[ Новые сообщения · Участники · Правила форума · Поиск · RSS ]



  • Страница 1 из 1
  • 1
Модератор форума: GeorgySmith, KAMEROved_2  
МРТ Harmony ф.Siemens
agenTДата: Суббота, 05.Мар.2016, 00:26 | Сообщение # 1
Стажер
У вас сообщений: 4
стажер
OFFлайн
Российская Федерация

64
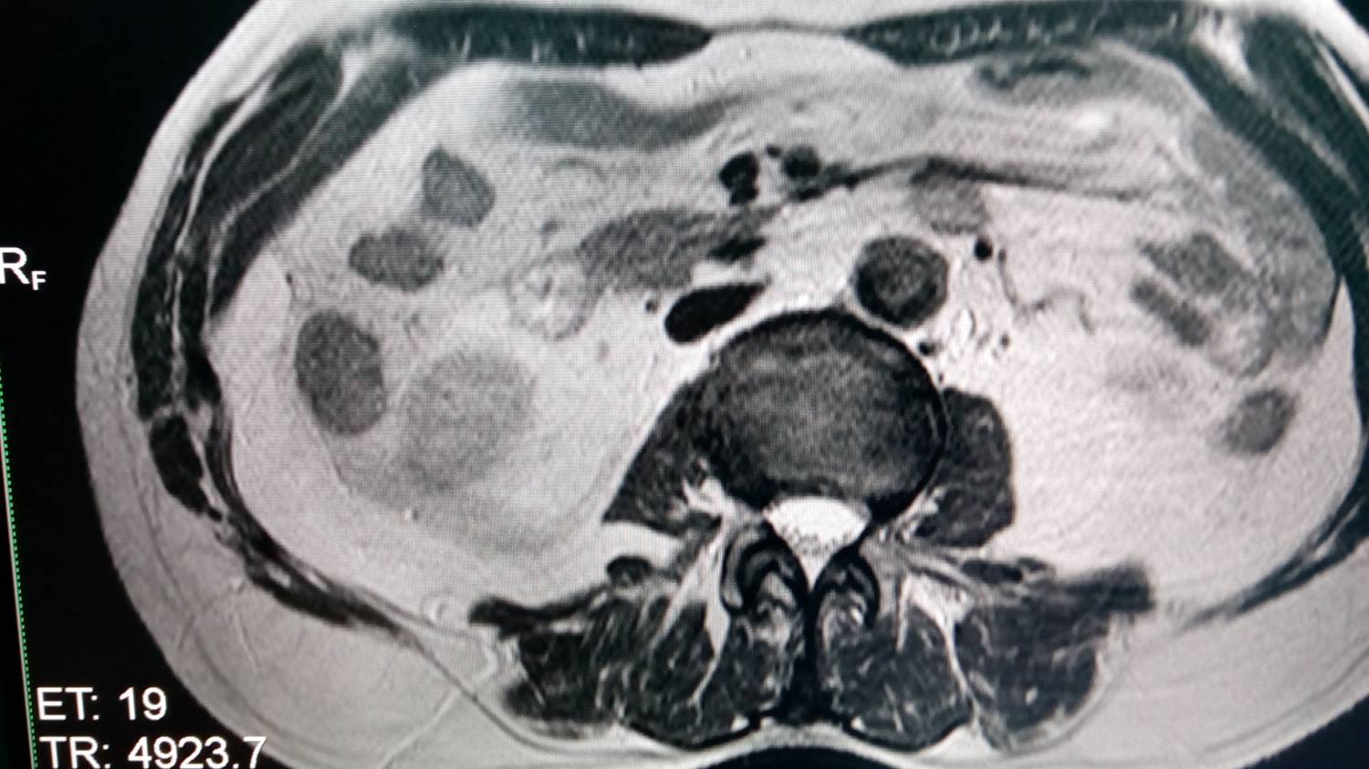
Периодически по непонятной причине на снимках появляются артефакты типа "ковер", снимки прилагаю,причем снимки находятся в одной серии - идет нормальный, следующий с ковром и потом опять нормальный, а также некорректно работает программа подавления жира.

Вопрос - куда копать?
7696509.jpg (135.8 Kb) · 7036744.jpg (154.2 Kb)
 
FedorMДата: Суббота, 05.Мар.2016, 02:31 | Сообщение # 2
Завсегдатай
У вас сообщений: 271
сервисный инженер МРТ
OFFлайн
Российская Федерация

Воронеж
Обычно некорректный FS это кривоватый шим.
Сеточка через картинку чаще всего бывает при interleaved slices, а причин может быть море, чаще всего статика или искрение плохих контактов где-либо.
Залезьте под сервисом, проверьте шим, сделайте RF interference test, без этого дальше копать можно долго и без толку.
 
agenTДата: Суббота, 05.Мар.2016, 16:10 | Сообщение # 3
Стажер
У вас сообщений: 4
стажер
OFFлайн
Российская Федерация

64
Цитата FedorM ()
проверьте шим, сделайте RF interference test

Во-первых, спасибо за ответ!

но...можно ли поподробнее, я к сожалению еще не очень развитый в эту сторону.
RF interference test сегодня поискал в сервис меню - не нашел.....
Проверьте шим для меня немного абстрактный вопрос.
И еще момент - контакты все что попадутся под руку разъединять, чистить, ставить обратно? Или есть уточнения? Два шкафа все-таки перебирать+внизу бочки еще кучу.....и еще не уверен что все можно без последствий дергать.....томографу уже 15 лет как-никак стукнуло, потянешь чего-нить, оно и рассыпется......
 
FedorMДата: Воскресенье, 06.Мар.2016, 11:02 | Сообщение # 4
Завсегдатай
У вас сообщений: 271
сервисный инженер МРТ
OFFлайн
Российская Федерация

Воронеж
agenT, Service - Quality Assurance
Phantom shim check и Spike check (много раз подряд, если у вас помехи не постоянные, иначе может быть не показательно)
Насчет плохих контактов, разумеется, только те, что внутри клетки, и которые могут быть плохими. Т.е. хорошо затянутые коаксиальные кабели трогать незачем, в шкафы лезть без нужды тоже.
А вообще, начните с освещения и электропроводки в клетке. Если сделали на скрутках или лампочки-энергосберегайки поставили, то вполне могут быть помехи такого толка. Особенно красивый "свитер" получается, когда спиральная энергосберегайка начинает от нагрева болтаться в пластиковом корпусе - закачаешься.


Сообщение отредактировал FedorM - Воскресенье, 06.Мар.2016, 11:05
 
agenTДата: Воскресенье, 06.Мар.2016, 14:30 | Сообщение # 5
Стажер
У вас сообщений: 4
стажер
OFFлайн
Российская Федерация

64
Цитата FedorM ()
Service - Quality Assurance
Phantom shim check и Spike check (много раз подряд, если у вас помехи не постоянные, иначе может быть не показательно)

Весьма благодарен, попробую найти и сделать. Как кстати определить что сработало?только ждать появления "ковриков" работе, или в результатах теста он что-то напишет?
Освещения на лампах накаливания, скруток вроде нет, но бывает свет помаргивает...бывает некоторые лампы помаргивают...
 
FedorMДата: Воскресенье, 06.Мар.2016, 18:57 | Сообщение # 6
Завсегдатай
У вас сообщений: 271
сервисный инженер МРТ
OFFлайн
Российская Федерация

Воронеж
agenT, спайк чек ищет именно эти самые искрения - spikes и РЧ помехи - RF interference. Идет несколько секунд, по результатам прогона пишет, нашлось ли что-то, и в каком количестве.
Если воздух очень сухой и бывают прецеденты щелчков статикой, попробуйте протереть антистатиком пластиковые и деревянные поверхности или поставить тазик с водой в укромном углу. От статики тоже возможны такие спайки, если они редкие и относительно слабые.
 
  • Страница 1 из 1
  • 1
Поиск:



Статистика Форума
Последние обновления тем: Новые файлы хранилища: Новые участники: Top10 участников:
1. Стерилизатор паровой ...[SeregkaS (15.Фев.2026)]
2. Установка импульсная ...[юранак (13.Фев.2026)]
3. ИВЛ Hamilton C1 ф.Ham...[masloff (12.Фев.2026)]
4. Выбор принтера для ра...[seabee (12.Фев.2026)]
5. Sonoscanner Orcheo li...[Azatus7 (10.Фев.2026)]
6. рентген.аппарат Prote...[medplus (06.Фев.2026)]
7. ремонт спектрофотоме...[specordm (06.Фев.2026)]
8. Вошер PW-40 ф.Bio-Rad[zennka (06.Фев.2026)]
9. Медицинское лаборатор...[ruha (05.Фев.2026)]
1. Apollo EZ service man...[25.Дек.2025]
2. VIVIX Setup Operation...[12.Окт.2025]
3. GenwareMP[10.Сен.2025]
4. Настройка реагентов M...[20.Авг.2025]
5. Philips HD3-EXP[13.Авг.2025]
6. Рентгеновское оборудо...[08.Авг.2025]
7. VersaMed iVent201 Сер...[13.Фев.2025]
8. Гелпик КРД Ренекс РЦ ...[09.Фев.2025]
9. Офтальмологическая ус...[31.Окт.2024]
10. Cardinal-Health-VELA-...[03.Окт.2024]
1. Vabz[15.Фев.2026]
2. rauanito[15.Фев.2026]
3. AndreiK[15.Фев.2026]
4. vladimir_r[13.Фев.2026]
5. vlknv[13.Фев.2026]
6. Ormet[13.Фев.2026]
7. Pyrkin_Vladislav[13.Фев.2026]
8. cassius77[13.Фев.2026]
9. Dadasha[12.Фев.2026]
10. Vadka1977[12.Фев.2026]
МастерБаку[583]
Yulana34[177]
Serg74[160]
Dimitrius[129]
naves[122]
РОМУЛ[121]
bektyish[121]
madmac[116]
Алекс-200[114]
генаf[112]