[ Новые сообщения · Участники · Правила форума · Поиск · RSS ]



  • Страница 1 из 1
  • 1
Модератор форума: GeorgySmith, KAMEROved_2  
Артефакты снимка КТ GE
ErmakДата: Воскресенье, 13.Сен.2015, 15:49 | Сообщение # 1
Участник
У вас сообщений: 75
инженер
OFFлайн
Российская Федерация

Тюмень
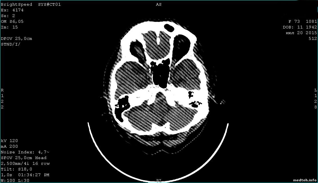
Здравствуйте коллеги!!! Хотел бы поинтересоваться с проблемой КТ GE BrightSpeed Elite 16. На снимке редко но иногда появляются артефакты в виде полос под наклоном (фото прилагаю), и именно когда происходит исследование головной части при наклоне угла гентри примерно 13 градусов. Остальные исследования идут нормально. Склоняюсь, что ковырять надо в настройках протоколов...хотя не уверен. Подскажите что можно еще проверить тк видимых причин нету. И еще, какая должна быть температура помещения когда работает КТ. Спасибо.
6435916.jpg (199.6 Kb)
 
Alex1989Дата: Воскресенье, 13.Сен.2015, 20:43 | Сообщение # 2
Участник
У вас сообщений: 102
рентген
OFFлайн
Российская Федерация

Русь
Высоковольтный пробой напоминает. Под углом диагностику сделайте, Хемит посмотрите
 
bagram05Дата: Понедельник, 14.Сен.2015, 19:05 | Сообщение # 3
Стажер
У вас сообщений: 17
врач КТ
OFFлайн
Российская Федерация

Махачкала
Встречалось такое, но без наклона, вызывалось помехами при передаче готовой картинки с реконструктора. Пробой маловероятен.
 
Alex1989Дата: Понедельник, 14.Сен.2015, 22:01 | Сообщение # 4
Участник
У вас сообщений: 102
рентген
OFFлайн
Российская Федерация

Русь
Спорить не буду, но убедился не один раз, что высоковольтный пробой может влиять на любой узел. Тем более, что возникает только под наклоном. Имхо

Сообщение отредактировал Alex1989 - Понедельник, 14.Сен.2015, 22:03
 
YuriДата: Вторник, 15.Сен.2015, 05:11 | Сообщение # 5
Техник
У вас сообщений: 323
инженер
OFFлайн
Российская Федерация

Россия
не похоже на пробои... при превышении количества спитов высокое отключится. Можно статистику по трубе глянуть на предмет пробоев. Я бы начал с "протыкивания" разъемов на гентри. Ничего не натягивается при наклоне?
 
Alex1989Дата: Вторник, 15.Сен.2015, 07:05 | Сообщение # 6
Участник
У вас сообщений: 102
рентген
OFFлайн
Российская Федерация

Русь
Отключится при превышении, а таких срезов в исследовании может быть всего несколько. И система не будет останавливать сканирование. Топикастер, выложи фото tnt data
 
ErmakДата: Понедельник, 05.Окт.2015, 14:25 | Сообщение # 7
Участник
У вас сообщений: 75
инженер
OFFлайн
Российская Федерация

Тюмень
К сожалению аппарат находится за много километров...Пока делал предварительно, это разъемы посмотрел , и делали исследования под разными наклонами аж до 26 градусов (все хорошо). Уже когда поеду буду диагностику делать. Не знаю влияет ли на это малые сигнальные щетки (Small Signal Brush Tip Kit (Type 1)) длиной примерно 4-5 мм до отметки и силовые (Power Brush Tip Kit) длиной примерно 8 мм до отметки, нужно ли их менять уже...??? Можно ли эксплуатировать (не наклоняя гентри )томограф зная что может выскочить такая ерунда???

Сообщение отредактировал Ermak - Понедельник, 05.Окт.2015, 15:37
 
ErmakДата: Вторник, 03.Ноя.2015, 18:14 | Сообщение # 8
Участник
У вас сообщений: 75
инженер
OFFлайн
Российская Федерация

Тюмень
Пока ехал на место, без меня сделали полную калибровку...Теперь еще одной проблемы стало больше (фото прилагаю). Появилось темное пятно при SFOV head и small, на large все норм...Что за фигня, что сделать??? По поводу артефактов, не уверен но похоже трубка. tnt data выложу попозже
4743121.jpg (166.6 Kb) · 1529266.jpg (163.7 Kb) · 4742732.jpg (168.6 Kb)
 
ErmakДата: Среда, 04.Ноя.2015, 15:28 | Сообщение # 9
Участник
У вас сообщений: 75
инженер
OFFлайн
Российская Федерация

Тюмень
Незнаю как это влияет на артефакты при исследовании пациента с наклоном гентри...оказалось что черный HV наконечник катода трубки
 
stp-mediumДата: Среда, 16.Дек.2015, 13:16 | Сообщение # 10
Заглянувший
У вас сообщений: 1
Инженер стом. оборудования
OFFлайн
Российская Федерация

Нижний Новгород
Yuri, Юрий, здравствуйте, как с Вами связаться есть предложение провести ТО на КТ GE?
 
ErmakДата: Среда, 16.Дек.2015, 18:09 | Сообщение # 11
Участник
У вас сообщений: 75
инженер
OFFлайн
Российская Федерация

Тюмень
Проблема решена, значение каллибровок восстановил с помощью системного диска...Тему можно закрыть, всем спасибо
 
Alex1989Дата: Среда, 16.Дек.2015, 18:29 | Сообщение # 12
Участник
У вас сообщений: 102
рентген
OFFлайн
Российская Федерация

Русь
Проблема решена, значение каллибровок восстановил с помощью системного диска...Странно звучит. Почему нельзя было просто откалибровать?
 
  • Страница 1 из 1
  • 1
Поиск:



Статистика Форума
Последние обновления тем: Новые файлы хранилища: Новые участники: Top10 участников:
1. Помощь в техобслужива...[dzyatel (29.Май.2026)]
2. Аппараты НЧ электроте...[aleksan (28.Май.2026)]
3. При операции с примен...[susel63 (28.Май.2026)]
4. Техническая поддержка...[UPZ (25.Май.2026)]
5. MOVIPLAN (УниКоРД-МТ)...[SpirituS (24.Май.2026)]
6. Аппарат магнитотерапе...[SpirituS (24.Май.2026)]
7. Стоматустановка K3 ф....[zizeroman (24.Май.2026)]
8. Анализатор гематологи...[fred1 (22.Май.2026)]
9. ЭХВЧ-400 ск-"Ник...[Olegosh (21.Май.2026)]
1. Apollo EZ service man...[25.Дек.2025]
2. VIVIX Setup Operation...[12.Окт.2025]
3. GenwareMP[10.Сен.2025]
4. Настройка реагентов M...[20.Авг.2025]
5. Philips HD3-EXP[13.Авг.2025]
6. Рентгеновское оборудо...[08.Авг.2025]
7. VersaMed iVent201 Сер...[13.Фев.2025]
8. Гелпик КРД Ренекс РЦ ...[09.Фев.2025]
9. Офтальмологическая ус...[31.Окт.2024]
10. Cardinal-Health-VELA-...[03.Окт.2024]
1. vapinic[29.Май.2026]
2. wenderer861[28.Май.2026]
3. karabas1167[28.Май.2026]
4. Paulus[28.Май.2026]
5. hismatulinaKsenia[28.Май.2026]
6. nefrid12[28.Май.2026]
7. roser362[27.Май.2026]
8. Romany4777[27.Май.2026]
9. RVA-59[27.Май.2026]
10. Dream_29[26.Май.2026]
МастерБаку[583]
Yulana34[177]
Serg74[160]
Dimitrius[129]
naves[122]
РОМУЛ[121]
bektyish[121]
madmac[116]
Алекс-200[114]
генаf[112]