[ Новые сообщения · Участники · Правила форума · Поиск · RSS ]



  • Страница 1 из 1
  • 1
Модератор форума: STaras, GeorgySmith  
УЗИ SSI-6000 ф.SonoScape (Китай)
bakuonlineДата: Среда, 07.Окт.2015, 18:55 | Сообщение # 1
Стажер
У вас сообщений: 12
техник
OFFлайн
Азербайджан

Baku
Компания SonoScape Medical Corporation (торговый бренд - "SonoScape") была создана в 2001 году на базе государственного предприятия, разработчика и производителя аппаратов УЗИ в Китае.

Добрый день.

Аппарат УЗИ SSI-6000 (2007 г.) не грузится софт после картинки лого. Тестировал жёсткий диск с Live CD файлы, вроде, на месте. До этого был такой случай, лечили тестом. Диск с софтом отсуствует.
 
maratДата: Четверг, 08.Окт.2015, 10:19 | Сообщение # 2
Участник
У вас сообщений: 214
инженер
OFFлайн
Российская Федерация

казань
Пишите представителям, они переустановят, тысяч за 30. Кстати не пробовал, а образы с других машин подходят?
 
AlexiumДата: Четверг, 08.Окт.2015, 21:31 | Сообщение # 3
Инженер медтехник
OFFлайн
Российская Федерация

Саратов
fsck или reiserfsck - в зависимости от того какая файловая система.
 
shtempelДата: Пятница, 09.Окт.2015, 18:10 | Сообщение # 4
У вас сообщений: 289
инженер
OFFлайн
Российская Федерация

medteh
Диск от другой системы не проканает.
Нужна спец флеха и софт от производителя.
 
shtempelДата: Пятница, 13.Ноя.2015, 05:41 | Сообщение # 5
У вас сообщений: 289
инженер
OFFлайн
Российская Федерация

medteh
А как вы создавали загрузоную флешку?
 
suleymanДата: Понедельник, 08.Фев.2016, 14:04 | Сообщение # 6
Стажер
У вас сообщений: 11
Repair Ultrasound Probe
OFFлайн
Польша

Baku
Привет.
Пожалуйста, помогите решить эту проблему.
Программы были удалена из УЗИ SSI-6000 .
Хочу написать программы повторно не получается.
Посмотрите, пожалуйста на прилагаемой фотографии. Temporrary и Lilo невозможно загрузить эти файлы.
Сначала какие файлы я должен загрузить.
Отправляю фотку эту программы.
Заранее спасибо.
3744176.jpg (144.2 Kb) · 6461743.jpg (152.5 Kb)


Сообщение отредактировал suleyman - Понедельник, 08.Фев.2016, 14:22
 
DenfenДата: Среда, 05.Окт.2016, 18:17 | Сообщение # 7
Заглянувший
У вас сообщений: 1
Инженер
OFFлайн
Российская Федерация

Пенза
Добрый день!
Подскажите, где можно скачать дистрибутив программного обеспечения на аппарат SonoScape SSI6000.
 
AlexiumДата: Среда, 05.Окт.2016, 18:22 | Сообщение # 8
Инженер медтехник
OFFлайн
Российская Федерация

Саратов
Цитата Denfen ()
Подскажите, где можно скачать дистрибутив программного обеспечения на аппарат SonoScape SSI6000.
В колхозе для чумачечих.
 
VladykaДата: Понедельник, 16.Ноя.2020, 22:56 | Сообщение # 9
Участник
У вас сообщений: 187
Инженер-электронщик
OFFлайн
Украина

Донецк(ДНР)
Добрый день.
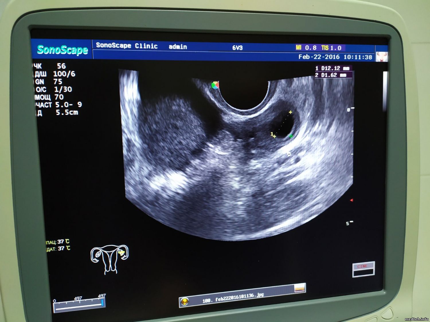
Подскажите, пожалуйста, по аппарату УЗИ SonoScape SSI-6000 - появилась зернистость и ухудшилось качество изображения, пропала резкость контуров. Такой эффект наблюдается на всех датчиках.
Подскажите, с чем связано ухудшение "зрения" аппарата?
Фото в прикреплении.
0712258.jpg (155.1 Kb) · 5140381.jpg (164.0 Kb) · 5570877.jpg (145.8 Kb)


<-------V/'L'@Дb)KA------->
 
VladykaДата: Четверг, 19.Ноя.2020, 21:08 | Сообщение # 10
Участник
У вас сообщений: 187
Инженер-электронщик
OFFлайн
Украина

Донецк(ДНР)
Выходы на блоке питания этого УЗИ= 11,5В и 5,6В это нормально, кто подскажет?
Очень громко "звенит или свистит" сам датчик во время работы.


<-------V/'L'@Дb)KA------->
 
ambroseДата: Четверг, 28.Окт.2021, 23:46 | Сообщение # 11
Участник
У вас сообщений: 162
инженер по радиоэлектронике
OFFлайн
Беларусь

Минск
Привет.
Поломался четвёртый раздел. Сделал rebuild теперь один датчик с362 при подключении вывешивает систему.
Где хранятся файлы отвечающие за распознавание датчиков?
Как это починить?
 
ambroseДата: Вторник, 02.Ноя.2021, 17:27 | Сообщение # 12
Участник
У вас сообщений: 162
инженер по радиоэлектронике
OFFлайн
Беларусь

Минск
Приветствую.

Хранятся файлы датчиков mla... на 4 разделе tony\3gproject\data\probetable
.

На сканере SSI-6000 не работает видеопринтер Sony UP-897MD. При печати чёрное изображение.
Пробовал в настройках сканера поискать настройки принтера, но ничего особого не увидел.
Сам принтер проверил на другом сканере - работает.
Может что-то нужно в настройках принтера изменить или всё же проблема в самом аппарате УЗС ?
 
genemioДата: Суббота, 30.Апр.2022, 12:15 | Сообщение # 13
Стажер
У вас сообщений: 14
Biomedical Engineer
OFFлайн
Турция

Istanbul
Hello.
I have a Sonoscape SSI-6000 model device.
While opening the device, it gives the error in the photos I sent in the attachment.
Percentage freezes in the part that says "Booting the system".
The section where the codes are written freezes in the section that says " * Mounting local filesystems..." and does not progress.
How can i solve this error?
Thanks.

Е-mail: kmustaf011@gmail.com
2106510.jpg (118.4 Kb) · 4634626.jpg (268.2 Kb)


Сообщение отредактировал genemio - Суббота, 30.Апр.2022, 12:19
 
AlexiumДата: Воскресенье, 01.Май.2022, 22:56 | Сообщение # 14
Инженер медтехник
OFFлайн
Российская Федерация

Саратов
Цитата genemio ()
How can i solve this error?
You need check file systems on HDD.
Linux utilites: fsck and reiserfsck
 
vlad1791Дата: Четверг, 03.Ноя.2022, 08:26 | Сообщение # 15
Участник
У вас сообщений: 56
Инженер по мед.обору
OFFлайн
Российская Федерация

Новосибирск
Добрый день.
А может кто знает пароль в BIOS (УЗИ SonoScape SSI-6000)?
 
  • Страница 1 из 1
  • 1
Поиск:



Статистика Форума
Последние обновления тем: Новые файлы хранилища: Новые участники: Top10 участников:
1. Анализатор поля зрени...[SpirituS (04.Дек.2025)]
2. Программный комплекс ...[mqubali (04.Дек.2025)]
3. Кардиорегистратор «ИК...[albano18 (04.Дек.2025)]
4. Thermo Scientific gem...[viggen (03.Дек.2025)]
5. Центрифуга CM-6M ф.El...[Ningen64 (03.Дек.2025)]
6. Дефибриллятор Defi B ...[san-che30 (02.Дек.2025)]
7. Коллиматор Ralco R 22...[seeker (02.Дек.2025)]
8. КУПЛЮ/ПРИМУ в дар при...[seabee (02.Дек.2025)]
9. Центрифуга MiniSpin P...[AntonioPetty (01.Дек.2025)]
1. VIVIX Setup Operation...[12.Окт.2025]
2. GenwareMP[10.Сен.2025]
3. Настройка реагентов M...[20.Авг.2025]
4. Philips HD3-EXP[13.Авг.2025]
5. Рентгеновское оборудо...[08.Авг.2025]
6. VersaMed iVent201 Сер...[13.Фев.2025]
7. Гелпик КРД Ренекс РЦ ...[09.Фев.2025]
8. Офтальмологическая ус...[31.Окт.2024]
9. Cardinal-Health-VELA-...[03.Окт.2024]
10. Service Manual HAMILT...[02.Окт.2024]
1. Intellect[05.Дек.2025]
2. Romanivanov[05.Дек.2025]
3. igogoigogo[05.Дек.2025]
4. 1rishka[04.Дек.2025]
5. L_V_N[04.Дек.2025]
6. ИвановИИ[04.Дек.2025]
7. Alex_U[04.Дек.2025]
8. Yarikus03[03.Дек.2025]
9. EvaLen[03.Дек.2025]
10. dankurets[03.Дек.2025]
МастерБаку[583]
Yulana34[177]
Serg74[160]
Dimitrius[129]
naves[122]
РОМУЛ[121]
bektyish[121]
madmac[116]
Алекс-200[114]
begun_a[112]