[ Новые сообщения · Участники · Правила форума · Поиск · RSS ]



  • Страница 1 из 1
  • 1
Модератор форума: GeorgySmith, KAMEROved_2  
Ремонт Toshiba Asteion
ТигрДата: Пятница, 04.Фев.2011, 00:29 | Сообщение # 1
Стажер
У вас сообщений: 35
Инженер службы сервиса
OFFлайн
Российская Федерация

Saint-Petersburg
Здравствуйте, дорогие коллеги!

Подскажите, может знает кто.
CT Toshiba Asteion. Односрезовый. Доктор стал жаловаться на артефакты и мутное изображение. Сегодня посетил их с диагностикой. Как сказал мне томограф, на нём с 2008 года не делали калибровку по воде...
Выполнил калибровку по воде. Значение плотностей разных сред на TOS-фантоме пришли в норму (имелись отклонения), в соответствии с соответствующим руководством на томограф. После этого, как полагается калибрэйшн по воздуху. Но - артефакты то ушли (кольцевые артефакты), а вот изображение нечеткое. Контуры среза объекта размытые. Словно через мутное, загрязненное стекло смотреть.
Подкорректировав значения в разделе установленных и реальных напряжений на РТ (т.к. труба уже до 400 000 доходит, подизносилась), почистив майларовое кольцо и принимающее окно детектора (тоже давно у них никто этого не делал), а так же проверив, насколько позволяло время, силовую часть - особых подвижек нет....т.е. я так понял, либо это высоковольтная часть энд система передачи информации с детектора, либо что-то в программной части.

у кого какие мысли есть?

кстати, вспомнил. Труба быстро нагревается. Т.е. буквально от 50% прогрева сделать 5-10 срезов за одну серию, она уже разогревается до температуры, при которой КТ просит подождать и выводится индикатор времени остывания трубы (примерно 85% прогрева, не буду врать, не помню, может и 90 было разок).


Всё что нам необходимо - это Знание, да ещё - Воля, чтобы воплощать это знание в жизнь.

Сообщение отредактировал Тигр - Пятница, 04.Фев.2011, 00:33
 
GeorgySmithДата: Пятница, 04.Фев.2011, 16:18 | Сообщение # 2
US,CT,MRI,angio systems
OFFлайн
Российская Федерация

Middle Volga
ну кинь изображение, тогда можно подумать... А с твоих слов - проблема, как раз с тем, чем ты на заводе занимался раньше :)
 
GeorgySmithДата: Воскресенье, 13.Фев.2011, 12:57 | Сообщение # 3
US,CT,MRI,angio systems
OFFлайн
Российская Федерация

Middle Volga
а) встречались с такой ситуацией
б) где изображения? - вообще-то это главный пункт - без него на кофейной гуще гадай сам
в) проблема с трубкой или "околотрубочная" проблема -я б так преположил

Quote (Тигр)
кстати, вспомнил. Труба быстро нагревается. Т.е. буквально от 50% прогрева сделать 5-10 срезов за одну серию, она уже разогревается до температуры, при которой КТ просит подождать и выводится индикатор времени остывания трубы (примерно 85% прогрева, не буду врать, не помню, может и 90 было разок).

у тебя астеион VP? - чего ты от него еще тогда хочешь?
 
ТигрДата: Пятница, 25.Фев.2011, 00:21 | Сообщение # 4
Стажер
У вас сообщений: 35
Инженер службы сервиса
OFFлайн
Российская Федерация

Saint-Petersburg
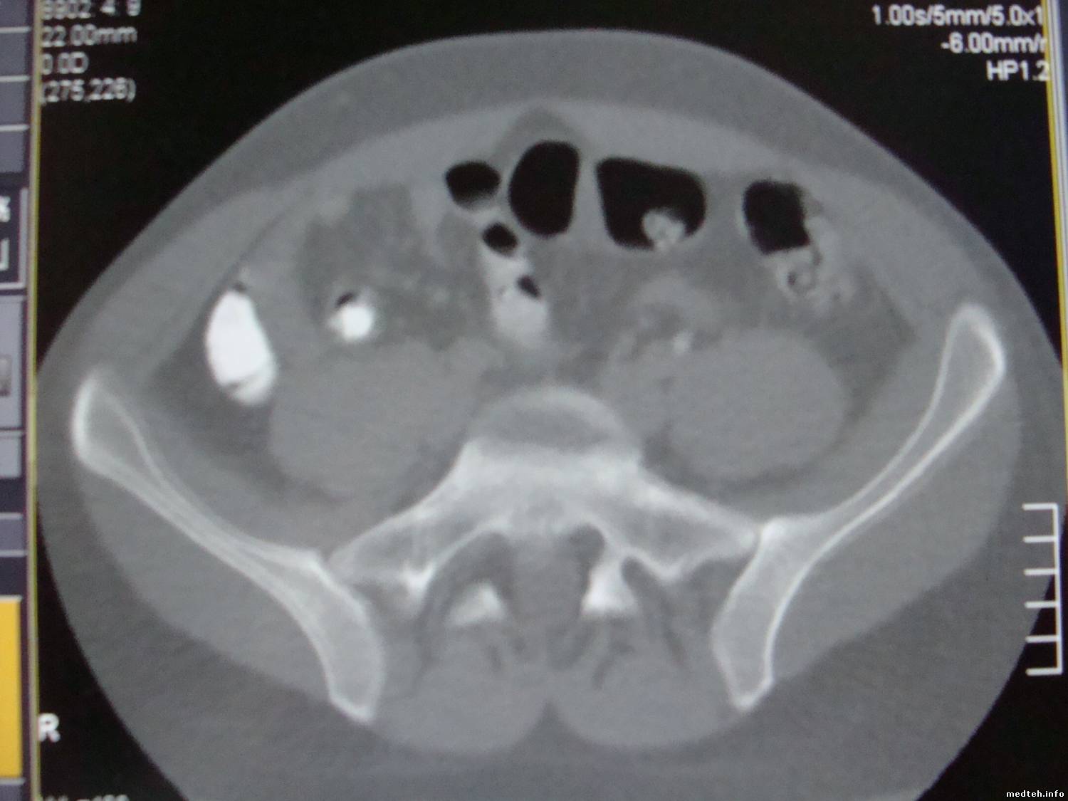
А вот и фото.

Если кому интересно.

Как видно - присутствует элемент двоения, например кости, слева, на картинке.

8035747.jpg (104.1 Kb)


Всё что нам необходимо - это Знание, да ещё - Воля, чтобы воплощать это знание в жизнь.

Сообщение отредактировал Тигр - Пятница, 25.Фев.2011, 00:22
 
marfa-555Дата: Пятница, 25.Фев.2011, 02:04 | Сообщение # 5
Участник
У вас сообщений: 157
рентгентехник
OFFлайн
Российская Федерация

Москва
Привут!!!
(т.к. труба уже до 400 000 доходит,

Обычно при такой наработки требуется замена R-трубки.

 
ТигрДата: Пятница, 25.Фев.2011, 08:38 | Сообщение # 6
Стажер
У вас сообщений: 35
Инженер службы сервиса
OFFлайн
Российская Федерация

Saint-Petersburg
Я бы сказал что трубка меняется не в плановом режиме (по показанию счётчика), а по мере необходимости - как только появляются первые предпосылки - пробои и соответствующие ошибки. А на счёт выработки трубки - как уж повезёт (у кого и 200 000 проедет, а у кого и 400 000 - смотря в каком режиме эксплуатировать).

Всё что нам необходимо - это Знание, да ещё - Воля, чтобы воплощать это знание в жизнь.
 
marfa-555Дата: Пятница, 25.Фев.2011, 11:21 | Сообщение # 7
Участник
У вас сообщений: 157
рентгентехник
OFFлайн
Российская Федерация

Москва
По идеи при включение комплекса проходят тесты в том числе параметры R-трубки.
R-трубка характеризуется многими параметрами, а главное Х-лучами измеряемые в рентгенах, зивертах, греях, итд итп.
Судя по вашим снимкам этого параметра у Вас и нехватает.
у кого и 200 000 проедет, а у кого и 400 000 - смотря какая жирность пациента (вес объекта).
 
doniДата: Пятница, 25.Фев.2011, 14:54 | Сообщение # 8
Участник
У вас сообщений: 105
Медтехник
OFFлайн
Узбекистан

Узбекистан
Тигр, вы не пробовали поводить тесты на имидж(снимки)? GE тамографах это помогает!
 
ТигрДата: Четверг, 03.Мар.2011, 19:54 | Сообщение # 9
Стажер
У вас сообщений: 35
Инженер службы сервиса
OFFлайн
Российская Федерация

Saint-Petersburg
Проблема устранена. Уже неделю томограф работает в штатном режиме.

Всё что нам необходимо - это Знание, да ещё - Воля, чтобы воплощать это знание в жизнь.
 
GeorgySmithДата: Пятница, 04.Мар.2011, 18:40 | Сообщение # 10
US,CT,MRI,angio systems
OFFлайн
Российская Федерация

Middle Volga
ну и как ты это устранил? с народом поделиться не хочешь?
 
loup2020Дата: Четверг, 06.Авг.2020, 15:33 | Сообщение # 11
Стажер
У вас сообщений: 5
BIO MEDICAL
OFFлайн
Алжир

djelfa
кто-нибудь, помогите мне сделать калибровку на Asteion 4, пожалуйста
 
  • Страница 1 из 1
  • 1
Поиск:



Статистика Форума
Последние обновления тем: Новые файлы хранилища: Новые участники: Top10 участников:
1. Анализатор поля зрени...[SpirituS (04.Дек.2025)]
2. Программный комплекс ...[mqubali (04.Дек.2025)]
3. Кардиорегистратор «ИК...[albano18 (04.Дек.2025)]
4. Thermo Scientific gem...[viggen (03.Дек.2025)]
5. Центрифуга CM-6M ф.El...[Ningen64 (03.Дек.2025)]
6. Дефибриллятор Defi B ...[san-che30 (02.Дек.2025)]
7. Коллиматор Ralco R 22...[seeker (02.Дек.2025)]
8. КУПЛЮ/ПРИМУ в дар при...[seabee (02.Дек.2025)]
9. Центрифуга MiniSpin P...[AntonioPetty (01.Дек.2025)]
1. VIVIX Setup Operation...[12.Окт.2025]
2. GenwareMP[10.Сен.2025]
3. Настройка реагентов M...[20.Авг.2025]
4. Philips HD3-EXP[13.Авг.2025]
5. Рентгеновское оборудо...[08.Авг.2025]
6. VersaMed iVent201 Сер...[13.Фев.2025]
7. Гелпик КРД Ренекс РЦ ...[09.Фев.2025]
8. Офтальмологическая ус...[31.Окт.2024]
9. Cardinal-Health-VELA-...[03.Окт.2024]
10. Service Manual HAMILT...[02.Окт.2024]
1. Intellect[05.Дек.2025]
2. Romanivanov[05.Дек.2025]
3. igogoigogo[05.Дек.2025]
4. 1rishka[04.Дек.2025]
5. L_V_N[04.Дек.2025]
6. ИвановИИ[04.Дек.2025]
7. Alex_U[04.Дек.2025]
8. Yarikus03[03.Дек.2025]
9. EvaLen[03.Дек.2025]
10. dankurets[03.Дек.2025]
МастерБаку[583]
Yulana34[177]
Serg74[160]
Dimitrius[129]
naves[122]
РОМУЛ[121]
bektyish[121]
madmac[116]
Алекс-200[114]
begun_a[112]