[ Новые сообщения · Участники · Правила форума · Поиск · RSS ]



  • Страница 1 из 1
  • 1
Модератор форума: GeorgySmith, KAMEROved_2  
ухудшение изображения на МРТ аппарате
Ningen64Дата: Вторник, 01.Окт.2013, 11:13 | Сообщение # 1
Стажер
У вас сообщений: 39
инженер
OFFлайн
Российская Федерация

-
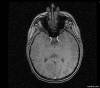
Здравствуйте, на полуторатесловом мрт аппарате замечено ухудшение изображения, особенно на шейной катущке, также постоянные линии (на всех катушках). Какие причины могли привести к такому? Вызывали сервисников, они повыкручивали лампочки, сняли камеру в комнате исследования (сказали что метал влияет на сигнал), погоняли фантом и уехали, ждем ответа.
6338681.jpg (241.4 Kb)
 
Ningen64Дата: Вторник, 01.Окт.2013, 11:13 | Сообщение # 2
Стажер
У вас сообщений: 39
инженер
OFFлайн
Российская Федерация

-
Какое-то время после их уезда картинка была получше но потом опять стала не очень.
 
ДиломатДата: Вторник, 01.Окт.2013, 15:10 | Сообщение # 3
Стажер
У вас сообщений: 36
инженер
OFFлайн
Российская Федерация

Липецк
А после чего так стало, не заметили. Я имею ввиду другие источники помех. Если проверяли, было лучше, потом опять появились. Надо занятся анализом. Может причина во внешних полях.
У меня, например, помехи наводили частотники на двигателях системы подачи свежего воздуха по клинике.
 
ibrohimДата: Четверг, 03.Окт.2013, 00:07 | Сообщение # 4
Стажер
У вас сообщений: 6
Service Engineer
OFFлайн
Таджикистан

Душанбе
Проблема может быть:
1) катушками
2) другая магнитная поля (помехи из посторонний электроники, внутри клетки Фарадея)
3) Фильтр внутри отводов, каналов (проводи соединяющие катушку и другую электронику..... забыл как называется :) )

Вот так вот.........:)

С уважением
Иброхим С.
 
AliecДата: Четверг, 03.Окт.2013, 07:50 | Сообщение # 5
Участник
У вас сообщений: 103
учусь
OFFлайн
Российская Федерация

Пермь
Проверьте изоляцию двери, на всякий случай.
 
FedorMДата: Суббота, 05.Окт.2013, 15:24 | Сообщение # 6
Завсегдатай
У вас сообщений: 271
сервисный инженер МРТ
OFFлайн
Российская Федерация

Воронеж
РЧ-помехи, судя по картинке. Если направление линий совпадает с направлением фазового кодирования - 90% что это оно.
Проверьте и выключите все сложнее лампочки накаливания, что появилось в клетке к моменту ухудшения, проверьте клетку (уплотнители на двери, заземление, гальваноразвязки квенчевой/вентиляшки), проверьте фильтры на панели.
Если не поможет, тогда надо смотреть на качество экранирования и заземления всех импульсных БП в аппарате для начала.
 
lis63Дата: Воскресенье, 06.Окт.2013, 22:58 | Сообщение # 7
начальник участка
OFFлайн
Российская Федерация

Самара
Да,кстати, у Вас лампочки освещения не 220В? Сами провода ( а нулевой проводник, как правило, не разрывается выключателем и не всегда это заводится через фильтр-бокс) являются хорошей антенной и могут вызывать наводку. Проверьте экранирование двери. Делается это с помощью приемника и передатчика сигнала на частоте аппарата по разные стороны стенок.Можно на крайняк обойтись одним приемником и послушать шумы в телефонах, они должны быть примерно одинаковыми во всех точках помещения.
 
omt-74Дата: Вторник, 08.Окт.2013, 19:22 | Сообщение # 8
Завсегдатай
У вас сообщений: 257
инженер
OFFлайн
Российская Федерация

???
Погоняв фантом результата можно не получить. Так как пациент намного больше фантома и не полностью помещается в гентри. Тело пациента служит антеной, поэтому когда лежит пациент полосы есть, а на фантоме нет. Можно и на фантоме получить полосы, если на стол пациента положить медный (чтобы не тянуло) длинный провод, тогда и на фантоме появятся полосы. Также с помошью провода можно локализовать место РЧ-помехи.
 
MAlexeyДата: Воскресенье, 14.Фев.2016, 22:14 | Сообщение # 9
Стажер
У вас сообщений: 25
Стажер
OFFлайн
Российская Федерация

Москва
Решил, что не стоит открывать новую тему по своей проблеме, а продолжу существующую.

Имеется аппарат, стоящий в алюминиевой клетке.

На аппарате не удается получить нормальное изображение.

Вот что имеем:







Больше похоже на 0,3 Тесловый аппарат.

Результат SPT:

Noise от 39 до 59, в выходные 28
Signal от 1207 до 1350

Head gre stab - marginal
Shim - marginal (по отдельным тестам общая картина однородности поля в норме)
Body fse stab - marginal
Body gre stab - marginal
Coherent noise - marginal
Eddy Current Y и Z - marginal (будем править графиди, но в корне ситуацию это не поправит)
Ве остальное - pass

Тест иногда проходит на OK если в отделении выключить лампы в которых стоят китайские драйверы, иногда и это не помогает...

Условия эл. питания и РЧ-фон - территория оффисно-мелкопроизводственная, питание от отдельного вывода подстанции, земля отличная по характеристикам, но общая ...

Клетка смонтирована довольно качественно, листы внахлёст, сшиты немагнитными саморезами, швы надёжно заклеены фольгированной лентой. Дверь и окно с виду сделаны достойно. Вент. отверстия с рч-сеткой (эл. контакта с воздуховодами нет).

Возможные на мой взгляд причины шума на снимках:

1 По питанию и земле.

1.1 В документации GE указано: 5-и проводная схема подключения (3-фазы, нейтраль, земля (TN-S) )

Сейчас подключено так: 3-и фазы + земля (общий контур заземления).
От подстанции приходит: 3-и фазы + нейтраль + земля (тот же контур заземления, только приходит по кабелю с подстанции).
В PDU есть ввод для 3-х фаз и две клеммные пластины PE и N.

Частотники в системе кондиционирования и вентиляции отсутствуют.

Вопрос: Насколько правильно сейчас подключено оборудование? Требуется добавить нейтраль от распределительного щита?
Склоняюсь, что Да, но хочется услышать рекомендацию.

1.2 Земля. Сейчас схема подключения земли следующая:

Земля идёт к общему контуру заземления. Общая на всю территорию комплекса...

1.3 Земля квенч-трубы. История о данном факте умалчивает, и вполне допускаю, что отсутствует, а сама труба (немагнитная) имеет контакт с металлическими элементами здания (арматура, дождевые трубы и пр.). Дожить бы без квенча до майской грозы ... :)

При прозвонке цифровым мультиметром между корпусом магнита и трубой обнаруживается эл. связь, но контакт "моросящий". Если померить в Омах, то он изменяется от 1,7 до 4,5 Ом.

С клеткой у трубы видимого контакта нет, но звонится так же "моросяще" , даже когда откидываю землю от клетки.... Похоже на то, что соприкасается с магнитом через вент-адаптер.

В документации GE не нашёл информации по тому как заземлить квенч-трубу и должен ли быть эл. контакт с корпусом магнита или клеткой Фарадея.

1.4 Фильтры панели. Как проверить даже и не знаю?

1.5 Контакты и соединения в силовой, РЧ части, а так же в сети управления. Проверил ВСЁ - ок.

1.6 Освещение в клетке. Выполнено лампами накаливания, ввод через фильтры.

Похоже у меня или клетка выполняет роль антенны или что то внутри неё выполняет эту роль.

Вопросы по поводу монтажа и подключения лучше не задавайте - всё досталось в таком виде как есть.

Подскажите пожалуйста, как говорится кто чем может.
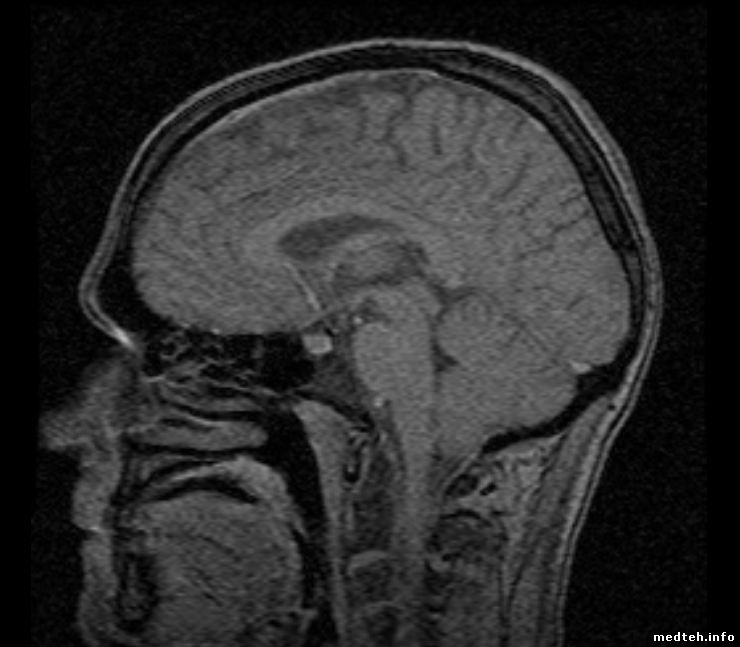
8319532.jpg (57.6 Kb) · 6484475.jpg (59.4 Kb) · 9377589.jpg (61.4 Kb) · 9481969.jpg (45.3 Kb)


Сообщение отредактировал MAlexey - Понедельник, 15.Фев.2016, 13:27
 
KVIДата: Понедельник, 15.Фев.2016, 15:08 | Сообщение # 10
Техник
У вас сообщений: 396
МРТ
OFFлайн
Российская Федерация

Елец
MAlexey, Ну а вы как думаете? Если в выходные или при выключении китайских балластов соотношение сигнал/шум улучшается, то явно помеха лезет снаружи. Имеем немного вариантов:
1. Либо клетка "сифонит" (некачественный монтаж).
2. Какой-либо провод, входящий в клетку является антенной. Опять приходим либо к косячному монтажу, либо неисправному фильтру фильтр-боксе (фильтр плате или как она называется у GE) - приходилось и с таким сталкиваться.
3. Проверять правильность заземления. Про GE не скажу (не доводилось сталкиваться), а по Филипсу - клетка заземляется в одной точке, бочка землится тоже в одной точке приличным сечением провода, приходящим на один болт в фильтр-боксе. Квенч-труба электрически развязана от бочки.
Длина части квенч трубы, соединённой в клеткой рассчитывается по формуле: L>4D, где L - длина трубы, D, соответственно, диаметр (взято из мануала по Сименсу).


-=Vladimir=-

Сообщение отредактировал KVI - Понедельник, 15.Фев.2016, 21:54
 
AliecДата: Понедельник, 15.Фев.2016, 16:17 | Сообщение # 11
Участник
У вас сообщений: 103
учусь
OFFлайн
Российская Федерация

Пермь
Была похожая ситуация, приходил электрик, вкрутил энергосберегайку в освещении РЧ кабины
 
KVIДата: Понедельник, 15.Фев.2016, 18:29 | Сообщение # 12
Техник
У вас сообщений: 396
МРТ
OFFлайн
Российская Федерация

Елец
Aliec, Читайте внимательно - пункт 1.6 у MAlexey,

-=Vladimir=-
 
MAlexeyДата: Понедельник, 15.Фев.2016, 20:30 | Сообщение # 13
Стажер
У вас сообщений: 25
Стажер
OFFлайн
Российская Федерация

Москва
Цитата KVI ()
1. Либо клетка "сифонит" (некачественный монтаж).
2. Какой-либо провод, входящий в клетку является антенной. Опять приходим либо к косячному монтажу, либо неисправному фильтру фильтр-боксе (фильтр плате или как она называется у GE) - приходилось и с таким сталкиваться.


Как проверить 1 и 2 ?
 
KVIДата: Понедельник, 15.Фев.2016, 21:52 | Сообщение # 14
Техник
У вас сообщений: 396
МРТ
OFFлайн
Российская Федерация

Елец
Про GE сказать не могу - не пересекался. А у Филипса есть "Спуриус" тест, когда берётся малая кольцевая катушка (которая является поисковой антенной), подключается через удлинитель и запускается тестовая программа. Переносим эту "антенну" в разные части клетки и анализируем картину на мониторе. Все эти манипуляции производятся из-под сервис пароля (приходится контактировать с официалами).
В природе существует комплект для проверки качества клетки, состоящий из генератора, который находится снаружи клетки и спектроанализатора с направленной антенной соответственно внутри.
Но я такую аппаратуру живьём не видел.
Дохлые фильтры находил отключая по очереди провода от них и прозванивая тестером, измеряющим ёмкость. Обычно выходят из строя конденсаторы на корпус ("отгорают") .
В моём случае это были фильтры по питанию холодной головы и розеток внутри клетки.


-=Vladimir=-

Сообщение отредактировал KVI - Понедельник, 15.Фев.2016, 21:53
 
MAlexeyДата: Понедельник, 15.Фев.2016, 22:11 | Сообщение # 15
Стажер
У вас сообщений: 25
Стажер
OFFлайн
Российская Федерация

Москва
Цитата KVI ()
В природе существует комплект для проверки качества клетки, состоящий из генератора, который находится снаружи клетки и спектроанализатора с направленной антенной соответственно внутри.


Может кто подскажет что за аппаратики и где купить?

Стоит купить, потому как не раз пригодятся.
 
LeontevДата: Вторник, 16.Фев.2016, 12:31 | Сообщение # 16
Участник
У вас сообщений: 91
Инженер
OFFлайн
Российская Федерация

Казань
Цитата MAlexey ()
Может кто подскажет что за аппаратики и где купить?

в гуле первая ссылка по " Test Equipment RF Leak Detector Attenuation Meter MF-130D "
но вот купить, не знаю....

с освещением в туннеля ни чего не делали? отключить его на время.

А точно это RF помеха?, как правило на картинке идут явные полосы, а тут сплошной муар.

Цитата KVI ()
Дохлые фильтры

а можно картинку скинуть, посмотреть при обгаре кондюков,
у меня конденсатор обгорал в градиентом фильтре, на картинке был артефакт виде прострелов, причем менялся в зависимости на какую ось заводился (z,y)
 
resonansДата: Вторник, 16.Фев.2016, 15:26 | Сообщение # 17
Участник
У вас сообщений: 147
Инженер
OFFлайн
Украина

ЮгУкраины
Цитата MAlexey ()
Может кто подскажет что за аппаратики и где купить?

1)На ближайшем рынке, называется FM приемник. Вне клетки настраивайтесь на самую мощную станцию, заходите во внутрь закрываете дверь.
В идеале сигнал пропадает совсем, крутим настройку убеждаемся что так и есть. В таком случае клетка УЖЕ подавление 40..50дб
Не так- ищите косяки в монтаже. Уменьшаем размер антенны до минимального (сигнал на фоне шума) и подносим к окну, двери, фильтру, проводам внутри клетки, квенч трубе.
Фирменный (повереный) комплект "апаратиков" c антенами стоит несколько кило$денег, Вам оно не надо.

2) Земля клетки должна подключатся в фильтр боксе. Все остальное должно быть изолировано. Вентиляция, квенч труба и т.п.
Отключенная от земли клетка не должна звонится вообще никуда.

3) Про лампочки сберегайки и светодиодные уже писали.

Цитата MAlexey ()
сшиты немагнитными саморезами, швы надёжно заклеены фольгированной лентой. Дверь и окно с виду сделаны достойно


Не говорит ниочем. Фото двери(с косяком) в студию. А окно я тоже видел с сеткой, однако после вскрытия оказалось что по периметру окно обмотано изолентой, чтобы не было контакта с клеткой (!!!). Часто говномонтажники не знают что они вообще делают.


Сообщение отредактировал resonans - Вторник, 16.Фев.2016, 15:34
 
KVIДата: Вторник, 16.Фев.2016, 15:30 | Сообщение # 18
Техник
У вас сообщений: 396
МРТ
OFFлайн
Российская Федерация

Елец
Цитата Leontev ()
а можно картинку скинуть, посмотреть при обгаре кондюков,

А снаружи, ничем не отличаются - только измерением параметров выявил.

Цитата Leontev ()
у меня конденсатор обгорал в градиентом фильтре, на картинке был артефакт виде прострелов, причем менялся в зависимости на какую ось заводился (z,y)

Так это у тебя спайк был - то есть искровая помеха(есть контакт/нет контакта) при работе градиентов.
А у меня полностью обрыв конденсаторов. Осталась только индуктивность. И этот провод (в моем случае 220В питания мотора хол.головы) становился антенной, идущей из технической комнаты, где всяких помех "мама не горюй".


-=Vladimir=-
 
dunakanДата: Вторник, 16.Фев.2016, 15:33 | Сообщение # 19
Техник
У вас сообщений: 330
программист
OFFлайн
Российская Федерация

Ростов
Это не рф,
стабилити тест или его аналог проходит?
Нет дивиации по частоте?
Если есть возможность селайте шим.
 
KVIДата: Вторник, 16.Фев.2016, 15:39 | Сообщение # 20
Техник
У вас сообщений: 396
МРТ
OFFлайн
Российская Федерация

Елец
dunakan, Тогда чем обусловлено улучшение сигнал/шум в выходные и выключение электронных балластов светильников?

Кстати. Вот нашёл документ от Филипса по требованиям к клетке Фарадея: http://www.philips.ru/b-dam.....0T.pdf


-=Vladimir=-
 
dunakanДата: Вторник, 16.Фев.2016, 15:43 | Сообщение # 21
Техник
У вас сообщений: 330
программист
OFFлайн
Российская Федерация

Ростов
Фото, ухудшения не увидели, результаты тестов - то что лучше в выходные, это может быть как совпадением так и присутствующим но не главным фактором.

ПО моему опыты это похоже на не гомогенность поля, не стабильную работу градиентов.
И если есть возможность , то все же шимминг.
 
KVIДата: Вторник, 16.Фев.2016, 15:49 | Сообщение # 22
Техник
У вас сообщений: 396
МРТ
OFFлайн
Российская Федерация

Елец
А у GE есть тест гомогенности типа филипсовского ЧекШима?

-=Vladimir=-
 
dunakanДата: Вторник, 16.Фев.2016, 15:54 | Сообщение # 23
Техник
У вас сообщений: 330
программист
OFFлайн
Российская Федерация

Ростов
Shim - marginal
(по отдельным тестам общая картина однородности поля в норме) вот это утверждение и вызывает вопрос.
Есть четкий инструментальный метод, который укажет направление куда копать.

Автор - не было ли изменений магнитной железной обстановки в окружение магнита?


Сообщение отредактировал dunakan - Вторник, 16.Фев.2016, 15:55
 
MAlexeyДата: Вторник, 16.Фев.2016, 15:58 | Сообщение # 24
Стажер
У вас сообщений: 25
Стажер
OFFлайн
Российская Федерация

Москва
Радио на частоте 87,5МГц должно принимать в клетке?
 
resonansДата: Вторник, 16.Фев.2016, 16:18 | Сообщение # 25
Участник
У вас сообщений: 147
Инженер
OFFлайн
Украина

ЮгУкраины
Нет конечно. В рабочей клетке FM диапазон д.б. "чистым". Хорошо принимает , или с помехами (шумом) ?

Сообщение отредактировал resonans - Вторник, 16.Фев.2016, 16:21
 
MAlexeyДата: Вторник, 16.Фев.2016, 16:57 | Сообщение # 26
Стажер
У вас сообщений: 25
Стажер
OFFлайн
Российская Федерация

Москва
Хорошо берет. Местами шипит.
 
resonansДата: Вторник, 16.Фев.2016, 17:56 | Сообщение # 27
Участник
У вас сообщений: 147
Инженер
OFFлайн
Украина

ЮгУкраины
Ну так клетка не держит нифига, уменьшите антенну, и ходите по клетке,- я выше все описал. Где сигнал громче\перестает шипеть - там утечка\щель, провод с наводкой из вне.
 
LeontevДата: Вторник, 16.Фев.2016, 18:19 | Сообщение # 28
Участник
У вас сообщений: 91
Инженер
OFFлайн
Российская Федерация

Казань
Цитата dunakan ()
ПО моему опыты это похоже на не гомогенность поля, не стабильную работу градиентов.
И если есть возможность , то все же шимминг.

гомогенность - в этом случае должна быть потеря геометрии?, а шарик нормальный.
градиенты - ну, наверное, эхо было бы

В литературе встречается вот такое название этого артефакта- Random Noise, низкий SNR (Signal to Noise Ratio) как и пишет автор, это конечно тоже шум, но не врятли из за внешних RF шумов. Правда тут надо знать магнит запускается или такая проблема появилась в процессе эксплуатации, может действительно проблема наслоилась на не качественный монтаж клетки Фарадея, земли, да чего угодно (земля нужна отдельная, а у них аж на весь комплекс одна, что там по ней идет …).

Я б посмотрел бы по внимательнее еще раз приемник и передатчик RF, укладку кабеля, перегибы и заломы кабеля, качество соединений.

А смотрели качество заземление градиентной катушки? Вспомнил, была проблема, не докрутили при монтаже землю, было похоже.


Сообщение отредактировал Leontev - Вторник, 16.Фев.2016, 18:41
 
MAlexeyДата: Вторник, 16.Фев.2016, 21:52 | Сообщение # 29
Стажер
У вас сообщений: 25
Стажер
OFFлайн
Российская Федерация

Москва
Решили сделать замеры по клетки и земле. Без этого число возможных причин устремилось к бесконечности.

RF-ную часть до измерений клетки на ослабление копать даже боюсь. Да и с фантомами скан чёткий получается, по тиджи RF не задирает, геометрия шарика в норме, кривоватый шимминг без напрягов сглаживается за счёт градиентов.

Провода, кабели и заземление градиентной катушки смотрел своими глазами еще при прокладке. Поэтому все проблемные провода и оптика уже заменены.
 
resonansДата: Вторник, 16.Фев.2016, 22:07 | Сообщение # 30
Участник
У вас сообщений: 147
Инженер
OFFлайн
Украина

ЮгУкраины
Если китайский приемник ловит, какое там ослабление :). Не лезьте в сам аппарат пока, добейтесь максимального подавления. Если получите хотя бы 60дБ- это уже весьма неплохо (в бумажках пишут 100дб, но на заборе тоже пишут)
 
ElyaДата: Среда, 17.Фев.2016, 08:48 | Сообщение # 31
У вас сообщений: 395
инженер
OFFлайн
Российская Федерация

Воронеж
Цитата Leontev ()
как и пишет автор, это конечно тоже шум, но не врятли из за внешних RF шумов.


это верно, но вот я видел такие же точно шумы, когда доблестные холодильщики пригвоздили выход с кассетника к клетке Фарадея напрямую, без сетки и изолирующей проставки. Широкодиапазонная РФ-помеха как раз и будет без явных полос.
 
LeontevДата: Четверг, 18.Фев.2016, 13:13 | Сообщение # 32
Участник
У вас сообщений: 91
Инженер
OFFлайн
Российская Федерация

Казань
Цитата resonans ()
Если китайский приемник ловит, какое там ослабление

Интересно а вот такой приборчик может помочь, вроде в диапазоне
http://www.exp-tech.de/rf-explorer-3g-combo


Сообщение отредактировал Leontev - Четверг, 18.Фев.2016, 15:53
 
resonansДата: Пятница, 19.Фев.2016, 10:47 | Сообщение # 33
Участник
У вас сообщений: 147
Инженер
OFFлайн
Украина

ЮгУкраины
Заявленное чутье -110дБм, что для такой мыльницы не плохо. Но как оно на самом деле будет, непонятно. Хотя и деньги не такие уж и большие.
 
  • Страница 1 из 1
  • 1
Поиск:



Статистика Форума
Последние обновления тем: Новые файлы хранилища: Новые участники: Top10 участников:
1. Замена светодиода на ...[Shturman (05.Дек.2025)]
2. Анализатор поля зрени...[SpirituS (04.Дек.2025)]
3. Программный комплекс ...[mqubali (04.Дек.2025)]
4. Кардиорегистратор «ИК...[albano18 (04.Дек.2025)]
5. Thermo Scientific gem...[viggen (03.Дек.2025)]
6. Центрифуга CM-6M ф.El...[Ningen64 (03.Дек.2025)]
7. Дефибриллятор Defi B ...[san-che30 (02.Дек.2025)]
8. Коллиматор Ralco R 22...[seeker (02.Дек.2025)]
9. КУПЛЮ/ПРИМУ в дар при...[seabee (02.Дек.2025)]
1. VIVIX Setup Operation...[12.Окт.2025]
2. GenwareMP[10.Сен.2025]
3. Настройка реагентов M...[20.Авг.2025]
4. Philips HD3-EXP[13.Авг.2025]
5. Рентгеновское оборудо...[08.Авг.2025]
6. VersaMed iVent201 Сер...[13.Фев.2025]
7. Гелпик КРД Ренекс РЦ ...[09.Фев.2025]
8. Офтальмологическая ус...[31.Окт.2024]
9. Cardinal-Health-VELA-...[03.Окт.2024]
10. Service Manual HAMILT...[02.Окт.2024]
1. Dvish[05.Дек.2025]
2. Intellect[05.Дек.2025]
3. Romanivanov[05.Дек.2025]
4. igogoigogo[05.Дек.2025]
5. 1rishka[04.Дек.2025]
6. L_V_N[04.Дек.2025]
7. ИвановИИ[04.Дек.2025]
8. Alex_U[04.Дек.2025]
9. Yarikus03[03.Дек.2025]
10. EvaLen[03.Дек.2025]
МастерБаку[583]
Yulana34[177]
Serg74[160]
Dimitrius[129]
naves[122]
РОМУЛ[121]
bektyish[121]
madmac[116]
Алекс-200[114]
begun_a[112]