[ Новые сообщения · Участники · Правила форума · Поиск · RSS ]



  • Страница 1 из 1
  • 1
Модератор форума: renmaster  
... Ренекс-Флюоро
andy8Дата: Четверг, 26.Май.2011, 14:25 | Сообщение # 1
Участник
У вас сообщений: 145
рентгентехник
OFFлайн
Гаити

Лимонад
На снимках появилась рябь (меленькие пятнышки-точки отличные от фона по освещенности на участках мягких тканей, там где должен быть равномерный фон), а также местами белые засветки (как-будто слишком увеличили контраст). Рябь примерно такая же как на снимках цифровой фотокамерой в условиях недостаточной освещённости. При минимальной дозе 40 кв 1 Мас снимок миры получается хорошо, без ряби. Водяных фантомов и рентгентестера, правда, нету у меня. unknown
Мое предположение: рентгеновская трубка подсела или, менее вероятно, камера стала хуже работать? Может, есть какая простая методика проверки и лечения недуга (кроме замены трубы) и кто сталкивался?


Сообщение отредактировал andy8 - Четверг, 26.Май.2011, 14:31
 
petroveechДата: Четверг, 26.Май.2011, 15:09 | Сообщение # 2
У вас сообщений: 1072
Иженер
OFFлайн
Российская Федерация

Ставрополь
Настроить плоское поле.
 
renmasterДата: Четверг, 26.Май.2011, 15:54 | Сообщение # 3
OFFлайн
Российская Федерация

Россия
Quote (petroveech)
Настроить плоское поле

логично, плюс в ручном режиме выставленные параметры Кв и МАСов и реальные после снимка ,на различных режимах, отличие есть? ( это если величену КВ и выдержку проконтролировать больше не чем )
 
andy8Дата: Понедельник, 30.Май.2011, 09:19 | Сообщение # 4
Участник
У вас сообщений: 145
рентгентехник
OFFлайн
Гаити

Лимонад
Quote (petroveech)
Настроить плоское поле.
спасибо, а можно немного поконкретнее? где про это почитать?
Quote (renmaster)
параметры Кв и МАСов и реальные после снимка ,на различных режимах, отличие есть?
понял, проверим.
 
signal-atakiДата: Понедельник, 30.Май.2011, 09:43 | Сообщение # 5
Участник
У вас сообщений: 77
Инженер ремонт рентген
OFFлайн
Российская Федерация

Нижнекамск
Quote (andy8)
спасибо, а можно немного поконкретнее? где про это почитать?

Для версии 3.9.023
3988278.pdf (255.9 Kb)
 
andy8Дата: Понедельник, 30.Май.2011, 13:16 | Сообщение # 6
Участник
У вас сообщений: 145
рентгентехник
OFFлайн
Гаити

Лимонад
Quote (signal-ataki)
Для версии 3.9.023

Версия там именно такая. (Аппарат, кстати, 2000года.)
Непонятно, как войти в сервисный режим?
После загрузки Win2000 на докторском компе, когда вместо <Доктор> пишу <admin> и пароль <putztucher>, то на мониторе в результате оказывается та же картинка, что и в режиме <Доктор>. shok
В инструкции 3988278.pdf написано, что окно настройки камеры можно вызвать только в сервисном режиме.


Сообщение отредактировал andy8 - Понедельник, 30.Май.2011, 13:50
 
signal-atakiДата: Понедельник, 30.Май.2011, 13:38 | Сообщение # 7
Участник
У вас сообщений: 77
Инженер ремонт рентген
OFFлайн
Российская Федерация

Нижнекамск
. Там добавляется иконка настройка камеры
Quote (andy8)
осле загрузки Win2000 на докторском компе, когда вместо <Доктор> пишу <admin> и пароль <putztucher>, то на мониторе в результате оказывается та же картинка, что и в режиме <Доктор>.


Камера настраивается на раб месте "лаборант"
 
andy8Дата: Среда, 01.Июн.2011, 13:46 | Сообщение # 8
Участник
У вас сообщений: 145
рентгентехник
OFFлайн
Гаити

Лимонад
Quote (signal-ataki)
Камера настраивается на раб месте "лаборант"

К сожалению, продолжить работу мне не удалось, поскольку "качество" снимка восстановилось само-собой. Лаборант говорит: пока его удовлетворяет, да и аппарат скоро менять будут, не тронь, а то... Если опять будет плохое, тогда будем настраивать поле.
 
ub6lazДата: Четверг, 23.Июн.2011, 09:49 | Сообщение # 9
Стажер
У вас сообщений: 5
Инженер-медик
OFFлайн
Российская Федерация

Ростов-на-Дону
Quote (andy8)
Если опять будет плохое, тогда будем настраивать поле.

Quote (andy8)
После загрузки Win2000 на докторском компе, когда вместо <Доктор> пишу <admin> и пароль <putztucher>, то на мониторе в результате оказывается та же картинка, что и в режиме <Доктор>.

Доброго времени суток.
Заходишь под Админом, клац. правой кнопкой по нижней рамке экрана, в падающем меню выбираешь= Настройка камеры, далее нужно попробовать убрать галочки в полях устранения плохих точек и дефектов, сохранить. Если не изменится ничего, нужно удалить все старые дефектные "точки-строчки" и/или заново настроить плоское поле. Если нужна будет инструкция по настройке, скину. И если че, есть полный загрузочный диск со всеми мануалами и прогами( брал лично в Гелпике в Москве).
Кстати там в сервисе нормальные мужики работают, все консультации можно получить по телефону, или по электронке, также можно скинуть пару снимков(формат нужно уточнить у москвичей!!) с дефектами, они помогут определить возможные причины и как устранить... Также если нужны будут контакты-скину. Удачи.
 
andy8Дата: Четверг, 23.Июн.2011, 12:47 | Сообщение # 10
Участник
У вас сообщений: 145
рентгентехник
OFFлайн
Гаити

Лимонад
Quote (ub6laz)
Удачи.

Спасибо за инфу и участие, буду иметь ввиду.
 
WASДата: Четверг, 29.Мар.2012, 09:22 | Сообщение # 11
Стажер
У вас сообщений: 36
Рентгенология
OFFлайн
Российская Федерация

Ростов-на-Дону
Здравствуйте уважаемые!
Аппарат - ФЦМБарс-ренекс
Выпуск - 2006г.
ПО - 3.9.023
Проблема в следующем:
На снимке артефакты http://files.mail.ru/3S837Q - проявляются не стабильно, в основном при больших режимах (100кВ 5мАс и более). От положения штатива не зависит.
Что сделано:
1. все соединительные кабеля проверены;
2. МС 86 и 87 заменены;
3. заменена камера (т.к. не калибровалось плоское поле, т.е. не возможно было набрать ярость более 42000 при любых режимах);
4. с новой камерой откалибровано плоское поле.
5. на выходах с блока питания камеры напряжения в норме, но есть высокочастотная составляющая амплитудой порядка 10мВ.
Подскажите, на что ещё обратить внемание?

Заранее благодарю за ответы.
-254635B0-2C95-.bmp (922.3 Kb)
 
DSRДата: Четверг, 29.Мар.2012, 09:43 | Сообщение # 12
Участник
У вас сообщений: 99
инженер по медоборудованию
OFFлайн
Российская Федерация

Махачкала
заземление проверь тоже
 
АГИДата: Четверг, 29.Мар.2012, 14:33 | Сообщение # 13
Техник
У вас сообщений: 382
Инженер
OFFлайн
Российская Федерация

Ставрополь
Quote (WAS)
не возможно было набрать ярость более 42000 при любых режимах

Попробуй настроить плоское поле на яркости 12000
Ориентировочный режим для настройки плоского поля 77-82 Кв, 7-12 мАс.
Скорее всего у Вас плоское поле настроено не под конкректную модификацию.
 
WASДата: Пятница, 30.Мар.2012, 08:36 | Сообщение # 14
Стажер
У вас сообщений: 36
Рентгенология
OFFлайн
Российская Федерация

Ростов-на-Дону
Здравствуйте уважаемые!
Аппарат - ФЦМБарс-ренекс (однофазный с накопителем)
Выпуск - 2006г.
ПО - 3.9.023
Quote (АГИ)
Попробуй настроить плоское поле на яркости 12000
Ориентировочный режим для настройки плоского поля 77-82 Кв, 7-12 мАс.

На старой камере настроить поле не получается т.к. даже при режимах 100кВ 8мАс максимальное значение Z составляет не более 3000, по этому камеру и поменяли.
Больше беспокоят зигзазо образные артефакты http://files.mail.ru/3S837Q , которые появляются на режимах более 90кВ и 5мАс (такое впечатление, что "проседает" напруга и дает помехи по питанию камеры).
з.ы.
Quote (DSR)
заземление проверь тоже

С заземлением все в порядке - 0,5 Ом.
 
sloniksДата: Пятница, 30.Мар.2012, 23:09 | Сообщение # 15
Техник
У вас сообщений: 307
Инженер
OFFлайн
Российская Федерация

Вологда
В одной из тем обсуждалась проблема с "плохим" изображением на флюорографе Renex (Helpic)... Необходимо проконтролировать опорные напряжения на камере (предварительно сняв крышку) и откорректировать при необходимости.
Кстати, анодное напряжение в норме? Есть ли разница во времени экспозиции (в ручном режиме): установленное - реальное?
 
WASДата: Понедельник, 21.Май.2012, 09:23 | Сообщение # 16
Стажер
У вас сообщений: 36
Рентгенология
OFFлайн
Российская Федерация

Ростов-на-Дону
Здравствуйте уважаемые!
Источник артефактов "выловлен", "подшивает" в моноблоке.
На пульте при напряжении более 109кВ, стало появляться сообщение об ошибке 113.
Походу пробивает конденсаторы.
Проблема в следующем:
производитель не дает ремкомплект деталей объясняя это тем, что нужно делать ремонт в заводских условиях, рабочий монодлок предлагают за 250т.р., отремонтировать за ~100т.р. по времени займет с пару месяцев.
Может у кого есть моноблок по приемлемой цене?
 
andy8Дата: Понедельник, 04.Июн.2012, 15:40 | Сообщение # 17
Участник
У вас сообщений: 145
рентгентехник
OFFлайн
Гаити

Лимонад
Добрый день!

На моём флюорографе такая проблема: очень плохое изображение в начале дня, а когда аппарат поработает (нагреется) часа 3-4, качество изображения восстанавливается. В сервисе Гелпика посоветовали проверить питающее напряжение камеры -15в, и дальше минусовое напряжение на камере (8.17-8.2 вольт) - единственный регулир. резистор на круглой плате.
8757495.jpg (125.3 Kb) · ___.pdf (249.4 Kb)


Сообщение отредактировал andy8 - Суббота, 09.Июн.2012, 11:49
 
sloniksДата: Вторник, 05.Июн.2012, 17:41 | Сообщение # 18
Техник
У вас сообщений: 307
Инженер
OFFлайн
Российская Федерация

Вологда
Quote (andy8)
единственный регулир. резистор на круглой плате

он там не один, но направление указали правильное...
 
WASДата: Среда, 06.Июн.2012, 08:32 | Сообщение # 19
Стажер
У вас сообщений: 36
Рентгенология
OFFлайн
Российская Федерация

Ростов-на-Дону
Здравствуйте уважаемые!
Может из области фантастики, но плохое изображение в начале работы и соответственно хорошее после "прогрева", может быть вызвано падением уровня масла в моноблоке, т.е. пока аппарат "холодный" уровень низкий и "слегка" подшивает" в моноблоке, помере нагрева уровень повышается и пробои прекращаются.
В любом случае не лишним будет проверить уровень масла в моноблоке и состояние всех уплотнителей на предмет подтекания.
з.ы.
Была похожая проблема из за трещины в масло-расширительной резинке.
 
sloniksДата: Среда, 06.Июн.2012, 20:00 | Сообщение # 20
Техник
У вас сообщений: 307
Инженер
OFFлайн
Российская Федерация

Вологда
Quote (WAS)
Была похожая проблема из за трещины в масло-расширительной резинке.

А при этом ошибок не возникало?
 
kosyacДата: Четверг, 23.Мар.2017, 10:34 | Сообщение # 21
Стажер
У вас сообщений: 23
Инженер
OFFлайн
Российская Федерация

Мытищи
Добрый день!
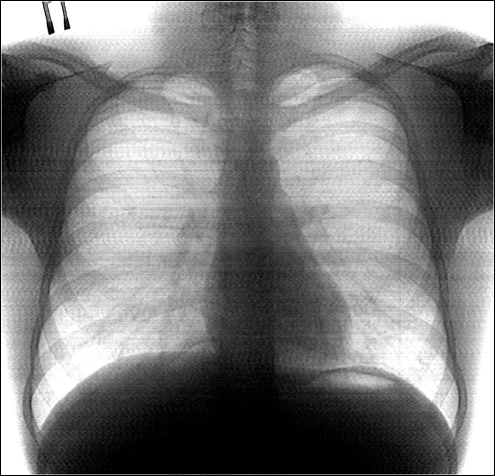
После переноса аппарата появилась рябь на снимках! Несли аккуратно! Соединения все проверил.
В чем собака порылась?
4587604.jpg (570.7 Kb)


Сообщение отредактировал kosyac - Четверг, 23.Мар.2017, 10:41
 
zoil107Дата: Суббота, 25.Мар.2017, 08:36 | Сообщение # 22
У вас сообщений: 133
рентгентехник
OFFлайн
Российская Федерация

Москва
Уважаемый "kosyac" НЕОБХОДИМО СКРЫТЬ ДАННЫЕ ПАЦИЕНТА даже если они вымышлены,дабы ненарваться на претензии. yes

забывчивый
 
kosyacДата: Понедельник, 27.Мар.2017, 11:50 | Сообщение # 23
Стажер
У вас сообщений: 23
Инженер
OFFлайн
Российская Федерация

Мытищи
Добрый день! "zoil107" в следующий раз спрячу. Спасибо за замечание, не подумал! unknown

Касательно аппарата проблему решил! Сегодня пошел и посмотрел как мне подключили электрики, оказалось земля в воздухе висит, также выяснилось после подключения на шину что земли в данном помещении нет((( Протянули с соседнее помещения и о ЧУДОООО! Картинка четкая))))
Спасибо всем за помощь.
 
petroveechДата: Вторник, 28.Мар.2017, 07:29 | Сообщение # 24
У вас сообщений: 1072
Иженер
OFFлайн
Российская Федерация

Ставрополь
Цитата kosyac ()
((( Протянули с соседнее помещения и о ЧУДОООО! Картинка четкая))))

Повезло так повезло. Обычно, всё вместе с камерой летит. Советую проверить напряжение системник-пингвин. А лучше сразу проводом соединить. У меня 40 вольт как то было. Обошлось не дорого. Четверть от нового. Замена всего.


При обращении пишите мыло сразу.
 
snake64Дата: Четверг, 23.Авг.2018, 13:24 | Сообщение # 25
Стажер
У вас сообщений: 43
медтехник
OFFлайн
Российская Федерация

Саратов
Господа, Флюрограф цифровой Ренекс. вопрос по архивации. Ситуация такая заготовил болванки под архивацию, зарегистрировал диск в программе, выполнил архивацию. Количество снимков для архивации уменьшилось, а место на жёстком диске нет. Как освободить место на жёстком? Нужно же удалить снимки которые уже сброшены на диск,при этом, не поудаляв незаархивированные снимки. Прогорамма Ренекс Флюоро ПО версия 3.9.
 
petroveechДата: Вторник, 28.Авг.2018, 06:59 | Сообщение # 26
У вас сообщений: 1072
Иженер
OFFлайн
Российская Федерация

Ставрополь
Удалить снимки помеченные на удаление, очистить жёсткий диск. В окне где проводили архивацию.

При обращении пишите мыло сразу.
 
  • Страница 1 из 1
  • 1
Поиск:



Статистика Форума
Последние обновления тем: Новые файлы хранилища: Новые участники: Top10 участников:
1. Маммограф МАММОСКАН ф...[FAINT (01.Апр.2026)]
2. Стерилизатор паровой ...[agolenda (01.Апр.2026)]
3. Дигитайзер Regius 110...[nicfeer (25.Мар.2026)]
4. КРД «РИМ АМ» ф.ООО &q...[bespalnik72 (22.Мар.2026)]
5. Анализатор биохимичес...[walkman8196 (20.Мар.2026)]
6. ИВЛ Neumovent Graph[Рома (19.Мар.2026)]
7. Аппарат "Мустанг...[Romuald (19.Мар.2026)]
8. Помогите опознать ком...[Romuald (19.Мар.2026)]
9. Светодиодный осветите...[Domovenock (16.Мар.2026)]
1. Apollo EZ service man...[25.Дек.2025]
2. VIVIX Setup Operation...[12.Окт.2025]
3. GenwareMP[10.Сен.2025]
4. Настройка реагентов M...[20.Авг.2025]
5. Philips HD3-EXP[13.Авг.2025]
6. Рентгеновское оборудо...[08.Авг.2025]
7. VersaMed iVent201 Сер...[13.Фев.2025]
8. Гелпик КРД Ренекс РЦ ...[09.Фев.2025]
9. Офтальмологическая ус...[31.Окт.2024]
10. Cardinal-Health-VELA-...[03.Окт.2024]
1. ATers[01.Апр.2026]
2. Valdis_57rus[01.Апр.2026]
3. kafar[31.Мар.2026]
4. Sergey1966[31.Мар.2026]
5. Akhan[31.Мар.2026]
6. Smol47[31.Мар.2026]
7. SeregaS123ddddv[31.Мар.2026]
8. sibinnt[31.Мар.2026]
9. feref[30.Мар.2026]
10. tianji[30.Мар.2026]
МастерБаку[583]
Yulana34[177]
Serg74[160]
Dimitrius[129]
naves[122]
РОМУЛ[121]
bektyish[121]
madmac[116]
Алекс-200[114]
генаf[112]