[ Новые сообщения · Участники · Правила форума · Поиск · RSS ]



  • Страница 1 из 1
  • 1
Модератор форума: GeorgySmith, KAMEROved_2  
МРТ Symphony 1.5Т ф.Siemens
peresvetДата: Пятница, 14.Ноя.2014, 09:42 | Сообщение # 1
Стажер
У вас сообщений: 16
инженер-стажер
OFFлайн
Российская Федерация

Брянск
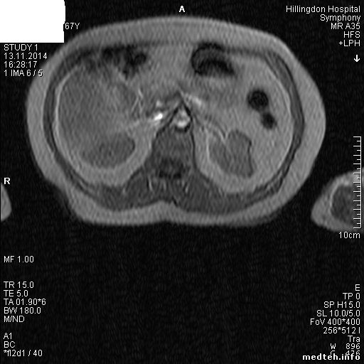
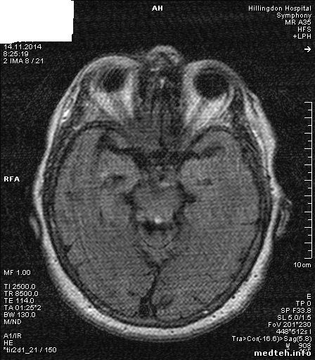
Доброе утро. Прошу помочь с проблемкой: пошли шумы на изображениях сначала на головной катушке, затем и на остальных. Шумы появляются не всегда, иногда проскакивает и нормальное качество. Просмотрел логи, есть ошибки - помогите их идентифицировать.
6666916.jpeg (73.8 Kb) · 7339907.jpeg (74.8 Kb) · 1024633.jpeg (96.5 Kb) · 9738810.jpeg (95.8 Kb) · 3592326.jpg (128.6 Kb) · 8517772.jpg (108.0 Kb)
 
SelvanowДата: Пятница, 14.Ноя.2014, 12:37 | Сообщение # 2
Заглянувший
У вас сообщений: 3
Инженер МРТ
OFFлайн
Российская Федерация

Санкт-Петербург
peresvet, похоже на плохой контакт разъема, информация не со всех каналов. Посмотрите разъем может пины замялись от этого и артефакт через раз появляется.
 
peresvetДата: Пятница, 14.Ноя.2014, 12:46 | Сообщение # 3
Стажер
У вас сообщений: 16
инженер-стажер
OFFлайн
Российская Федерация

Брянск
Пины визуально в порядке, но штекер катушки в разъеме болтается, а планах подразобрать разъемы стола и посмотреть их. В логах еще ошибка появилась, не может ли она пролить свет на эту проблему?
6695625.jpg (197.8 Kb)
 
ElyaДата: Пятница, 14.Ноя.2014, 14:43 | Сообщение # 4
У вас сообщений: 395
инженер
OFFлайн
Российская Федерация

Воронеж
Цитата peresvet ()
В логах еще ошибка появилась, не может ли она пролить свет на эту проблему?


это сообщение о превышении нагрузки на пациента, наверняка выскакивает еще и сообщение во время работы и операторы нажимают ОК ))
 
peresvetДата: Пятница, 14.Ноя.2014, 14:47 | Сообщение # 5
Стажер
У вас сообщений: 16
инженер-стажер
OFFлайн
Российская Федерация

Брянск
Цитата Elya ()
это сообщение о превышении нагрузки на пациента, наверняка выскакивает еще и сообщение во время работы и операторы нажимают ОК ))
А можете ли просветить откуда ноги растут?
 
ElyaДата: Пятница, 14.Ноя.2014, 22:30 | Сообщение # 6
У вас сообщений: 395
инженер
OFFлайн
Российская Федерация

Воронеж
аппарат считает нагрузку от электромагнитного излучения исходя из веса, типа катушки, настроек, если много последовательностей используете подряд то нагрузка может превысить расчетную.. разработчики не хотят, чтоб пациент травму получил из-за нагрева тканей. Справа вроде индикатор нагрузки есть с зеленой полоской.
 
peresvetДата: Воскресенье, 16.Ноя.2014, 22:08 | Сообщение # 7
Стажер
У вас сообщений: 16
инженер-стажер
OFFлайн
Российская Федерация

Брянск
В общем подразобрал я контакты на столе для подключения катушек, прочистил, визуально криминала нет, все собрал, прогнал пару раз на фантоме локалайзер и вылезла новая беда - жалуется на отсутствие +10V RFAS/LCCS. http://www.ganjafoto.ru/2/8/7/2080740.jpg где конкретно этот контакт в реале?
Помогите разобраться!
5860041.jpg (163.2 Kb)


Сообщение отредактировал peresvet - Воскресенье, 16.Ноя.2014, 22:31
 
refrenДата: Понедельник, 17.Ноя.2014, 20:38 | Сообщение # 8
Техник
У вас сообщений: 317
Инженер
OFFлайн
Российская Федерация

Москва
Цитата peresvet ()
вылезла новая беда
, Беда то у вас старая - я же эту ссылку и давал.
Блок LCCS нашли? кабель на разъеме X36 промеряли? 15 В там есть?

Если нет то LCCS тут находится

Мануал у вас есть?
2969339.jpg (156.0 Kb)
 
peresvetДата: Вторник, 18.Ноя.2014, 08:23 | Сообщение # 9
Стажер
У вас сообщений: 16
инженер-стажер
OFFлайн
Российская Федерация

Брянск
В общем ситуация такова. На блоке LCCS есть два разъемы Х11 и Х12 это сборки коаксиальных кабелей которые идут к разъемам на столе 1,2 и 3,4 соответственно. Когда я снимал разъем Х11, то на блоке загорался зеленый светодиод V89 (сигнализирует о наличии +10V), одевал, то пропадал. Самое интересное что поснимав пару раз этот разъем светодиод загорался и можно было работать. К обеду ближе операторы подключили коленную катушку и снова вылезла эта же ошибка про +10V. Погонял разъем, перезагрузился - все пошло. Грешу либо на кабель Х11 (какой part number этой запчасти?), либо на разъем. Разъемы на столе протирал спиртом и визуально все в норме, не думаю что спирт мог привести к недоконтакту. Какую функцию выполняют коаксиальные кабели в этих разъемах, даже когда их отключал, катушка все равно определялась?

Сообщение отредактировал peresvet - Вторник, 18.Ноя.2014, 08:30
 
FedorMДата: Вторник, 18.Ноя.2014, 23:21 | Сообщение # 10
Завсегдатай
У вас сообщений: 271
сервисный инженер МРТ
OFFлайн
Российская Федерация

Воронеж
peresvet, вы хоть те картинки, что постите, читайте. Проблема почти наверняка за разъемом Х11 (сам разъем, кабель, соединение со столом, стол, разъемы на столе).
Прозвоните все коаксиальчики в вашем Х11 на предмет КЗ друг на друга, обрывов и пр. гадостей.
Для дифференцирования "кабельная трасса - дека стола" отстегните кабельную трассу на столе (внизу спереди), может, там что-то повреждено, грязно или не застегнуто.
Если при демонтаже-монтаже стол снимали, то ушатать эти кабели/разъемы вполне могли, как механическими повреждениями, так и тупо грязью. Достаточно не замотать разъемы и случайно напихать в них смазки при просовывании проводов на место, чтобы система весь мозг съела. При подозрении на такое рекомендую мощно промыть все затронутые разъемы.

С другой же стороны, если система регулярно считает, что катушки недоподключены, то возможны также и вопросы с многоногими кабелями с RFCI или же D-SUB на стол. К тому же картинки выглядят, как будто что-то искрит, т.е. вариантов много.
В любом случае, все соединения от LCCS до самих катушечных разъемов включительно надо проверить и вылизать.
 
peresvetДата: Пятница, 21.Ноя.2014, 11:41 | Сообщение # 11
Стажер
У вас сообщений: 16
инженер-стажер
OFFлайн
Российская Федерация

Брянск
Помехи пока пропали и недоконтакт +10V тоже, более подробно на выхах я думаю удастся позаниматься - прозвонить провода.
 
  • Страница 1 из 1
  • 1
Поиск:



Статистика Форума
Последние обновления тем: Новые файлы хранилища: Новые участники: Top10 участников:
1. Установка импульсная ...[юранак (13.Фев.2026)]
2. ИВЛ Hamilton C1 ф.Ham...[masloff (12.Фев.2026)]
3. Выбор принтера для ра...[seabee (12.Фев.2026)]
4. Sonoscanner Orcheo li...[Azatus7 (10.Фев.2026)]
5. рентген.аппарат Prote...[medplus (06.Фев.2026)]
6. ремонт спектрофотоме...[specordm (06.Фев.2026)]
7. Вошер PW-40 ф.Bio-Rad[zennka (06.Фев.2026)]
8. Медицинское лаборатор...[ruha (05.Фев.2026)]
9. MicroAire 5020 гаснет...[Sergei_m (04.Фев.2026)]
1. Apollo EZ service man...[25.Дек.2025]
2. VIVIX Setup Operation...[12.Окт.2025]
3. GenwareMP[10.Сен.2025]
4. Настройка реагентов M...[20.Авг.2025]
5. Philips HD3-EXP[13.Авг.2025]
6. Рентгеновское оборудо...[08.Авг.2025]
7. VersaMed iVent201 Сер...[13.Фев.2025]
8. Гелпик КРД Ренекс РЦ ...[09.Фев.2025]
9. Офтальмологическая ус...[31.Окт.2024]
10. Cardinal-Health-VELA-...[03.Окт.2024]
1. vladimir_r[13.Фев.2026]
2. vlknv[13.Фев.2026]
3. Ormet[13.Фев.2026]
4. Pyrkin_Vladislav[13.Фев.2026]
5. cassius77[13.Фев.2026]
6. Dadasha[12.Фев.2026]
7. Vadka1977[12.Фев.2026]
8. Igoda[12.Фев.2026]
9. svetla[12.Фев.2026]
10. nz911[12.Фев.2026]
МастерБаку[583]
Yulana34[177]
Serg74[160]
Dimitrius[129]
naves[122]
РОМУЛ[121]
bektyish[121]
madmac[116]
Алекс-200[114]
генаf[112]