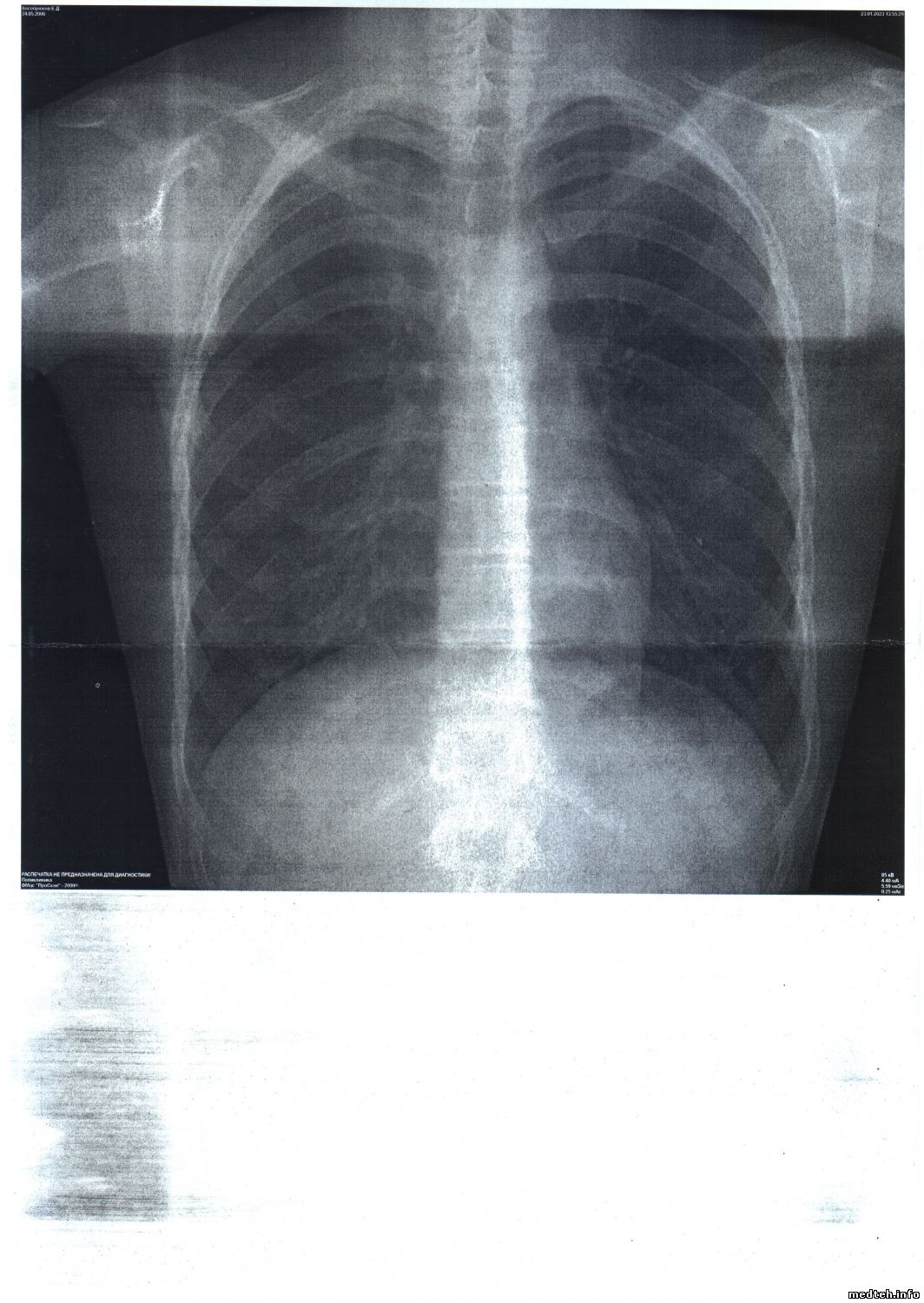
При печати снимка на бумагу слева вверху выводятся фамилия, инициалы и дата рождения пациента, а
слева внизу - название поликлиники и название аппарата.

Проблема в том, что они отображаются очень мелким шрифтом. Так, что и прочитать невозможно.
Как увеличить шрифт?
Всю программу излазил - ничего не нашёл. Где-то же должна быть эта настройка.
Файл снимка прилагаю.
.

nicfeer, Вы перед этим прочитали (и уразумели!) Правила размещения информации на Форуме (?! ...), и потом, наверное, прочитали и темы про флюорограф "ПроСкан 2000" - http://www.medteh.info/forum....202000] , тогда чем не устроила Вас ни одна из имеющихся на форуме тем с Вашей тематикой про "программу", в которой Вы бы могли разместить к месту свою просьбу?!

Личная тема nicfeer, состоявшая из одного его сообщения, присоединена к этой специализированной теме после того, как он определился (см. ниже) с нужной темой.
6384429.jpg (213.4 Kb)


Сообщение отредактировал nicfeer - Понедельник, 23.Янв.2023, 17:02
 
nicfeerДата: Среда, 25.Янв.2023, 14:16 | Сообщение # 302
Стажер
У вас сообщений: 9
Программист
OFFлайн
Российская Федерация

Балашов
Приветствую всех.
Подскажите где искать.

Ситуация следующая:
При печати снимка на бумагу слева вверху выводятся фамилия, инициалы и дата рождения пациента, а
слева внизу - название поликлиники и название аппарата.

Проблема в том, что они отображаются очень мелким шрифтом. Так, что и прочитать невозможно.
Как увеличить шрифт?
Всю программу излазил - ничего не нашёл. Где-то же должна быть эта настройка.
Файл снимка прилагаю.
7846995.jpg (213.4 Kb)


Сообщение отредактировал nicfeer - Среда, 25.Янв.2023, 14:17
 
serg544Дата: Среда, 01.Фев.2023, 11:33 | Сообщение # 303
Участник
У вас сообщений: 79
Менеджер
OFFлайн
Российская Федерация

Москва
Режим предпросмотра перед печатью.
3-я слева иконка (легкие с лупой).
Там есть возможность поменять расположение надписей и выбрать размер шрифта.
Руководство пользователя ПО Проскан в. 3.13.6
Раздел 4.9.1 - Печать на принтер, установленный в операционной системе


Сообщение отредактировал serg544 - Среда, 01.Фев.2023, 11:50
 
yuri2020Дата: Пятница, 31.Май.2024, 00:58 | Сообщение # 304
Стажер
У вас сообщений: 14
Инженер
OFFлайн
Российская Федерация

Санкт-Петербург
ПроСкан 2000 2008 г.
При включении высокого идёт писк - что это пищит?
На разных аппаратах по разному - это нормально?
 
StasikДата: Пятница, 31.Май.2024, 04:26 | Сообщение # 305
Техник
У вас сообщений: 342
электромеханик
OFFлайн
Российская Федерация

Красноярский край
Аудиосигнал подачи высокого.
Особенности акустики помещения, разные зуммеры.
 
ToshykanДата: Четверг, 05.Дек.2024, 11:52 | Сообщение # 306
Заглянувший
У вас сообщений: 1
Просто ИТшник
OFFлайн
Российская Федерация

п. Сосновый Бор
Доброго времени суток.
Есть ли инфа о том какие модели могут работать с PACS?
Или это софтварная фишка?
 
  • Страница 8 из 8
  • «
  • 1
  • 2
  • 6
  • 7
  • 8
Поиск:



Статистика Форума
Последние обновления тем: Новые файлы хранилища: Новые участники: Top10 участников:
1. Замена светодиода на ...[Shturman (05.Дек.2025)]
2. Анализатор поля зрени...[SpirituS (04.Дек.2025)]
3. Программный комплекс ...[mqubali (04.Дек.2025)]
4. Кардиорегистратор «ИК...[albano18 (04.Дек.2025)]
5. Thermo Scientific gem...[viggen (03.Дек.2025)]
6. Центрифуга CM-6M ф.El...[Ningen64 (03.Дек.2025)]
7. Дефибриллятор Defi B ...[san-che30 (02.Дек.2025)]
8. Коллиматор Ralco R 22...[seeker (02.Дек.2025)]
9. КУПЛЮ/ПРИМУ в дар при...[seabee (02.Дек.2025)]
1. VIVIX Setup Operation...[12.Окт.2025]
2. GenwareMP[10.Сен.2025]
3. Настройка реагентов M...[20.Авг.2025]
4. Philips HD3-EXP[13.Авг.2025]
5. Рентгеновское оборудо...[08.Авг.2025]
6. VersaMed iVent201 Сер...[13.Фев.2025]
7. Гелпик КРД Ренекс РЦ ...[09.Фев.2025]
8. Офтальмологическая ус...[31.Окт.2024]
9. Cardinal-Health-VELA-...[03.Окт.2024]
10. Service Manual HAMILT...[02.Окт.2024]
1. zef1984[05.Дек.2025]
2. Dvish[05.Дек.2025]
3. Intellect[05.Дек.2025]
4. Romanivanov[05.Дек.2025]
5. igogoigogo[05.Дек.2025]
6. 1rishka[04.Дек.2025]
7. L_V_N[04.Дек.2025]
8. ИвановИИ[04.Дек.2025]
9. Alex_U[04.Дек.2025]
10. Yarikus03[03.Дек.2025]
МастерБаку[583]
Yulana34[177]
Serg74[160]
Dimitrius[129]
naves[122]
РОМУЛ[121]
bektyish[121]
madmac[116]
Алекс-200[114]
begun_a[112]