[ Новые сообщения · Участники · Правила форума · Поиск · RSS ]



  • Страница 1 из 1
  • 1
Модератор форума: renmaster  
Флюроограф Фцмб- ренекс флюоро телефонная трубка
1255271Дата: Вторник, 24.Июл.2018, 16:11 | Сообщение # 1
Стажер
У вас сообщений: 27
инженер по ЭМА
OFFлайн
Российская Федерация

Тула
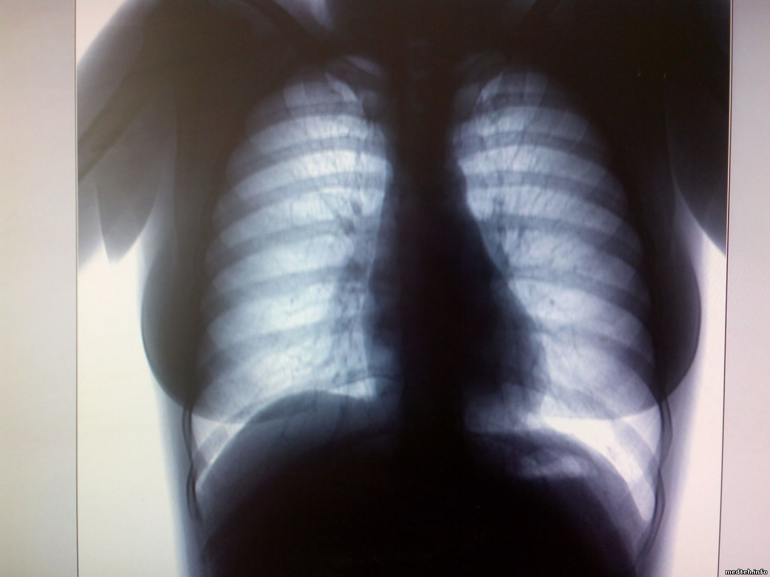
Добрый день. У меня есть на обслуге флюорограф ФЦМБ- РЕНЕКС-ФЛЮОРО, телефонная трубка, генератор Sedecal. Аппарат работает штатно, никаких ошибок не возникает. Снимок проходит нормально, генератор нормально пикает во время снимка. А вот сам снимок на мониторе мутный не чёткий, не читабельный. Образцы снимков прилагаю. Я вскрыл аппарат, ни каких разрушений, обрывов нет, передёрнул все разъемы в камере и в компьютере. Результата нет. Образцы снимков прилагаю. Из трёх снимков один вполне нормальный
1817485.jpg (95.7 Kb)
 
petroveechДата: Среда, 25.Июл.2018, 07:08 | Сообщение # 2
У вас сообщений: 1072
Иженер
OFFлайн
Российская Федерация

Ставрополь
Ушёл фокус камеры. Наверно. Нужен снимок фантома, а не человека.

При обращении пишите мыло сразу.
 
lionsaturnДата: Среда, 25.Июл.2018, 13:28 | Сообщение # 3
Стажер
У вас сообщений: 41
Инженер
OFFлайн
Казахстан

Талдыкорган
На каких режимах снимок сделан?
Посмотреть бы снимок плоскогубцев или чего-то более простого как вариант.
 
terbunyДата: Среда, 25.Июл.2018, 14:29 | Сообщение # 4
Завсегдатай
У вас сообщений: 228
рентгенотехник
OFFлайн
Российская Федерация

Россия
Какого года аппарат? У меня подозрение на трубку.
 
1255271Дата: Среда, 25.Июл.2018, 19:49 | Сообщение # 5
Стажер
У вас сообщений: 27
инженер по ЭМА
OFFлайн
Российская Федерация

Тула
Аппарат 2006 года. Но в приложении не тот снимок. Сейчас скину нужный
8916370.jpg (105.7 Kb)
 
Alex70ttДата: Среда, 25.Июл.2018, 22:11 | Сообщение # 6
У вас сообщений: 524
рентген техник
OFFлайн
Российская Федерация

вся Россия
в компе лаборанта есть плата захвата и обработки на ней есть микрухи на кроватках и такие же в аппарате....меняешь их и все,!но перед этим проверь землю и ноль в питающем кабеле от ГРЩ до аппарата (окислилась ,ослабла)

!
 
petroveechДата: Пятница, 27.Июл.2018, 07:02 | Сообщение # 7
У вас сообщений: 1072
Иженер
OFFлайн
Российская Федерация

Ставрополь
Цитата Alex70tt ()
!но перед этим проверь землю и ноль в питающем кабеле от ГРЩ до аппарата (окислилась ,ослабла)

После проверки необходимо померять потенциал между компом и штативом.


При обращении пишите мыло сразу.
 
1255271Дата: Суббота, 28.Июл.2018, 20:43 | Сообщение # 8
Стажер
У вас сообщений: 27
инженер по ЭМА
OFFлайн
Российская Федерация

Тула
Если будет необходимо менять рентгентрубку, как производить калибровку на генераторе Седекал?
 
ИванычДата: Суббота, 28.Июл.2018, 22:19 | Сообщение # 9
У вас сообщений: 216
рентгеновское оборудование
OFFлайн
Российская Федерация

Подмосковье
В документации процесс подробно описан. В хранилище все есть.
 
1255271Дата: Среда, 08.Авг.2018, 14:51 | Сообщение # 10
Стажер
У вас сообщений: 27
инженер по ЭМА
OFFлайн
Российская Федерация

Тула
Добрый день. Вышел из отпуска и провел все выше упомянутые действия. Все питающие напряжения есть. Трубка не причем. Заземление компа и корпуса штатива произведено отдельными проводами и в одну точку. фокусировка в норме. Прилагаю последний снимок фантома от РУМ-20 с медным фильтром. Снизу видна чёрная полоса Микросхемы в кроватках ещё не менял.
6492659.jpg (107.1 Kb)
 
petroveechДата: Пятница, 10.Авг.2018, 07:04 | Сообщение # 11
У вас сообщений: 1072
Иженер
OFFлайн
Российская Федерация

Ставрополь
Цитата 1255271 ()
Микросхемы в кроватках ещё не менял.

Так поменяй, только 4 сразу! Потом ищи. Не забудь почистить комп.


При обращении пишите мыло сразу.
 
1255271Дата: Суббота, 11.Авг.2018, 18:30 | Сообщение # 12
Стажер
У вас сообщений: 27
инженер по ЭМА
OFFлайн
Российская Федерация

Тула
Всем здравствуйте. Поменял все четыре микросхемы в кроватках. Всё нормализовалось. Тема закрыта. Всем спасибо
 
  • Страница 1 из 1
  • 1
Поиск:



Статистика Форума
Последние обновления тем: Новые файлы хранилища: Новые участники: Top10 участников:
1. Замена светодиода на ...[Shturman (05.Дек.2025)]
2. Анализатор поля зрени...[SpirituS (04.Дек.2025)]
3. Программный комплекс ...[mqubali (04.Дек.2025)]
4. Кардиорегистратор «ИК...[albano18 (04.Дек.2025)]
5. Thermo Scientific gem...[viggen (03.Дек.2025)]
6. Центрифуга CM-6M ф.El...[Ningen64 (03.Дек.2025)]
7. Дефибриллятор Defi B ...[san-che30 (02.Дек.2025)]
8. Коллиматор Ralco R 22...[seeker (02.Дек.2025)]
9. КУПЛЮ/ПРИМУ в дар при...[seabee (02.Дек.2025)]
1. VIVIX Setup Operation...[12.Окт.2025]
2. GenwareMP[10.Сен.2025]
3. Настройка реагентов M...[20.Авг.2025]
4. Philips HD3-EXP[13.Авг.2025]
5. Рентгеновское оборудо...[08.Авг.2025]
6. VersaMed iVent201 Сер...[13.Фев.2025]
7. Гелпик КРД Ренекс РЦ ...[09.Фев.2025]
8. Офтальмологическая ус...[31.Окт.2024]
9. Cardinal-Health-VELA-...[03.Окт.2024]
10. Service Manual HAMILT...[02.Окт.2024]
1. zef1984[05.Дек.2025]
2. Dvish[05.Дек.2025]
3. Intellect[05.Дек.2025]
4. Romanivanov[05.Дек.2025]
5. igogoigogo[05.Дек.2025]
6. 1rishka[04.Дек.2025]
7. L_V_N[04.Дек.2025]
8. ИвановИИ[04.Дек.2025]
9. Alex_U[04.Дек.2025]
10. Yarikus03[03.Дек.2025]
МастерБаку[583]
Yulana34[177]
Serg74[160]
Dimitrius[129]
naves[122]
РОМУЛ[121]
bektyish[121]
madmac[116]
Алекс-200[114]
begun_a[112]