[ Новые сообщения · Участники · Правила форума · Поиск · RSS ]



  • Страница 1 из 1
  • 1
Модератор форума: GeorgySmith, KAMEROved_2  
Neusoft 0.35T
bart190Дата: Вторник, 23.Фев.2016, 22:35 | Сообщение # 1
Стажер
У вас сообщений: 7
инженер
OFFлайн
Украина

Северодонецк
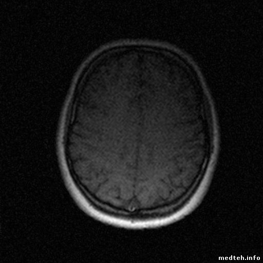
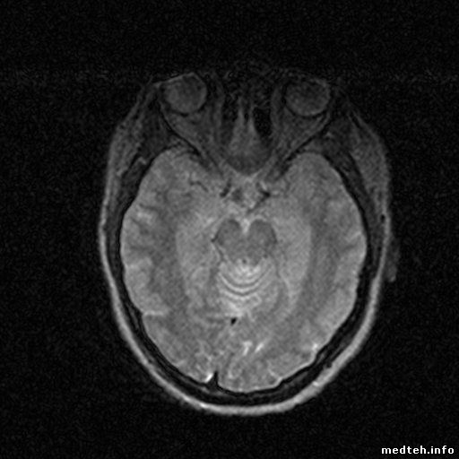
Доброго времени всем, помогите пожалуйста разобраться с чудом китайского мед. прома. Аппарат перестал выдавать читаемую картинку, пропала детализация и контраст +картинка стала шумновата, подскажите в какую сторону смотреть? Мануалов нет, из того что знаю по нему подстраивал offs на градиентах (на картинку не влияет).
7558872.jpg (38.7 Kb) · 5127933.jpg (31.7 Kb)
 
МастерБакуДата: Вторник, 23.Фев.2016, 22:59 | Сообщение # 2
У вас сообщений: 11269
инженер
OFFлайн
Российская Федерация

Нижний Новгород
китайское могут ремонтировать только китайцы.
http://medical.neusoft.com/en/contact/1492/
 
bart190Дата: Вторник, 23.Фев.2016, 23:26 | Сообщение # 3
Стажер
У вас сообщений: 7
инженер
OFFлайн
Украина

Северодонецк
МастерБаку это конечно да, но хотелось бы получить хотя бы варианты почему могут быть такие искажения картинки.
 
lis63Дата: Вторник, 23.Фев.2016, 23:43 | Сообщение # 4
начальник участка
OFFлайн
Российская Федерация

Самара
1. Посмотри соотношение сигнал/шум по каналам. Заходишь под админом (Логин Admin, пароль adm). Ставишь головной фантом в центр магнита. В скан-картах (протоколах сканирования) выбираешь закладку QA-QA head. Дальше выбираешь 3-ю последовательность, правишь ее TR=400, TE=40. Перетягиваешь эту последовательность вверх и сканируешь. Получится 4 снимка. 1-1 канал, 2-й суммарный, 3-2 канал, 4-3 канал. Посмотри соотношение С/Ш. Оценочно его можно посмотреть, выделив область фантома и вне фантома, поделить mean (внутри фантома)/sdev (вне фантома). С/Ш (SNR) должно быть около 200
2. Проверь генератор.Подключи осциллограф к forward и reflected Каков размах сигнала там и там?

ПС Вам не товарищ из Павлодара ставил данную машину?
 
bart190Дата: Вторник, 23.Фев.2016, 23:55 | Сообщение # 5
Стажер
У вас сообщений: 7
инженер
OFFлайн
Украина

Северодонецк
lis63, По поводу зайти под админом это Вы на консоле оператора логин в винде имеете ввиду или в сам скан софт (не видел там приглашения для ввода)?
Аппарат китайцы ставили 8 лет тому назад, где-то год назад начались переменные проблемы с изображением, пол года назад здох 1 из градиентов, на прошлой неделе отремонтировали и поставили, но вот картинка по прежнему плохая.
 
resonansДата: Среда, 24.Фев.2016, 00:30 | Сообщение # 6
Участник
У вас сообщений: 147
Инженер
OFFлайн
Украина

ЮгУкраины
А до ремонта градиента он такую же картинку показывал ?
 
bart190Дата: Среда, 24.Фев.2016, 00:34 | Сообщение # 7
Стажер
У вас сообщений: 7
инженер
OFFлайн
Украина

Северодонецк
resonans, чуть лучше, но не особо
 
lis63Дата: Среда, 24.Фев.2016, 09:51 | Сообщение # 8
начальник участка
OFFлайн
Российская Федерация

Самара
Цитата bart190 ()
По поводу зайти под админом это Вы на консоли оператора логин в винде имеете ввиду или в сам скан софт (не видел там приглашения для ввода)?

В сам скан софт.
А кто к Вам приезжал?
 
lis63Дата: Четверг, 25.Фев.2016, 16:15 | Сообщение # 9
начальник участка
OFFлайн
Российская Федерация

Самара
Каков результат?
 
bart190Дата: Четверг, 25.Фев.2016, 21:43 | Сообщение # 10
Стажер
У вас сообщений: 7
инженер
OFFлайн
Украина

Северодонецк
lis63, китайцы откликнулись, прислали пару тестов, отправил результаты жду от них ответа.
Насчет логина под админом не нашел такой возможности т.к. при запуске софта не просит ничего, в настройках вроде есть добавление пользователей но только как юзер а не инженер (походу из под пользователя не активно).
 
resonansДата: Четверг, 25.Фев.2016, 22:14 | Сообщение # 11
Участник
У вас сообщений: 147
Инженер
OFFлайн
Украина

ЮгУкраины
При начале загрузки Win зажимайте Shift. Можно будет выбрать юзера
 
bart190Дата: Пятница, 26.Фев.2016, 19:09 | Сообщение # 12
Стажер
У вас сообщений: 7
инженер
OFFлайн
Украина

Северодонецк
resonans, спасибо это я в курсе, там в сам софт надо было зайти, уже разобрался.
 
lis63Дата: Воскресенье, 28.Фев.2016, 15:18 | Сообщение # 13
начальник участка
OFFлайн
Российская Федерация

Самара
Рассчитал соотноешние С/Ш? Каково оно? На этом аппарате есть одно слабое место- Rx Interface board. Обычно, из-за него проблемы с низким С/Ш.
 
SorgДата: Пятница, 17.Мар.2017, 12:40 | Сообщение # 14
Заглянувший
У вас сообщений: 1
техник
OFFлайн
Казахстан

Павлодар
Интересно чем дело закончилось?
 
spartanec87Дата: Суббота, 01.Апр.2017, 11:15 | Сообщение # 15
Техник
У вас сообщений: 413
инженер
OFFлайн
Российская Федерация

Питер
Цитата lis63 ()
На этом аппарате есть одно слабое место- Rx Interface board

у корейцев тоже беда с ним))
Такое ощущение, что у него катушка не принимает или не передает нормально весь сигнал
 
bart190Дата: Среда, 03.Май.2017, 17:55 | Сообщение # 16
Стажер
У вас сообщений: 7
инженер
OFFлайн
Украина

Северодонецк
Sorg, Закончилось чисткой разъемов рх цепи, все стало норм, он сейчас проблема вернулась. Перебрал всю цепь, все почистил, ничего не изменилось. Думаю дальше.
 
akmalДата: Четверг, 18.Май.2017, 07:59 | Сообщение # 17
Стажер
У вас сообщений: 12
Инженер медтехник
OFFлайн
Албания

amerika
Dobriy den kollegi,
nujen pomosh naschet generacii licenzii Neusoft Superstar 0.35T.
klient gotov zaplatit.
sps.
 
serj299194Дата: Пятница, 27.Июл.2018, 11:27 | Сообщение # 18
Стажер
У вас сообщений: 4
инженер
OFFлайн
Российская Федерация

москва
день добрый! подскажите инженерный пароль для мрт neusoft 0,23t HQ.
нужно рабочую станцию подцепить, а пароль на скане не знаю.
может кто сталкивался с таким китайцем?
 
akmalДата: Воскресенье, 29.Июл.2018, 19:25 | Сообщение # 19
Стажер
У вас сообщений: 12
Инженер медтехник
OFFлайн
Албания

amerika
Добрый, напишите официалом они вам помогут http://medical.neusoft.com/en/contact/1492/
Было дело установка софта удалено сделали без проблем.
 
serj299194Дата: Четверг, 16.Авг.2018, 18:59 | Сообщение # 20
Стажер
У вас сообщений: 4
инженер
OFFлайн
Российская Федерация

москва
Может кому пригодиться логин admin пароль adm
 
  • Страница 1 из 1
  • 1
Поиск:



Статистика Форума
Последние обновления тем: Новые файлы хранилища: Новые участники: Top10 участников:
1. Замена светодиода на ...[Shturman (05.Дек.2025)]
2. Анализатор поля зрени...[SpirituS (04.Дек.2025)]
3. Программный комплекс ...[mqubali (04.Дек.2025)]
4. Кардиорегистратор «ИК...[albano18 (04.Дек.2025)]
5. Thermo Scientific gem...[viggen (03.Дек.2025)]
6. Центрифуга CM-6M ф.El...[Ningen64 (03.Дек.2025)]
7. Дефибриллятор Defi B ...[san-che30 (02.Дек.2025)]
8. Коллиматор Ralco R 22...[seeker (02.Дек.2025)]
9. КУПЛЮ/ПРИМУ в дар при...[seabee (02.Дек.2025)]
1. VIVIX Setup Operation...[12.Окт.2025]
2. GenwareMP[10.Сен.2025]
3. Настройка реагентов M...[20.Авг.2025]
4. Philips HD3-EXP[13.Авг.2025]
5. Рентгеновское оборудо...[08.Авг.2025]
6. VersaMed iVent201 Сер...[13.Фев.2025]
7. Гелпик КРД Ренекс РЦ ...[09.Фев.2025]
8. Офтальмологическая ус...[31.Окт.2024]
9. Cardinal-Health-VELA-...[03.Окт.2024]
10. Service Manual HAMILT...[02.Окт.2024]
1. zef1984[05.Дек.2025]
2. Dvish[05.Дек.2025]
3. Intellect[05.Дек.2025]
4. Romanivanov[05.Дек.2025]
5. igogoigogo[05.Дек.2025]
6. 1rishka[04.Дек.2025]
7. L_V_N[04.Дек.2025]
8. ИвановИИ[04.Дек.2025]
9. Alex_U[04.Дек.2025]
10. Yarikus03[03.Дек.2025]
МастерБаку[583]
Yulana34[177]
Serg74[160]
Dimitrius[129]
naves[122]
РОМУЛ[121]
bektyish[121]
madmac[116]
Алекс-200[114]
begun_a[112]