[ Новые сообщения · Участники · Правила форума · Поиск · RSS ]



  • Страница 6 из 8
  • «
  • 1
  • 2
  • 4
  • 5
  • 6
  • 7
  • 8
  • »
Модератор форума: renmaster  
Флюорограф "ПроСкан-2000" ЗАО «Рентгенпром» г. Истра
avlanikДата: Среда, 11.Мар.2009, 01:02 | Сообщение # 1
Стажер
У вас сообщений: 18
инженер
OFFлайн
Российская Федерация

Регистрационное удостоверение РЗН 2014/1875 от 05.02.2024 (ранее от 22.12.2022, от 06.06.2019, от 19.08.2014) года на Флюорограф малодозовый цифровой сканирующий с рентгенозащитной кабиной, понижающей радиационную нагрузку на персонал ФМцс-«ПроСкан» в следующих исполнениях: «ПроСкан-2000» и «ПроСкан-7000», производства ЗАО "РЕНТГЕНПРОМ", Россия, Московская область, г. Истра.
.

Есть темы про проблемы с флюорографом "ПроСкан-2000" и их решения по адресам:
- https://www.medteh.info/forum/33-0-1-0-10-1-[ПроСкан-2000]
- https://www.medteh.info/forum/33-0-1-0-10-1-[ПроСкан%202000]
 
als04Дата: Четверг, 23.Июн.2016, 19:52 | Сообщение # 201
Участник
У вас сообщений: 63
инженер
OFFлайн
Российская Федерация

Ижевск
На первых двух снимках одна и та же помеха. Приходить она может по 0-й или заземляющей жиле, а так же генерироваться в самом аппарате. Для начала нужно исключить 0 и "землю", как наиболее распространенную причину. Если там все нормально, нужно проверить питание камеры. Попробуйте запитать аппарат от другого источника.
А с калибровкой явно намудрили.
 
petroveechДата: Пятница, 24.Июн.2016, 07:57 | Сообщение # 202
У вас сообщений: 1072
Иженер
OFFлайн
Российская Федерация

Ставрополь
Цепляйте тестер, проверяйте токи. По возможности смотрите высокое. Для оценки попадания в шель в проге утилитка висит.

При обращении пишите мыло сразу.
 
ujpkazДата: Вторник, 28.Июн.2016, 20:03 | Сообщение # 203
Участник
У вас сообщений: 93
Сервисный инженер
OFFлайн
Казахстан

Шымкент
С рябью разобрались, был смещён детектор. Сделали юстировку и снимки пошли нормальные. После 15-20 снимков, во время выполнения снимка пропал накал(половина снимка нормальный, половина чёрный). Накал не светится, труба целая, лампочка подключенная вместо трубки не горит. При выполнении снимка, ток трубки 0мА а программа на отсутствие тока не ругается.
Питающее УРП-30-СЧ амико. Силовой инвертор и плата накала, на IGBT-транзисторах. Если у кого есть схема такого питающего, поделитесь пожалуйста.
 
DawasДата: Вторник, 28.Июн.2016, 20:49 | Сообщение # 204
Участник
У вас сообщений: 148
Электронщик-программист
OFFлайн
Российская Федерация

Иваново
ujpkaz, а на бак (силовой транс) напряжение накала подаётся?
 
ujpkazДата: Вторник, 28.Июн.2016, 21:27 | Сообщение # 205
Участник
У вас сообщений: 93
Сервисный инженер
OFFлайн
Казахстан

Шымкент
Цитата Dawas ()
а на бак (силовой транс) напряжение накала подаётся?

Лампочка на 220в, подключенная к выходу платы накала не горит.
 
AKazakДата: Среда, 06.Июл.2016, 00:21 | Сообщение # 206
Стажер
У вас сообщений: 5
Пациент
OFFлайн
Российская Федерация

Москва
Пришлите, пожалуйста, на AndreyKazak[гав]mail.ru ссылку на просмотрщик снимков DCM, произведённых в ПроСкан 2000 v 3.7.1.5.
Спасибо.
 
gordiukДата: Пятница, 08.Июл.2016, 15:04 | Сообщение # 207
Стажер
У вас сообщений: 26
инженер
OFFлайн
Казахстан

Алма-Ата
Цитата magzimko ()
Господа, никто не подскажет, почему на проскан 2000 3.2.1 доктроский комп не хочет подцеплять базу с лаборантского. Сеть и права доступа в норме, проводником файло гоняется туда-сюда.


Хочу отметить, что при переносе рабочих мест, мед.учреждения приглашают выполнять перемонтаж электрика, сантехника и, иногда, медтехника. В результате, они получают соединения как на фотографии. Кроме того, они скручивают лишний кабель в бухту, что, при построении ЛВС, не рекомендуется делать!!! При таком монтаже снимок медленно загружается, может "виснуть" или выдавать сообщение, что снимка нет.
8956585.jpg (142.0 Kb)


Как тяжело в зоопарке работать...
 
diman_kazДата: Пятница, 03.Фев.2017, 09:29 | Сообщение # 208
Заглянувший
У вас сообщений: 1
Техник-программист
OFFлайн
Российская Федерация

Воронеж
Здравствуйте. Подскажите пожалуйста решение проблемы: проскан установлен на 2 АРМ, один главный (на нем база) второй дополнительный, у каждого свой принтер. На главном АРМ принтер подключается без проблем, а на дополнительном АРМ при попытке подключить принтер пишет: Отказано в доступе. При чем другие документы (word, excel) из под винды печатаются нормально, т.е. принтер настроен.
 
AFT9Дата: Среда, 01.Мар.2017, 11:26 | Сообщение # 209
Стажер
У вас сообщений: 24
Медтехник
OFFлайн
Казахстан

Кызылорда
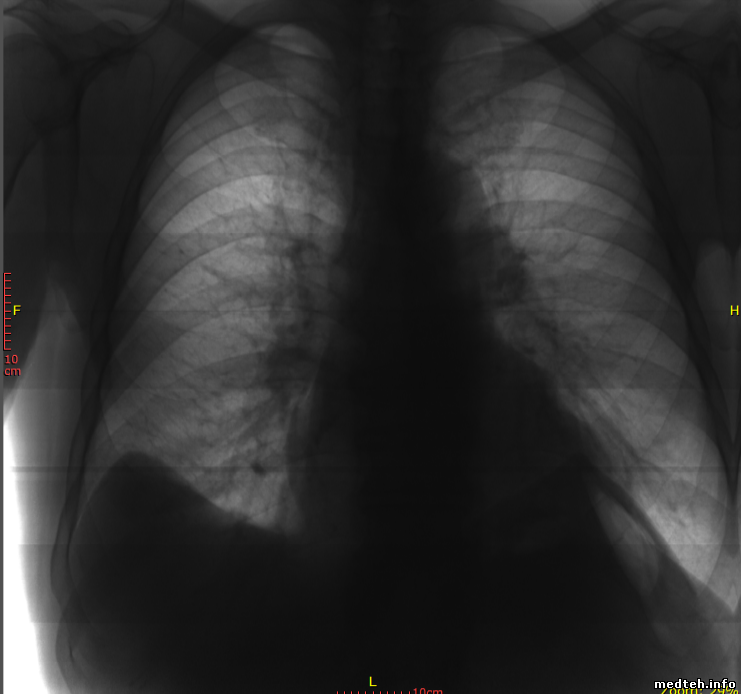
Привет всем... У меня проблемы с флюрографом Про-Скан 2000:
1: 3-4 сантиметровая полоска на правым участке снимка, доктор из за этого, снимка не читает, ибо мешает...тд тп
Делаю калибровку детектора и трубка, полоска изчезает временно, после 30-40 снимков появиться опять...
Сделали все возможные варианты ремонта, но все без результатно. Скажите что я пропустил ???
0288424.jpg (94.0 Kb)


AAIBEK1996
 
Алекс-200Дата: Среда, 01.Мар.2017, 18:41 | Сообщение # 210
У вас сообщений: 1197
Инженер
OFFлайн
Российская Федерация

Самара
Цитата AFT9 ()
Скажите что я пропустил
Указать режимы снимка. Если ли в составе аппарата есть накопитель.

Цитата AFT9 ()
Делаю калибровку детектора и трубка
Дефекты геометрии фокус - ось вращения - приемник проявляются, обычно, в виде чередующихся светлых полос.Такого у Вас не наблюдается.
Если есть накопитель, то первая версия: энергии накопителя не хватает на полный (по длительности) снимок, поэтому, с момента когда накопитель не может обеспечить установленный режим снимка, обратная связь поддерживает анодное напряжение за счет уменьшения анодного тока. Как следствие - на снимке плавное снижение плотности снимка до полного её (плотности) отсутствия.
Другая версия: плохие (греющиеся) контакты в питающей сети - ослабленные гайки, скрутки и пр.
 
AFT9Дата: Четверг, 02.Мар.2017, 05:25 | Сообщение # 211
Стажер
У вас сообщений: 24
Медтехник
OFFлайн
Казахстан

Кызылорда
( Указать режимы снимка. Если ли в составе аппарата есть накопитель.) - Да есть накопитель, дает тока 85-115
и заряд 340-344 этого хватит или мало ?


AAIBEK1996
 
Алекс-200Дата: Четверг, 02.Мар.2017, 07:09 | Сообщение # 212
У вас сообщений: 1197
Инженер
OFFлайн
Российская Федерация

Самара
AFT9, почему Вы предлагаете домысливать Ваши сообщения?
Цитата AFT9 ()
дает тока 85-115
и заряд 340-344
В каких единицах Вы измеряете ток и заряд?
Цитата AFT9 ()
Да есть накопитель
К сожалению, накопитель не вечен. Его параметры с "возрастом" деградируют, поэтому периодически требуется замена.
 
LongДата: Четверг, 02.Мар.2017, 09:17 | Сообщение # 213
Участник
У вас сообщений: 155
сервисный инженер
OFFлайн
Российская Федерация

Ульяновск
Присоединяюсь к Алексу. Действительно похоже на накопитель, у самого недавно была такая проблема. В качестве проверки советую сделать несколько тестовых снимков на разном напряжении, у меня например на 75 кВ снимок делал нормально, а с 85 кВ начиналось плавное снижение плотности всё более резкое с повышением напряжения. Самому менять накопитель не советую, т.к. старых модификаций давно нет, а в новых надо будет частично менять и прочую электронику, а вы, насколько я понял, не очень хорошо знаете этот аппарат. Связывайтесь с Рентгенпромом, будет дорого, но зато и время ожидания зарядки сократится значительно (особенно актуально если у вас передвижка).
 
AFT9Дата: Четверг, 02.Мар.2017, 14:31 | Сообщение # 214
Стажер
У вас сообщений: 24
Медтехник
OFFлайн
Казахстан

Кызылорда
Привет всем.... Сегодня флюрография Про-скан 2000 показывает такое проблемы: для снимку падаю двер незакрывается. детектор не двигается на экране появился ошибка (код 1000) и программа перестает отвечать
5394706.jpg (175.2 Kb) · 6810380.jpg (87.0 Kb)


AAIBEK1996

Сообщение отредактировал AFT9 - Четверг, 02.Мар.2017, 14:53
 
AFT9Дата: Понедельник, 06.Мар.2017, 11:36 | Сообщение # 215
Стажер
У вас сообщений: 24
Медтехник
OFFлайн
Казахстан

Кызылорда
Привет всем, это снова я прошу прощения за беспокойства, я про Про-Скан 2000, сейчас он не работает проблемы у него как-то серезнее...
Детектор снимков перестал двигаться, он вовще глючит когда подаю ток, и на экране появиться ошибка Код1000
Скажите плиз это можно как-то исправить, кто-нибудь сталкивалься с таким проблемам...
Буду благодарен...
2268991.jpg (175.2 Kb) · 8181470.jpg (175.2 Kb)


AAIBEK1996
 
serg7vetrДата: Понедельник, 06.Мар.2017, 11:51 | Сообщение # 216
Завсегдатай
У вас сообщений: 225
инженер
OFFлайн
Российская Федерация

волгоград
Вирусы. Почти однозначно. Айболиты порно смотрели.
 
gadzhibekovДата: Понедельник, 06.Мар.2017, 12:55 | Сообщение # 217
Участник
У вас сообщений: 66
Инженер
OFFлайн
Российская Федерация

Махачкала
Цитата AFT9 ()
Привет всем, это снова я прошу прощения за беспокойства, я про Про-Скан 2000, сейчас он не работает проблемы у него как-то серезнее...
Детектор снимков перестал двигаться, он вовще глючит когда подаю ток, и на экране появиться ошибка Код1000
Скажите плиз это можно как-то исправить, кто-нибудь сталкивалься с таким проблемам...
Буду благодарен...
2268991.jpg(175Kb) · 8181470.jpg(175Kb)


Проблема с базой данных. восстановите базу данных с помощью утилиты по работе с бд.
 
LongДата: Понедельник, 06.Мар.2017, 13:46 | Сообщение # 218
Участник
У вас сообщений: 155
сервисный инженер
OFFлайн
Российская Федерация

Ульяновск
Только не забудь сначала копию сделать, минимум базы, в идеале всего диска Акрониксом.
 
MickДата: Суббота, 11.Мар.2017, 17:48 | Сообщение # 219
Участник
У вас сообщений: 64
медтехник
OFFлайн
Российская Федерация

Новокузнецк
код 1000
Ошибка при открытии PCI платы приема изображения


mgm
 
Alex70ttДата: Суббота, 11.Мар.2017, 19:54 | Сообщение # 220
У вас сообщений: 524
рентген техник
OFFлайн
Российская Федерация

вся Россия
нет связи с генератором

!
 
РентгеномеханикДата: Вторник, 02.Май.2017, 06:01 | Сообщение # 221
Участник
У вас сообщений: 72
инженер по рентген технике
OFFлайн
Казахстан

Актобе
Здравствуйте!
Аппарат блокируется: не даёт сделать снимок, дверь закрывается и включается блокировка.
Что может быть?
 
petroveechДата: Вторник, 02.Май.2017, 07:50 | Сообщение # 222
У вас сообщений: 1072
Иженер
OFFлайн
Российская Федерация

Ставрополь
Год, питающее? Что проверили?

При обращении пишите мыло сразу.
 
serg7vetrДата: Вторник, 02.Май.2017, 21:17 | Сообщение # 223
Завсегдатай
У вас сообщений: 225
инженер
OFFлайн
Российская Федерация

волгоград
На слово "блокировка" курсор мышкой наведи, и сразу увидишь, что может быть...
 
KuzmaДата: Воскресенье, 16.Июл.2017, 09:16 | Сообщение # 224
Завсегдатай
У вас сообщений: 274
инженер
OFFлайн
Украина

Харьков
Всем доброго времени суток!
Нужно ПО Проскан 3.3.8.0
В хранилище была когда-то версия 3.3.5, но сейчас по ссылке ничего нет.
Прошу помочь.
 
Саша166Дата: Воскресенье, 16.Июл.2017, 10:28 | Сообщение # 225
Участник
У вас сообщений: 105
инженер
OFFлайн
Российская Федерация

Омск
Вот лови ПО 3-3-5-1
https://yadi.sk/d/1z-XG1aI3L6TT5


Сообщение отредактировал Саша166 - Воскресенье, 16.Июл.2017, 10:29
 
KuzmaДата: Понедельник, 17.Июл.2017, 21:00 | Сообщение # 226
Завсегдатай
У вас сообщений: 274
инженер
OFFлайн
Украина

Харьков
Спасибо. Скачал.
Следующая проблема. Калибровка линейки. Не работал с этим ПО. В программе есть в меню калибровка. Ни хрена хорошего не получается, хотя как-бы предполагается, что должно быть все хорошо. Что я делаю не так? Может есть инструкция на эту тему? :) :) :)
Буду признателен
 
bespalnik72Дата: Вторник, 18.Июл.2017, 03:36 | Сообщение # 227
Техник
У вас сообщений: 319
инженер
OFFлайн
Российская Федерация

Красноярск
карта линейки определяется ?драйвер вы установили??

586
 
KuzmaДата: Вторник, 18.Июл.2017, 19:49 | Сообщение # 228
Завсегдатай
У вас сообщений: 274
инженер
OFFлайн
Украина

Харьков
Все определяется. Программа делает вид, что калибровка прошла успешно :) :) :) Но изображение не становится лучше. Вот два снимка. На первом - снимок ОГП - широкие полосы, из-за которых собственно и проводится калибровка, на втором - снимок сумки - после калибровки какие-то шумы и полосы.
Возможно, что что-то я упускаю само собой разумеющееся для тех, кто работает с такой техникой, но у меня пока такого опыта не было. Поэтому методом научного тыка... не получается :) :) :)
4765655.png (215.9 Kb) · 8203083.png (402.2 Kb)


Сообщение отредактировал Kuzma - Вторник, 18.Июл.2017, 19:51
 
bespalnik72Дата: Среда, 19.Июл.2017, 13:21 | Сообщение # 229
Техник
У вас сообщений: 319
инженер
OFFлайн
Российская Федерация

Красноярск
нужно посмотреть соответствие Фактического тока трубки и что стоит в таблице .Что у вас за питающее вч или сч подогнать коэффициентами долее откалибровать трубу ..потом калибровка детектор с последующей записью значений калибровки

586
 
naurДата: Пятница, 20.Окт.2017, 10:37 | Сообщение # 230
Стажер
У вас сообщений: 9
predsedatel"
OFFлайн
Российская Федерация

naur
Здравствуйте! подскажите,аппарат проскан 2000 передвижной,перегнали из точки А в точку Б и после этого плохо снимает,на снимках зерно,говорят плата инвертора,может кто знает как исправить? Бутылки с водой снимает хорошо,а когда снимок человека,описание не сделать

naurcrb

Сообщение отредактировал naur - Пятница, 20.Окт.2017, 10:45
 
LongДата: Пятница, 20.Окт.2017, 16:35 | Сообщение # 231
Участник
У вас сообщений: 155
сервисный инженер
OFFлайн
Российская Федерация

Ульяновск
Возможно. Но причины могут быть разные. Для начала сделай калибровку трубки и детектора. А вообще, не плохо бы увидеть снимок и желательно не на телефон с экрана.
 
Alex70ttДата: Пятница, 20.Окт.2017, 20:33 | Сообщение # 232
У вас сообщений: 524
рентген техник
OFFлайн
Российская Федерация

вся Россия
нет земли

!
 
gadzhibekovДата: Пятница, 20.Окт.2017, 22:50 | Сообщение # 233
Участник
У вас сообщений: 66
Инженер
OFFлайн
Российская Федерация

Махачкала
Цитата Long ()
Для начала сделай калибровку трубки и детектора.

Вы это советуете, для того, чтобы аппарат вообще перестал снимать? nea
 
gadzhibekovДата: Пятница, 20.Окт.2017, 22:57 | Сообщение # 234
Участник
У вас сообщений: 66
Инженер
OFFлайн
Российская Федерация

Махачкала
Цитата naur ()
Здравствуйте! подскажите,аппарат проскан 2000 передвижной,перегнали из точки А в точку Б и после этого плохо снимает,на снимках зерно,говорят плата инвертора,может кто знает как исправить? Бутылки с водой снимает хорошо,а когда снимок человека,описание не сделать

Проверьте напряжение в сети, если в норме, то, возможно, расслабились высоковольтные кабеля, от генератора к трубке. Подтяните их.
 
LongДата: Суббота, 21.Окт.2017, 07:34 | Сообщение # 235
Участник
У вас сообщений: 155
сервисный инженер
OFFлайн
Российская Федерация

Ульяновск
Цитата gadzhibekov ()
Вы это советуете, для того, чтобы аппарат вообще перестал снимать?


Я это советую чтобы быть до конца уверенным что проблема не связана с плохо закреплённым (не закреплённым) во время переезда сканирующим механизмом. Как вариант, можно сразу посмотреть распределение уровня сигнала с помощью утилиты работы с линейкой детектора.

Цитата gadzhibekov ()
Проверьте напряжение в сети


Причём здесь это? Если молекулярный накопитель нормальный, то, в худшем случае, это повлияет только на время подготовки к экспозиции. Если полудохлый - яркость снимка будет падать слева на право, здесь же, судя по описанию яркость равномереная, но низкая.

ИМХО, в порядке проверки, или смещение сканирующего механизма, или контакты, или уже придётся лезть в схему и смотреть почему занижено напряжение.
 
naurДата: Понедельник, 23.Окт.2017, 10:54 | Сообщение # 236
Стажер
У вас сообщений: 9
predsedatel"
OFFлайн
Российская Федерация

naur
Напряжение есть,заземление тоже есть. калибровку тоже делал. А вот кабеля к аппарату не проверял. подача высокого тоже в норме

naurcrb
 
nevynosimyiДата: Понедельник, 23.Окт.2017, 11:00 | Сообщение # 237
Заглянувший
У вас сообщений: 3
нет
OFFлайн
Российская Федерация

Москва
Не подскажите что за плата?
5117096.jpg (84.3 Kb)


Сообщение отредактировал nevynosimyi - Понедельник, 23.Окт.2017, 11:07
 
nevynosimyiДата: Понедельник, 23.Окт.2017, 11:03 | Сообщение # 238
Заглянувший
У вас сообщений: 3
нет
OFFлайн
Российская Федерация

Москва
Что за плата?
5367427.jpg (166.0 Kb)


Сообщение отредактировал nevynosimyi - Понедельник, 23.Окт.2017, 11:04
 
Dmitriy1972Дата: Понедельник, 23.Окт.2017, 11:59 | Сообщение # 239
Участник
У вас сообщений: 79
инженер
OFFлайн
Российская Федерация

Самара
Очень похоже на плату интерфейса линейного детектора.
 
serg544Дата: Понедельник, 23.Окт.2017, 12:07 | Сообщение # 240
Участник
У вас сообщений: 79
Менеджер
OFFлайн
Российская Федерация

Москва
Плата RWD PCI
Интерфейс для линейных детекторов аппаратов Проскан
Также использовалась для ПЗС камер в 2006 г.
 
  • Страница 6 из 8
  • «
  • 1
  • 2
  • 4
  • 5
  • 6
  • 7
  • 8
  • »
Поиск:



Статистика Форума
Последние обновления тем: Новые файлы хранилища: Новые участники: Top10 участников:
1. Замена светодиода на ...[Shturman (05.Дек.2025)]
2. Анализатор поля зрени...[SpirituS (04.Дек.2025)]
3. Программный комплекс ...[mqubali (04.Дек.2025)]
4. Кардиорегистратор «ИК...[albano18 (04.Дек.2025)]
5. Thermo Scientific gem...[viggen (03.Дек.2025)]
6. Центрифуга CM-6M ф.El...[Ningen64 (03.Дек.2025)]
7. Дефибриллятор Defi B ...[san-che30 (02.Дек.2025)]
8. Коллиматор Ralco R 22...[seeker (02.Дек.2025)]
9. КУПЛЮ/ПРИМУ в дар при...[seabee (02.Дек.2025)]
1. VIVIX Setup Operation...[12.Окт.2025]
2. GenwareMP[10.Сен.2025]
3. Настройка реагентов M...[20.Авг.2025]
4. Philips HD3-EXP[13.Авг.2025]
5. Рентгеновское оборудо...[08.Авг.2025]
6. VersaMed iVent201 Сер...[13.Фев.2025]
7. Гелпик КРД Ренекс РЦ ...[09.Фев.2025]
8. Офтальмологическая ус...[31.Окт.2024]
9. Cardinal-Health-VELA-...[03.Окт.2024]
10. Service Manual HAMILT...[02.Окт.2024]
1. zef1984[05.Дек.2025]
2. Dvish[05.Дек.2025]
3. Intellect[05.Дек.2025]
4. Romanivanov[05.Дек.2025]
5. igogoigogo[05.Дек.2025]
6. 1rishka[04.Дек.2025]
7. L_V_N[04.Дек.2025]
8. ИвановИИ[04.Дек.2025]
9. Alex_U[04.Дек.2025]
10. Yarikus03[03.Дек.2025]
МастерБаку[583]
Yulana34[177]
Serg74[160]
Dimitrius[129]
naves[122]
РОМУЛ[121]
bektyish[121]
madmac[116]
Алекс-200[114]
begun_a[112]