[ Новые сообщения · Участники · Правила форума · Поиск · RSS ]



  • Страница 1 из 1
  • 1
Модератор форума: renmaster  
Панорамник FONA XPan DG
DicherДата: Среда, 27.Мар.2013, 10:35 | Сообщение # 1
Стажер
У вас сообщений: 34
инженер
OFFлайн
Российская Федерация

Люди помогите!! Есть панорамник FONA XPan DG. Снимки получаются жуть и муть. Вопрос: кто виноват и что делать ? Каким образом довести качество снимка до приемлемого уровня?
 
attacheДата: Среда, 27.Мар.2013, 12:33 | Сообщение # 2
Техник
У вас сообщений: 301
инженер
OFFлайн
Российская Федерация

Донецк-Москва
Снимки стали или были плохими?
Снимок в студию.
Словакам писали?
 
DicherДата: Среда, 27.Мар.2013, 13:43 | Сообщение # 3
Стажер
У вас сообщений: 34
инженер
OFFлайн
Российская Федерация

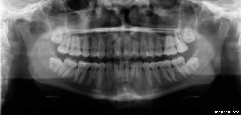
Аппарат новый. Снимок мутный, кость размыта .
 
DicherДата: Среда, 27.Мар.2013, 15:46 | Сообщение # 4
Стажер
У вас сообщений: 34
инженер
OFFлайн
Российская Федерация

Вот снимок
0856084.jpg (44.8 Kb)
 
attacheДата: Среда, 27.Мар.2013, 19:14 | Сообщение # 5
Техник
У вас сообщений: 301
инженер
OFFлайн
Российская Федерация

Донецк-Москва
Хотелось бы картинку с лучшим разрешением.
Если на форум не лезет, то в почту мой ник@bk.ru
Софт какой? Возможные ошибки позиционирования...
Что получается на фантомах?


Сообщение отредактировал attache - Среда, 27.Мар.2013, 19:17
 
МастерБакуДата: Пятница, 29.Мар.2013, 14:00 | Сообщение # 6
У вас сообщений: 11269
инженер
OFFлайн
Российская Федерация

Нижний Новгород
Цитата (attache)
Возможные ошибки позиционирования...
, выбора режима съёмки или голова (у фоны ) дёргается - снимите кожух, осмотрите механику.
 
madmacДата: Суббота, 06.Апр.2013, 23:10 | Сообщение # 7
У вас сообщений: 1293
стоматология и связанное с ней
В сети
Российская Федерация

СПб
разрешение не айс.
но: голова пациента отклонена назад(корни верхних резцов не в фокусе), шейный отдел позвоночника не вертикален. еще похоже, что режим не соответствует габаритам(добавить бы).
Цитата (МастерБаку)
снимите кожух, осмотрите механику

вроде нет смазывания на снимке, но не повредит.
 
МастерБакуДата: Воскресенье, 07.Апр.2013, 16:11 | Сообщение # 8
У вас сообщений: 11269
инженер
OFFлайн
Российская Федерация

Нижний Новгород
эту штуку зажимают передними резцами , если они есть . biggrin
0376844.jpg (18.3 Kb)
 
madmacДата: Воскресенье, 07.Апр.2013, 20:22 | Сообщение # 9
У вас сообщений: 1293
стоматология и связанное с ней
В сети
Российская Федерация

СПб
Цитата (МастерБаку)
эту штуку зажимают передними резцами , если они есть

даже если нет, ватные валики в помощь.
 
pajerikДата: Понедельник, 04.Июн.2018, 19:38 | Сообщение # 10
Участник
У вас сообщений: 84
рентген
OFFлайн
Российская Федерация

Москва
Здравствуйте. Есть у кого сервисный мануал со схемами скинте на почту newcent2001@mail.ru . Спасибо.
 
klianikДата: Среда, 23.Дек.2020, 16:32 | Сообщение # 11
Стажер
У вас сообщений: 9
Ассистент
OFFлайн
Российская Федерация

Екатеринбург
Люди добрые! Выручите пожалуйста, столкнулся с проблемой - ноутбук к которому был подключен данный аппарат, самостоятельно принял решение о сбросе системы до заводских настроек (по словам разумеется администратора клиники), вообщем удалена программа для данного рентгенаппарата и не могу найти ни диска ни чего от этого оборудования, если не сложно поделитесь пожалуйста, или подскажите в какую сторону копать ? можно в личку или на почту klianik@mail.ru, буду крайне признателен!

take it easy

Сообщение отредактировал klianik - Среда, 23.Дек.2020, 16:33
 
moonrainbowДата: Четверг, 24.Дек.2020, 05:42 | Сообщение # 12
Стажер
У вас сообщений: 21
it
OFFлайн
Российская Федерация

Новосибирск
Цитата klianik ()
Люди добрые! Выручите пожалуйста, столкнулся с проблемой - ноутбук к которому был подключен данный аппарат, самостоятельно принял решение о сбросе системы до заводских настроек (по словам разумеется администратора клиники), вообщем удалена программа для данного рентгенаппарата и не могу найти ни диска ни чего от этого оборудования, если не сложно поделитесь пожалуйста, или подскажите в какую сторону копать ? можно в личку или на почту klianik@mail.ru, буду крайне признателен!

В сторону официального сайта фоны или официального дистрибьютера в РФ. Насколько я помню оно у них на сайтах лежит и доступно к свободному скачиванию.
 
taburetka1985Дата: Четверг, 24.Дек.2020, 07:53 | Сообщение # 13
Стажер
У вас сообщений: 4
нет
OFFлайн
Российская Федерация

Ростовская область
https://drive.google.com/drive/folders/0Bx__aJbbK4noVnQtRTJnM3ZHYm8
не оно?
 
  • Страница 1 из 1
  • 1
Поиск:



Статистика Форума
Последние обновления тем: Новые файлы хранилища: Новые участники: Top10 участников:
1. Aution max AX-4030, т...[MasterSkif (08.Дек.2025)]
2. Замена светодиода на ...[Shturman (05.Дек.2025)]
3. Анализатор поля зрени...[SpirituS (04.Дек.2025)]
4. Программный комплекс ...[mqubali (04.Дек.2025)]
5. Кардиорегистратор «ИК...[albano18 (04.Дек.2025)]
6. Thermo Scientific gem...[viggen (03.Дек.2025)]
7. Центрифуга CM-6M ф.El...[Ningen64 (03.Дек.2025)]
8. Дефибриллятор Defi B ...[san-che30 (02.Дек.2025)]
9. Коллиматор Ralco R 22...[seeker (02.Дек.2025)]
1. VIVIX Setup Operation...[12.Окт.2025]
2. GenwareMP[10.Сен.2025]
3. Настройка реагентов M...[20.Авг.2025]
4. Philips HD3-EXP[13.Авг.2025]
5. Рентгеновское оборудо...[08.Авг.2025]
6. VersaMed iVent201 Сер...[13.Фев.2025]
7. Гелпик КРД Ренекс РЦ ...[09.Фев.2025]
8. Офтальмологическая ус...[31.Окт.2024]
9. Cardinal-Health-VELA-...[03.Окт.2024]
10. Service Manual HAMILT...[02.Окт.2024]
1. Nurgazy[12.Дек.2025]
2. alviola[12.Дек.2025]
3. ServicTeh[12.Дек.2025]
4. Maks_M[12.Дек.2025]
5. barguz94[11.Дек.2025]
6. tasin[11.Дек.2025]
7. alabay[11.Дек.2025]
8. tolikhelp[11.Дек.2025]
9. Daswer[10.Дек.2025]
10. Zhenysoglasis[10.Дек.2025]
МастерБаку[583]
Yulana34[177]
Serg74[160]
Dimitrius[129]
naves[122]
РОМУЛ[121]
bektyish[121]
madmac[116]
Алекс-200[114]
begun_a[112]