[ Новые сообщения · Участники · Правила форума · Поиск · RSS ]



  • Страница 1 из 1
  • 1
Модератор форума: renmaster  
Разводы при печати на пленку импортированных изображений
BomberbugДата: Воскресенье, 07.Янв.2018, 18:17 | Сообщение # 1
У вас сообщений: 713
engineer
OFFлайн
Российская Федерация

Россия
Вечер добрый.

Вводные данные: Есть АРМ врача с софтом ЕПО электроновским, PICKSYS который вроде называется.
Данные, получаемые с лаборанта выводятся на дайком камеру Коника Сигма нормально
Также на этот АРМ "складируются" данные с мобильного палатного рентгена. Они низкого разрешения - примерно что-то типа 800х600 (в отличие от электроновских примерно 2000 х 3000).
Так вот, при импортировании палатных снимков и их печати на Конику - изображение все какое-то "в разводах" - наподобие того как раньше если в настройках монитора выставить кол-во цветов вместо True Color что-то типа 16 тысяч...
Такое ощущение, что именно эти ИМПОРТИРУЕМЫЕ изображения "портачатся" путем понижения битности цвета (хотя как-бы серое оно)...
С других аппаратов пока не пробовал импортировать и печатать а со снимками этого палатника "наигрался" по-всякому - и шаблоны использовал разные и разное кол-во снимков на лист - результат всегда один :-(

Печатал те же самые снимки на бумажный принтер - все нормально (ну на бумаге совсем другое качество :-) ).

А вот при печати через иные программы (например Weasis) - все нормально...

Т.е. дело именно в софте Электрона. А в чем именно? Может кто знает как исправить?
Галочка для принтера 12 бит в настройках не стоит :-) Также иного дайком принтера для проверки нет.
 
FeTДата: Вторник, 09.Янв.2018, 13:48 | Сообщение # 2
Участник
У вас сообщений: 175
ПО рентгеновских аппаратов
OFFлайн
Российская Федерация

Мой город не дом и не улица...
Цитата Bomberbug ()
изображение все какое-то "в разводах"

Выложи фото результата. И еще сам файл с палатника. Тогда можно о чем-то говорить.
 
BomberbugДата: Вторник, 09.Янв.2018, 18:48 | Сообщение # 3
У вас сообщений: 713
engineer
OFFлайн
Российская Федерация

Россия
Хорошо, выложу.
 
BomberbugДата: Понедельник, 15.Янв.2018, 18:34 | Сообщение # 4
У вас сообщений: 713
engineer
OFFлайн
Российская Федерация

Россия
Вот файл для образца.
Разрешение, конечно, маловасто... да и качество так себе.
но все ж с иных программ на пленку (как и с самого палатника) нормально печататется.
Самого изображения на пленке с "разводами" не смог сфотать, позже.

Первым делом обратил на глубину цвета (12 бит супротив 16 у "оригинального Электрона")
Anonyme_1.3.46..dcm (971.7 Kb)
 
BomberbugДата: Среда, 17.Янв.2018, 15:47 | Сообщение # 5
У вас сообщений: 713
engineer
OFFлайн
Российская Федерация

Россия
Пробовал печатать на один лист изображения и с Электрона и с палатника (и небольшого разрешения и достаточно "нормальные" - разрешение 2300 х 2800 примерно).
Эффект тот же - Электроновское - ГУТ, остальное с какой-то "рябью"/размытостью.
Дефект этот сильно похож на тот, что раньше был на экранах монитора когда вместо High Color выставить 256 цветов...

Походу дело в битности, что ли...


Сообщение отредактировал Bomberbug - Среда, 17.Янв.2018, 15:49
 
FeTДата: Пятница, 19.Янв.2018, 12:05 | Сообщение # 6
Участник
У вас сообщений: 175
ПО рентгеновских аппаратов
OFFлайн
Российская Федерация

Мой город не дом и не улица...
Цитата Bomberbug ()
Первым делом обратил на глубину цвета (12 бит супротив 16 у "оригинального Электрона")

На самом деле принтеры больше 12 бит не поддерживают. Да и у электрона, реально значимых только 12.
Изображение нормальное, проблем нет, НО.
Там есть шторки, это видно по "лесенке" сверху картинки. В программе врача у электрона есть возможность отключить их. Может это как-то влияет.
Хотя я попробовал распечатать со шторками на тестовый принтер (TIANI), всё нормально распечаталось.
Надо бы посмотреть на саму пленку.
 
BomberbugДата: Пятница, 19.Янв.2018, 19:18 | Сообщение # 7
У вас сообщений: 713
engineer
OFFлайн
Российская Федерация

Россия
Цитата FeT ()
На самом деле принтеры больше 12 бит не поддерживают

Скорее всего и есть так. Даже галку 12 бит в настройках принтера не включаю - иначе ИНОГДА косяки с изображениями бывают :-)
Так что печать скорее всего в 8 бит идет.
А вот софт Электрона о коем речь изначально идет шел в комплекте с аппаратом АРЦ-ОКО (как-то так называется) - там и версия библиотеки ELprint поновее (она, например - проверялось точно, умеет импортировать пожатые JPEG-ом изображения), а вот на ФЦ-ОКО софт импортирует (ручной импорт) файл пожатый косячно (какой-то белый экран только). Уж точно не проверял lossless jpeg не умеет он открывать иль ваще jpeg.
Однако, версия софта PICKSYS DIS на ФЦ-ОКО также при печати на пленке выдает подобное же косячное изображение...
Так что скорее всего дело в косячности "перевода" в 8 бит моего "необычного файла" софтом Электроновского оборудования...

Глазами на экране особой косячности не видать, кроме явно видного низкого разрешения моего изображения.
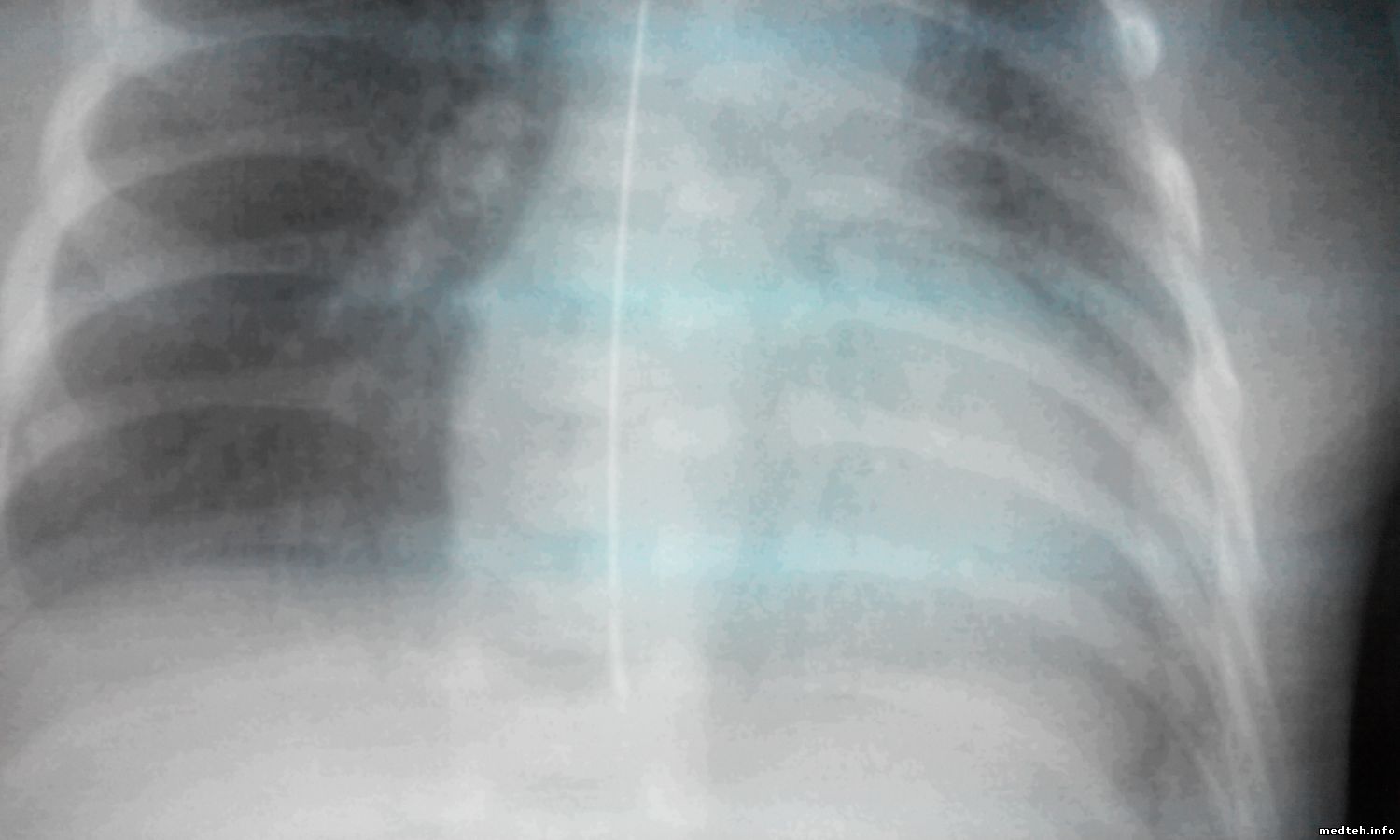
Как мог снял результат печати - особенно хорошо видно в правом верхнем углу...

Кстати, выставлял и 12 бит галку для принтера и печатал сразу несколько изображений на лист ("родных" и свои "косячные") - артефакты ТОЛЬКО на "косячных". Значит - косяк при добавления изображения на лист предпросмотра печати (ну иль самой печати) - т.к. "родные" на том же листе хорошо смотрятся...
3720377.jpg (84.8 Kb)


Сообщение отредактировал Bomberbug - Пятница, 19.Янв.2018, 19:21
 
BomberbugДата: Вторник, 30.Янв.2018, 19:03 | Сообщение # 8
У вас сообщений: 713
engineer
OFFлайн
Российская Федерация

Россия
Может кто знает как "трансформировать" DICOM-файл из 12 бит в 16 ?
Ну иль из 12 в 8 бит...
Хочу эксперимент поставить - свои косячные снимки попробовать поконвертить и снова распечатать...

И еще - можетк то пользовался нормальной прогой откуда DICOM-файлы можно на DICOM-принтер печатать?
ПРобовал парочку (в т.ч. weasis) - как-то все коряво... Само иображение без "разводов", но вот тескт сопроводительный мелкий совсем - почти не видно :-(

Хоть замену какую печати с Электрона может кто подскажет...
 
navesДата: Четверг, 01.Фев.2018, 00:06 | Сообщение # 9
У вас сообщений: 1070
программист
OFFлайн
Российская Федерация

Москва
http://support.dcmtk.org/docs/dcmj2pnm.html

Код
  +op   --write-raw-pnm
          write 8-bit binary PGM/PPM (default for files)

  +opb  --write-8-bit-pnm
          write 8-bit ASCII PGM/PPM (default for stdout)

  +opw  --write-16-bit-pnm
          write 16-bit ASCII PGM/PPM

а потом обратно
http://support.dcmtk.org/docs/img2dcm.html

a efilm не проверяли для печати на принтере?


Сообщение отредактировал naves - Четверг, 01.Фев.2018, 00:07
 
BomberbugДата: Четверг, 01.Фев.2018, 14:04 | Сообщение # 10
У вас сообщений: 713
engineer
OFFлайн
Российская Федерация

Россия
Цитата naves ()
a efilm не проверяли для печати на принтере?

Нет. Думается, что там более менее все будет, ОДНАКО имею нормальный опыт работы с этой программой - частенько глюкавит, да и неохота замусоривать систему... Вот что-нибудь в портейбл версии :-)
Конечно, если уж свосем плохо будет, то, возможно, им придется поьзоваться.

Пока, на мой взгляд, самый кашерный вариант был у Электрона с версиями ЭОС.. На PICKSYS уже не то - не нашел возможности кадрировать нужный элемент снимка (в ЭОС это делалось элементарным изменением окна изображения :-( )

Цитата naves ()
http://support.dcmtk.org/docs/dcmj2pnm.html

попробую...


Сообщение отредактировал Bomberbug - Четверг, 01.Фев.2018, 14:04
 
  • Страница 1 из 1
  • 1
Поиск:



Статистика Форума
Последние обновления тем: Новые файлы хранилища: Новые участники: Top10 участников:
1. Анализатор поля зрени...[SpirituS (04.Дек.2025)]
2. Программный комплекс ...[mqubali (04.Дек.2025)]
3. Кардиорегистратор «ИК...[albano18 (04.Дек.2025)]
4. Thermo Scientific gem...[viggen (03.Дек.2025)]
5. Центрифуга CM-6M ф.El...[Ningen64 (03.Дек.2025)]
6. Дефибриллятор Defi B ...[san-che30 (02.Дек.2025)]
7. Коллиматор Ralco R 22...[seeker (02.Дек.2025)]
8. КУПЛЮ/ПРИМУ в дар при...[seabee (02.Дек.2025)]
9. Центрифуга MiniSpin P...[AntonioPetty (01.Дек.2025)]
1. VIVIX Setup Operation...[12.Окт.2025]
2. GenwareMP[10.Сен.2025]
3. Настройка реагентов M...[20.Авг.2025]
4. Philips HD3-EXP[13.Авг.2025]
5. Рентгеновское оборудо...[08.Авг.2025]
6. VersaMed iVent201 Сер...[13.Фев.2025]
7. Гелпик КРД Ренекс РЦ ...[09.Фев.2025]
8. Офтальмологическая ус...[31.Окт.2024]
9. Cardinal-Health-VELA-...[03.Окт.2024]
10. Service Manual HAMILT...[02.Окт.2024]
1. Intellect[05.Дек.2025]
2. Romanivanov[05.Дек.2025]
3. igogoigogo[05.Дек.2025]
4. 1rishka[04.Дек.2025]
5. L_V_N[04.Дек.2025]
6. ИвановИИ[04.Дек.2025]
7. Alex_U[04.Дек.2025]
8. Yarikus03[03.Дек.2025]
9. EvaLen[03.Дек.2025]
10. dankurets[03.Дек.2025]
МастерБаку[583]
Yulana34[177]
Serg74[160]
Dimitrius[129]
naves[122]
РОМУЛ[121]
bektyish[121]
madmac[116]
Алекс-200[114]
begun_a[112]