[ Новые сообщения · Участники · Правила форума · Поиск · RSS ]



  • Страница 1 из 1
  • 1
Модератор форума: renmaster  
Флюорограф ФЦ-01 "Электрон" РПУ Epsilon ПО ЭОС 2.6.4
M-IshevskДата: Понедельник, 04.Июн.2012, 14:35 | Сообщение # 1
Завсегдатай
У вас сообщений: 258
рентгентехник
OFFлайн
Российская Федерация

Ижевск
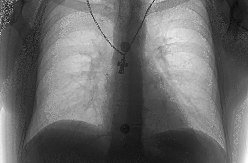
Дело было так: в одие совсем не прекрасный день случился пожар в пультовой. Загорелся потолочный светильник, упал на диван и т.д. Все погасили. Потери - бесперебойник, монитор. Все в копоти. К счастью АРМ и пульт выжили. После косметического ремонта произвели чистку питающего и стойки от копоти, которой было очень много. Запустили - вроде работает. Через день звонок - не идут боковые проекции. Снимки аналогичные вложенным. Еще через полдня на плате сетевого фильтра произошло КЗ - очень хорошее КЗ ireful все 3 фазы,земля и нолик. Плату починили, пришлось менять плату управления.Теперь и прямые снимки тоже такие же. Снимки сделаны без экспонометра, ибо экспонометр глючит - отключается слишком рано и снимки все в "снеге", т.е. не пробитые. Может у кого появятся идеи?
100_12.bmp (1.79 Mb) · 100_25.bmp (1.79 Mb)
 
M-IshevskДата: Понедельник, 04.Июн.2012, 14:37 | Сообщение # 2
Завсегдатай
У вас сообщений: 258
рентгентехник
OFFлайн
Российская Федерация

Ижевск
Вот кстати тестер снятый с экспонометром 100 кВ 0,5 мАс. Да и еще - строители умудрились повредить кабель "Камера-граббер". Пришлось его укорачивать и перепаивать разъем.
1579436.bmp (1.79 Mb)
 
АГИДата: Понедельник, 04.Июн.2012, 15:28 | Сообщение # 3
Техник
У вас сообщений: 382
Инженер
OFFлайн
Российская Федерация

Ставрополь
Quote (M-Ishevsk)
Вот кстати тестер снятый с экспонометром 100 кВ 0,5 мАс

А что за режим дурацкий.
Переведите мАсы на время.
Даже при 100 мА время 0.005с.
Бред какой то.
Поставьте 70 кВ и 8 мАс.
На снимках пациентов по всей видимости тот же бред.
 
Алекс-200Дата: Понедельник, 04.Июн.2012, 21:07 | Сообщение # 4
У вас сообщений: 1197
Инженер
OFFлайн
Российская Федерация

Самара
Quote (АГИ)
что за режим дурацкий
Оценка высказана в грубой форме, но вынужден присоединиться, поскольку 100 кВ в прямом пучке и для камеры и для экспонометра - слишком круто.

Quote (АГИ)
Поставьте 70 кВ и 8 мАс.
Для тестера и этого много будет.
 
M-IshevskДата: Вторник, 05.Июн.2012, 08:35 | Сообщение # 5
Завсегдатай
У вас сообщений: 258
рентгентехник
OFFлайн
Российская Федерация

Ижевск
По поводу тестера - согласен. Но легкие? Режимы выставлены по рекомендациям электроновцев.Снимки до пожара - режимы аналогичные 100 кВ прямые около 10 мАс, боковые около 16 мАс. Рекомендовали откалибротваь трубку - не помогло. При калибровке камеры в tunerxp, например при калибровке фона когда работает одна камера без высокого картинка получается будто бы присыпанная манной крупой. Множество точек на черном фоне. Как должно быть пока не ясно. Поищу другой аппарат и посмотрю какой фон должен при калибровке камеры.

Сообщение отредактировал M-Ishevsk - Вторник, 05.Июн.2012, 08:36
 
sloniksДата: Вторник, 05.Июн.2012, 17:44 | Сообщение # 6
Техник
У вас сообщений: 307
Инженер
OFFлайн
Российская Федерация

Вологда
M-Ishevsk, пожалуйста отправьте файл снимка (из папки bin) тестера...
И еще, если вы отключите все доп. обработки в tunexp, снимок остается такой же?
 
M-IshevskДата: Среда, 06.Июн.2012, 10:15 | Сообщение # 7
Завсегдатай
У вас сообщений: 258
рентгентехник
OFFлайн
Российская Федерация

Ижевск
Насколько я помню tunexp не использует допобработку. Там только 2 вкладки "calibration" и не - помню точно название - для получения снимков. Фильтры отключаются в fluoxp2. Но снимок все равно такой же. Файл для sloniks выложу, как будет время доехать до флюшки.
 
ШкиперДата: Пятница, 20.Июл.2012, 11:16 | Сообщение # 8
Стажер
У вас сообщений: 6
инженер
OFFлайн
Российская Федерация

Санкт-Петербург
В первую очередь проверить работоспособность всех инверторов!
Далее провести калибровку рентгеновской трубки! Если менялась плата управления КАЛИБРОВКА ОБЯЗАТЕЛЬНА!
После калибровки проверить работу экспонометра!
В последнюю очередь проверять в калибровки камеры!


Сообщение отредактировал Шкипер - Пятница, 20.Июл.2012, 11:18
 
M-IshevskДата: Понедельник, 23.Июл.2012, 08:38 | Сообщение # 9
Завсегдатай
У вас сообщений: 258
рентгентехник
OFFлайн
Российская Федерация

Ижевск
Вот вам господа окончание грустной истории - вызвали инженера с завода. Приехал, провозился субботу с воскресеньем и вынес вердикт - проще поменять аппарат, чем этот ремонтировать. Генератор полностью от копоти можно вычистить только в заводских условиях, вылетел АЦП толи на плате граббера, то ли на плате камеры - от того и снимки такие, т.к. при этом уменьшается число градаций серого. Надо менять кабель "Камера-граббер", а может и матрица накрылась и т.д.
[p.s.] Кстати в больнице тут проболтались, что в день когда произошло КЗ на плате сетевого фильтра на подстанции проводились какие-то работы и чего-то там перепутали.
 
  • Страница 1 из 1
  • 1
Поиск:



Статистика Форума
Последние обновления тем: Новые файлы хранилища: Новые участники: Top10 участников:
1. Замена светодиода на ...[Shturman (05.Дек.2025)]
2. Анализатор поля зрени...[SpirituS (04.Дек.2025)]
3. Программный комплекс ...[mqubali (04.Дек.2025)]
4. Кардиорегистратор «ИК...[albano18 (04.Дек.2025)]
5. Thermo Scientific gem...[viggen (03.Дек.2025)]
6. Центрифуга CM-6M ф.El...[Ningen64 (03.Дек.2025)]
7. Дефибриллятор Defi B ...[san-che30 (02.Дек.2025)]
8. Коллиматор Ralco R 22...[seeker (02.Дек.2025)]
9. КУПЛЮ/ПРИМУ в дар при...[seabee (02.Дек.2025)]
1. VIVIX Setup Operation...[12.Окт.2025]
2. GenwareMP[10.Сен.2025]
3. Настройка реагентов M...[20.Авг.2025]
4. Philips HD3-EXP[13.Авг.2025]
5. Рентгеновское оборудо...[08.Авг.2025]
6. VersaMed iVent201 Сер...[13.Фев.2025]
7. Гелпик КРД Ренекс РЦ ...[09.Фев.2025]
8. Офтальмологическая ус...[31.Окт.2024]
9. Cardinal-Health-VELA-...[03.Окт.2024]
10. Service Manual HAMILT...[02.Окт.2024]
1. zef1984[05.Дек.2025]
2. Dvish[05.Дек.2025]
3. Intellect[05.Дек.2025]
4. Romanivanov[05.Дек.2025]
5. igogoigogo[05.Дек.2025]
6. 1rishka[04.Дек.2025]
7. L_V_N[04.Дек.2025]
8. ИвановИИ[04.Дек.2025]
9. Alex_U[04.Дек.2025]
10. Yarikus03[03.Дек.2025]
МастерБаку[583]
Yulana34[177]
Serg74[160]
Dimitrius[129]
naves[122]
РОМУЛ[121]
bektyish[121]
madmac[116]
Алекс-200[114]
begun_a[112]