[ Новые сообщения · Участники · Правила форума · Поиск · RSS ]



  • Страница 1 из 1
  • 1
Модератор форума: STaras, GeorgySmith  
УЗИ Sonoline 450 ф.Siemens
FAINTДата: Пятница, 03.Дек.2010, 17:15 | Сообщение # 1
Участник
У вас сообщений: 148
Медтехник
OFFлайн
Российская Федерация

Россия
Помогите с описанием настроек основного меню, может у кого есть.
Проблема в том, что с настройками по умолчанию доктору не нравится изображение органов (не чёткие контура). Хотя аппарату 16 лет и может датчики уже не "тянут".
Может кто визуально определит и подскажет по фоткам чем можно поиграть в настройках.

7717768.jpg (187.3 Kb) · 8536017.jpg (208.3 Kb)
 
STarasДата: Пятница, 03.Дек.2010, 18:47 | Сообщение # 2
инженер-электроакустика, ультразвук
OFFлайн
Украина

Ровно
А что за монитор у него?

Чти вело свое – ибо не ты на нём едешь, но оно везёт тебя
 
РОМУЛДата: Пятница, 03.Дек.2010, 19:08 | Сообщение # 3
У вас сообщений: 830
Ультразвук
OFFлайн
Украина

***
Собственно говоря, в аппарате нечего настраивать. Корреляция, частота кадров (frame rate), пост-процесс. Если нет четкости ни на одном из датчиков,- проблемы с аппаратом. Если выбран адекватный пресет, картинка должна быть удовлетворительной. Сколько этих систем знаю, ни разу не слышал подобных жалоб. Единственный момент - картинка на линейке 7,5 МГЦ действительно не очень, ни в какое сравнение с нынешними системами не идет.
А вообще не мешало бы фото картинки увидеть.
 
FAINTДата: Пятница, 03.Дек.2010, 20:59 | Сообщение # 4
Участник
У вас сообщений: 148
Медтехник
OFFлайн
Российская Федерация

Россия
Quote (РОМУЛ)
Если нет четкости ни на одном из датчиков,- проблемы с аппаратом.

Датчиком которым смотрит щитовидку - изображение удволитворительное а
Quote (РОМУЛ)
картинка на линейке 7,5 МГЦ действительно не очень,

тут какраз и проблема.Посмотрите - есть снимки
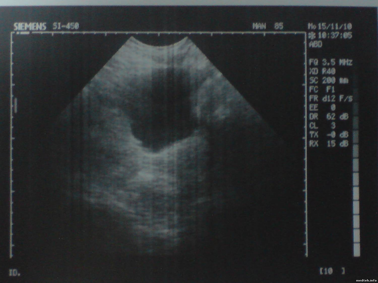
1284362.jpg (112.9 Kb) · 7186455.jpg (91.8 Kb) · 3431615.jpg (125.3 Kb)
 
STarasДата: Пятница, 03.Дек.2010, 23:38 | Сообщение # 5
инженер-электроакустика, ультразвук
OFFлайн
Украина

Ровно
Quote (FAINT)
аппарату 16 лет

Quote (STaras)
А что за монитор у него?
- а все же?
Контраст и яркость на максимуме?


Чти вело свое – ибо не ты на нём едешь, но оно везёт тебя
 
HastalaVistaДата: Суббота, 04.Дек.2010, 01:50 | Сообщение # 6
У вас сообщений: 86
Biomedical engineer
OFFлайн
Азербайджан

Baku
На всех изображениях вертикальные размытые полосы, которые накладываются на полезный сигнал в видеоусилителе монитора - барахлит сам видеоусилитель или его питание. Плюс старый подсевший кинескоп и разрегулировка фокуса.

Давайте не будем., а если будем, то давайте!
 
DenkotДата: Суббота, 04.Дек.2010, 03:48 | Сообщение # 7
OFFлайн
Российская Федерация

.
А вертикальные размытые полосы это на экране или только на снимках - дефект печати?
Похоже все-таки на печать :)


в изгнании из ордена медтехников, а посему на лички и почты ответить не могу
 
HastalaVistaДата: Суббота, 04.Дек.2010, 04:19 | Сообщение # 8
У вас сообщений: 86
Biomedical engineer
OFFлайн
Азербайджан

Baku
Может и печать, неравномерно больно

Давайте не будем., а если будем, то давайте!
 
РОМУЛДата: Воскресенье, 05.Дек.2010, 14:56 | Сообщение # 9
У вас сообщений: 830
Ультразвук
OFFлайн
Украина

***
То, что я вижу,- это снимки снимков с принтера. И это дефекты самого принтера, а никак не аппарата, нужно фото именно с экрана, и с хорошим качеством, без фспышки. Тогда можно будет о чем-то говорить.
 
FAINTДата: Воскресенье, 05.Дек.2010, 21:50 | Сообщение # 10
Участник
У вас сообщений: 148
Медтехник
OFFлайн
Российская Федерация

Россия
Действительно господа, это снимки с принтера.В следующий раз буду делать уточнения по происхождению снимков. В ближайшее время попробую
Quote (РОМУЛ)
нужно фото именно с экрана, и с хорошим качеством, без фспышки.
.Монитор стоит родной и есть еще приделы регулировки по ярк и котрасту.Фокус уже подстраивал -результат ноль. blush
 
HastalaVistaДата: Понедельник, 06.Дек.2010, 08:23 | Сообщение # 11
У вас сообщений: 86
Biomedical engineer
OFFлайн
Азербайджан

Baku
Если у Вас фотоаппарат или фотограф вдруг окажутся дефектными, то возьмите видеосигнал с аппарата на на компьютер с платой захвата или тюнером, заFREEZуйте изображение и сделайте копию экрана. ;)

Давайте не будем., а если будем, то давайте!
 
derwolfДата: Среда, 02.Фев.2011, 00:33 | Сообщение # 12
Участник
У вас сообщений: 94
мастер
OFFлайн
Российская Федерация

Москва
Размытость контуров может давать CL3 (корреляция). Попробуйте уменьшить.
Если кристаллы у мех секторного датчика хорошо сбалансированы- поможет.

Поменяйте батарейку 3в, а то слетит софт. можно на вкл аппарате

 
  • Страница 1 из 1
  • 1
Поиск:



Статистика Форума
Последние обновления тем: Новые файлы хранилища: Новые участники: Top10 участников:
1. Аппараты НЧ электроте...[aleksan (28.Май.2026)]
2. При операции с примен...[susel63 (28.Май.2026)]
3. Техническая поддержка...[UPZ (25.Май.2026)]
4. MOVIPLAN (УниКоРД-МТ)...[SpirituS (24.Май.2026)]
5. Аппарат магнитотерапе...[SpirituS (24.Май.2026)]
6. Стоматустановка K3 ф....[zizeroman (24.Май.2026)]
7. Анализатор гематологи...[fred1 (22.Май.2026)]
8. ЭХВЧ-400 ск-"Ник...[Olegosh (21.Май.2026)]
9. Анализатор биохимичес...[laverse (19.Май.2026)]
1. Apollo EZ service man...[25.Дек.2025]
2. VIVIX Setup Operation...[12.Окт.2025]
3. GenwareMP[10.Сен.2025]
4. Настройка реагентов M...[20.Авг.2025]
5. Philips HD3-EXP[13.Авг.2025]
6. Рентгеновское оборудо...[08.Авг.2025]
7. VersaMed iVent201 Сер...[13.Фев.2025]
8. Гелпик КРД Ренекс РЦ ...[09.Фев.2025]
9. Офтальмологическая ус...[31.Окт.2024]
10. Cardinal-Health-VELA-...[03.Окт.2024]
1. wenderer861[28.Май.2026]
2. karabas1167[28.Май.2026]
3. Paulus[28.Май.2026]
4. hismatulinaKsenia[28.Май.2026]
5. nefrid12[28.Май.2026]
6. roser362[27.Май.2026]
7. Romany4777[27.Май.2026]
8. RVA-59[27.Май.2026]
9. Dream_29[26.Май.2026]
10. 89503843712[26.Май.2026]
МастерБаку[583]
Yulana34[177]
Serg74[160]
Dimitrius[129]
naves[122]
РОМУЛ[121]
bektyish[121]
madmac[116]
Алекс-200[114]
генаf[112]