[ Новые сообщения · Участники · Правила форума · Поиск · RSS ]



  • Страница 1 из 1
  • 1
Модератор форума: renmaster  
Ортопантомограф Orthophos XG 3 ф.Sirona Dental Systems GmbH
ursa_majorisДата: Пятница, 11.Янв.2013, 04:14 | Сообщение # 1
Стажер
У вас сообщений: 13
Инженер
OFFлайн
Российская Федерация

Санкт-Петербург
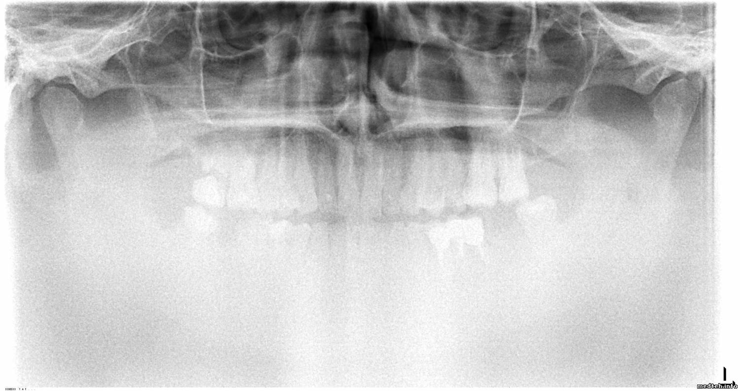
Ортопантомографу Orthophos XG 3 немецкой компании Sirona Dental Systems GmbH около 3-х лет, сделано 2700 снимков.
Вчера вдруг стал выдавать снимки с низким контрастом, в нижней части снимка вообще ничего не разобрать.
Ошибок никаких не выдаёт.
Что могло произойти?
Может кто сервис-мануалом богат и схемами?
.

Есть тема: "Ортопантомограф Orthophos XG ф.Sirona Dental Systems GmbH (Проблемы и их решения)".
1809328.jpg (135.5 Kb) · 8634910.jpg (76.1 Kb)


Сообщение отредактировал ursa_majoris - Среда, 23.Янв.2013, 02:34
 
yuri-plДата: Пятница, 11.Янв.2013, 06:53 | Сообщение # 2
Стажер
У вас сообщений: 22
Медтехник
OFFлайн
Российская Федерация

Краснодар
Помочь ничем не могу, а может Вы мне сможете?
Если плата такая же у Вас подскажите детальку. Пожалуйста.
0507277.jpg (49.7 Kb)
 
Алекс-200Дата: Пятница, 11.Янв.2013, 16:25 | Сообщение # 3
У вас сообщений: 1197
Инженер
OFFлайн
Российская Федерация

Самара
Цитата (ursa_majoris)
Что могло произойти?
Для начала:
- фотохимия, время проявления, температура растворов.
- плёнка.
- усиливающие экраны.
 
МастерБакуДата: Пятница, 11.Янв.2013, 19:00 | Сообщение # 4
У вас сообщений: 11269
инженер
OFFлайн
Российская Федерация

Нижний Новгород
Плёнка (попроси вставить наоборот), дефекты в железе - визуально-мануальный осмотр, если проявочная машина - сними крышку и смотри что и как она делает.
Думаю, лампа и электроника тут ни при чём. повезло ! biggrin
А что с ножницами сделали? shok
 
генаfДата: Суббота, 12.Янв.2013, 17:24 | Сообщение # 5
У вас сообщений: 611
медтехникl
OFFлайн
Российская Федерация

Цитата ursa_majoris ()
Может кто сервис-мануалом богат и схемами?
Если актуально - пиши в личку.
 
Алекс-200Дата: Суббота, 12.Янв.2013, 17:44 | Сообщение # 6
У вас сообщений: 1197
Инженер
OFFлайн
Российская Федерация

Самара
Цитата (ursa_majoris)
Что могло произойти?
Неисправность маловероятна, но внимательно просмотрите промежуток между выходным окном излучателя и приёмником - нет ли там детали, фильтрующей излучение дополнительно к штатному фильтру.
По снимкам нельзя судить о разрешении, поэтому о провороте трубки говорить рано, хотя неравномерность пучка наводит на такие мысли.
 
attacheДата: Суббота, 12.Янв.2013, 21:58 | Сообщение # 7
Техник
У вас сообщений: 301
инженер
OFFлайн
Российская Федерация

Донецк-Москва
Посмотреть с помощью куска рентгеновского экрана в затемненном помещении равномерность пучка.
Если излучение одинаковое сверху и снизу, то возможно перекосили коллиматор.

Цитата Алекс-200 ()
Для начала:
- фотохимия, время проявления, температура растворов.
- плёнка.
- усиливающие экраны.
Цитата МастерБаку ()
плёнка (попроси вставить наоборот), дефекты в железе - визуально-мануальный осмотр, если проявочная машина - сними крышку и смотри что и как она делает. Думаю, лампа и электроника тут ни причём. Повезло !
Мимо! rofl
Нет там никакой плёнки. ORTHOPHOS XG 3


Сообщение отредактировал attache - Суббота, 12.Янв.2013, 22:09
 
МастерБакуДата: Суббота, 12.Янв.2013, 23:09 | Сообщение # 8
У вас сообщений: 11269
инженер
OFFлайн
Российская Федерация

Нижний Новгород
Цитата attache ()
Мимо!
Нет там никакой плёнки.
attache, признаю. Бывает. Но если была, то я прав. А так можно сканер перевернуть shok Осторожненько. biggrin
 
генаfДата: Понедельник, 14.Янв.2013, 16:46 | Сообщение # 9
У вас сообщений: 611
медтехникl
OFFлайн
Российская Федерация

ursa_majoris, схемы: http://www.medteh.info/load/84-1-0-1928

Дополнение:
- доки: http://www.medteh.info/load/84-1-0-1929

Удачи!


Сообщение отредактировал генаf - Понедельник, 14.Янв.2013, 17:06
 
ursa_majorisДата: Среда, 23.Янв.2013, 02:33 | Сообщение # 10
Стажер
У вас сообщений: 13
Инженер
OFFлайн
Российская Федерация

Санкт-Петербург
Совместными усилиями нашли причину - была сдвинута приёмная часть (не знаю точного термина) Кто-то из пациентов, похоже, приложился.
Всем спасибо за советы, а особенно генаf и титов за мануалы!
 
МастерБакуДата: Среда, 23.Янв.2013, 09:34 | Сообщение # 11
У вас сообщений: 11269
инженер
OFFлайн
Российская Федерация

Нижний Новгород
Цитата ursa_majoris ()
нашли причину - была сдвинута приемная часть
Цитата МастерБаку ()
дефекты в железе - визуально-мануальный осмотр
Цитата МастерБаку ()
думаю, лампа и электроника тут ни причём

biggrin bye2
 
attacheДата: Среда, 23.Янв.2013, 11:59 | Сообщение # 12
Техник
У вас сообщений: 301
инженер
OFFлайн
Российская Федерация

Донецк-Москва
Цитата attache ()
возможно перекосили коллиматор
Что, собственно, и говорил.
 
МастерБакуДата: Вторник, 05.Фев.2013, 16:59 | Сообщение # 13
У вас сообщений: 11269
инженер
OFFлайн
Российская Федерация

Нижний Новгород
Подобное, с ним же. Вчера работал, сегодня - нет снимка. Аппарат не мой. Захожу, вижу копошится коллега. Нет снимка. Включение, тестирование (как будто) - готов. Снимаем - нет. shok
Стал осматривать - сдвинута приёмная часть, голубая кнопка запала. Давеча был электрик, делал вытяжку. Видать
Цитата ursa_majoris ()
похоже, приложился
. Короче, выключил, вставил - ноль! Отсоединил, включил - ему до лампочки - есть блок, нет блока. Никакой ошибки на дисплее. Вылечил так. Выключил комп, подсоединил, вкл панорамник. После загрузки вкл комп, активировал программу, потыкал табло панорамника, сделал снимок фантома (в комплекте) - работает! И так три раза для верности - работает!
Вопрос: эта штука - дура совсем тупая? Ей глаза выдрали, а она и не поняла? Не ожидал такого от SIRONы ireful rofl
7001323.jpg (71.4 Kb)
 
madmacДата: Понедельник, 25.Мар.2013, 21:12 | Сообщение # 14
У вас сообщений: 1293
стоматология и связанное с ней
OFFлайн
Российская Федерация

СПб
Цитата МастерБаку ()
эта штука - дура совсем тупая? Ей глаза выдрали, а она и не поняла?
Глюк canbus. Если его сдернули, когда был в ожидании - 2 случая за почти 10 лет.
 
x_ray67Дата: Пятница, 28.Ноя.2014, 13:10 | Сообщение # 15
Стажер
У вас сообщений: 39
инженер
OFFлайн
Российская Федерация

Тюмень
генаf, зравствуйте.
Если есть мануал на Orthophos XG буду Вам признателен.

генаf, не могу скачать по ссылке: "Дополнение:
- доки: http://www.medteh.info/load/84-1-0-1929 "
 
ilhom0606Дата: Четверг, 03.Сен.2020, 16:42 | Сообщение # 16
Стажер
У вас сообщений: 16
Техник-электронщик
OFFлайн
Таджикистан

Душанбе
Аппарат при снятии рентген выдаёт ошибку после 10-15% снимка: Е01 0644, Е05 1106, Е01 0641.
Если есть у кого-нибудь мануал, скиньте, пожалуйста.
 
madmacДата: Пятница, 04.Сен.2020, 16:51 | Сообщение # 17
У вас сообщений: 1293
стоматология и связанное с ней
OFFлайн
Российская Федерация

СПб
Цитата ilhom0606 ()
Е01 0644, Е05 1106, Е01 0641
Уточните модель.
Е01 0644, Е01 0641 - ведут в сторону моноблока: отклонение по высокому напряжению от номинала. Делать рутину 5.2, не поможет - менять голову.
Е05 1106 не относится к XG3, она про XG Plus или XG3 Dready.
Надо смотреть сопутствующие ошибки в логе аппарата.


Сообщение отредактировал madmac - Пятница, 04.Сен.2020, 16:51
 
ilhom0606Дата: Пятница, 04.Сен.2020, 17:03 | Сообщение # 18
Стажер
У вас сообщений: 16
Техник-электронщик
OFFлайн
Таджикистан

Душанбе
Модель - Orthophos XG 3 бренда Sirona.
А что значит "делать рутину и менять голову" - это менять трубку? ...
 
madmacДата: Пятница, 04.Сен.2020, 20:47 | Сообщение # 19
У вас сообщений: 1293
стоматология и связанное с ней
OFFлайн
Российская Федерация

СПб
Делать рутину: - выполнить сервисную рутину 5 шаг 2 из сервисного меню аппарата, с пульта управления.
Вебинтерфейса нет для этой модели.
Менять голову: - замена рентгеновского моноблока в сборе. Чисто из опыта, ремонт моноблока нештатными методами 20/80 (80%, что проживёт меньше 3-х месяцев, если вообще заработает).
 
ilhom0606Дата: Суббота, 05.Сен.2020, 14:20 | Сообщение # 20
Стажер
У вас сообщений: 16
Техник-электронщик
OFFлайн
Таджикистан

Душанбе
Делали рутину - выдал ошибку "Е1 0641".

Моноблок на замену?
 
madmacДата: Суббота, 05.Сен.2020, 15:24 | Сообщение # 21
У вас сообщений: 1293
стоматология и связанное с ней
OFFлайн
Российская Федерация

СПб
Ага.
 
ilhom0606Дата: Воскресенье, 06.Сен.2020, 09:47 | Сообщение # 22
Стажер
У вас сообщений: 16
Техник-электронщик
OFFлайн
Таджикистан

Душанбе
Попытаюсь первым делом вскрыть его на ремонт.
 
ilhom0606Дата: Суббота, 13.Мар.2021, 10:04 | Сообщение # 23
Стажер
У вас сообщений: 16
Техник-электронщик
OFFлайн
Таджикистан

Душанбе
Всем доброго дня, коллеги!
После маленького ремонта головка ожила на пару месяцев, заказали новый.
После установки новой головки при включении выдаёт ошибку: "Е6 1107".
Прочитал, что это ошибка самодиагностики, но как её лечить?


Сообщение отредактировал ilhom0606 - Суббота, 13.Мар.2021, 15:47
 
PhaserДата: Среда, 29.Дек.2021, 10:12 | Сообщение # 24
Стажер
У вас сообщений: 17
Инженер
OFFлайн
Российская Федерация

Россия
Здравствуйте, коллеги!
Ортопантомограф Orthophos XG 3, аппарат 2013 г/в.
Постоянно появляется ошибка после окончания сканирования в режиме 3D: - "System E6 0621".
В сервисной инструкции описано какие модули проверять: оптический кабель, плата, моноблок.
В режиме панорамы аппарат работает, склоняюсь к моноблоку ...
Сам склоняюсь к плате DX1 или моноблоку, но как точно исключить? (((((
Поделитесь опытом кто как решал эту проблему.
.

Phaser, посмотрите здесь п.1.1 и далее ...
0350853.jpg (185.4 Kb)


Сообщение отредактировал Phaser - Среда, 29.Дек.2021, 10:13
 
Yulana34Дата: Вторник, 29.Мар.2022, 19:27 | Сообщение # 25
У вас сообщений: 2578
Электро-сантехник
OFFлайн
Российская Федерация

Волгоград
SOS - помогите - нужен плагин astra sirona dental plugin для Sidexis 2.56
Или подскажите как его включить.
Что-то сделали и он перестал работать.
Он видится в Sidexis plugin, но не включается.
 
Goodboy03Дата: Понедельник, 06.Мар.2023, 11:51 | Сообщение # 26
Стажер
У вас сообщений: 6
Инженер
OFFлайн
Российская Федерация

Кпасноярск
Цитата генаf ()
если актуально - пиши в личку
Всем здравствуйте.
Orthophos XG 3D от Sirona. Плохое качество изображения.
Подскажите, пожалуйста, в чём может быть проблема?
Фото прилагаю:
1605363.jpg (270.0 Kb) · 6676121.jpg (173.7 Kb) · 8381895.jpg (212.7 Kb)
 
Goodboy03Дата: Вторник, 07.Мар.2023, 07:55 | Сообщение # 27
Стажер
У вас сообщений: 6
Инженер
OFFлайн
Российская Федерация

Кпасноярск
Цитата Sss777 ()
Вылезли ошибки - коды ошибок: е6 06 07, е6 06 07, е6 06 65, е7 06 01
Не можем разобраться в чём поломка.
1
.

Цитата morranova ()
Ортопантамограф Orthophos XG фирмы SIRONA, изготовлен в январе 2011 г.
Стали возникать вырывы в верхней трети изображения (периодически), также присутствуют моменты расфокусировки и пропадания изображения в середине нижней части снимка.
Видимых механических дефектов, посторонних шумов и неисправностей аппарат не выдаёт. Что это может быть?
Предыдущую тему читал, кнопочку проверил, схему скачал и посмотрел.
Мануал скачать по указанной ссылке не удалось, он удалён.
morranova, как Вы её решили? Похожая проблема у меня с ортопантамографом Orthophos XG 3D ...
.

Goodboy03, посмотрите здесь п.1.1 и далее ...

Есть специализированная тема: "Ортопантомограф Orthophos XG ф.Sirona Dental Systems GmbH (Проблемы и их решения)", в которой Вы можете только лишь посмотреть возможные решения проблемы, аналогичной с вашим ортопантамографом Orthophos XG 3D.
.
 
Goodboy03Дата: Вторник, 07.Мар.2023, 13:31 | Сообщение # 28
Стажер
У вас сообщений: 6
Инженер
OFFлайн
Российская Федерация

Кпасноярск
Всем здравствуйте.
Orthophos XG 3D от Sirona. Плохое качество изображения.
Подскажите, пожалуйста, в чём может быть проблема?
Фото прилагаю.
.

Goodboy03, что заставляет Вас так мусорить на Форуме? Только ведь зарегистрировались ...
Вы Правила размещения информации на Форуме читали? Что Вам, как "инженеру", было не понятно в них?! ...
8504214.jpg (270.0 Kb) · 2009087.jpg (173.7 Kb) · 4414962.jpg (212.7 Kb)
 
madmacДата: Вторник, 07.Мар.2023, 18:53 | Сообщение # 29
У вас сообщений: 1293
стоматология и связанное с ней
OFFлайн
Российская Федерация

СПб
Goodboy03, по 3D снимку: проверить ошибки в логе аппарата, потом, скорее всего, калибровка. Потом по результату.

По панораме:
1. Матрицы датчика либо всё, либо датчик крепко тряхнули/ударили, что на OPXG3D сделать сложновато.
Есть вероятность, что окислы на разъёмах частей матрицы, для этого надо разбирать датчик, однако немцы это не рекомендуют;
2. Есть очень маленький шанс, что проблема в кабеле поворотного модуля датчиков.


Сообщение отредактировал madmac - Среда, 08.Мар.2023, 09:58
 
Goodboy03Дата: Четверг, 09.Мар.2023, 09:03 | Сообщение # 30
Стажер
У вас сообщений: 6
Инженер
OFFлайн
Российская Федерация

Кпасноярск
Цитата madmac ()
по 3D снимку: проверить ошибки в логе аппарата, потом, скорее всего, калибровка. Потом по результату.

Добрый день!
3D снимок снят после всех калибровок, которые были прописаны в мануале. Ошибок нет.
По панораме: датчик был вскрыт после всех манипуляций, которые не повлияли на результат, окислов нет, всё как новое. Если, конечно, я правильно понял, про какой датчик Вы имели ввиду (фото прилагаю).
Кабель проверю.
1209057.jpg (135.1 Kb)
 
madmacДата: Четверг, 09.Мар.2023, 17:34 | Сообщение # 31
У вас сообщений: 1293
стоматология и связанное с ней
OFFлайн
Российская Федерация

СПб
Goodboy03, датчик тот, панорамный. Обычно, когда изображение делится на горизонтальные полосы, это значит, что часть матрицы не работает. Беда в том, что отдельно они не поставляются. Или датчик целиком, или искать в б/у (лотерея).
Кабель очень редко выходит из строя, самая простая проверка через меню юстировки/калибровки, только выбрать image datapatch 2d/pan, в разных версиях софта есть различия в названиях. Должен показать картинку из трёх полос разного оттенка (плата датчика и все кабели в тракте передачи исправны).
В логе самого аппарат ошибки есть?
 
Goodboy03Дата: Пятница, 10.Мар.2023, 09:28 | Сообщение # 32
Стажер
У вас сообщений: 6
Инженер
OFFлайн
Российская Федерация

Кпасноярск
Цитата madmac ()
датчик тот, панорамный.

Юстировку сделал, скрин прикрепил. Ещё сделал проверку готовности, один параметр не прошёл, но не могу понять, что именно он значит (скрин прикрепил). Логи были на самом аппарате, но это когда я без датчика пробовал сделать снимок. Пока что всё стёр, буду наблюдать.
6748630.jpg (133.6 Kb) · 0275178.jpg (97.7 Kb)
 
madmacДата: Пятница, 10.Мар.2023, 17:53 | Сообщение # 33
У вас сообщений: 1293
стоматология и связанное с ней
OFFлайн
Российская Федерация

СПб
MTF - modulation transfer function. Не помню точно, вроде, передача с матрицы на плату 3Д датчика ...
Вот только этот тест для проверки постоянства параметров имеет смысл, если был сделан приёмочный тест после монтажа. Нет исходных данных - сравнивать не с чем.
Фото 2 - передача снимка из ПЗУ платы прошла нормально, канал передачи работает весь. Так что искать подменный датчик PAN.
Новый стоит немало, ремонт-замена вряд ли сейчас работает (когда получаешь отремонтированный на заводе, потом свой неисправный отправляешь на завод. Вариант дешевле нового до 40%, но гемор с отправкой заводу).
 
Goodboy03Дата: Понедельник, 13.Мар.2023, 08:30 | Сообщение # 34
Стажер
У вас сообщений: 6
Инженер
OFFлайн
Российская Федерация

Кпасноярск
Цитата madmac ()
Фото 2 - передача снимка

Понял, буду тогда искать датчик и проверять.
Подскажите ещё, пожалуйста, а то что 3D снимок получается некачественный, от датчика это уже не зависит?
Тогда в чём может быть проблема ещё и с 3D?
3866273.jpg (212.7 Kb)
 
madmacДата: Понедельник, 13.Мар.2023, 08:52 | Сообщение # 35
У вас сообщений: 1293
стоматология и связанное с ней
OFFлайн
Российская Федерация

СПб
Goodboy03, с 3D неоднозначно, надо проверять датчик, диафрагму, излучатель.
 
КроливецДата: Суббота, 13.Июл.2024, 16:18 | Сообщение # 36
Заглянувший
У вас сообщений: 2
Инженер
OFFлайн
Российская Федерация

Туапсинский р-н, Новомихайловский пгт
Всем привет!
Подскажите, пожалуйста, в Orthophos XG3 3d стоит в блоке питания DX3 вещь, очень похожая на позистор. Он выгорел, соответственно, БП не стартует, клацает три раза реле и всё. Стоит он на входе после диода и шунтирует реле.
Не подскажете где такой искать?
Или может есть у кого в донорах?
Или хоть "имя, фамилию "характеристики его" +-
shok
.

Как вариант кусок схемы БП, тоже не плохо было бы)
9161212.jpg (75.5 Kb) · 2893831.jpg (94.9 Kb) · 7244117.jpg (89.7 Kb) · 3815785.jpg (183.4 Kb)
 
КроливецДата: Вторник, 16.Июл.2024, 23:02 | Сообщение # 37
Заглянувший
У вас сообщений: 2
Инженер
OFFлайн
Российская Федерация

Туапсинский р-н, Новомихайловский пгт
Цитата Кроливец ()
очень похожая на позистор.

В общем, нашёл искомое. Кому надо - пишите в личку.
 
  • Страница 1 из 1
  • 1
Поиск:



Статистика Форума
Последние обновления тем: Новые файлы хранилища: Новые участники: Top10 участников:
1. Замена светодиода на ...[Shturman (05.Дек.2025)]
2. Анализатор поля зрени...[SpirituS (04.Дек.2025)]
3. Программный комплекс ...[mqubali (04.Дек.2025)]
4. Кардиорегистратор «ИК...[albano18 (04.Дек.2025)]
5. Thermo Scientific gem...[viggen (03.Дек.2025)]
6. Центрифуга CM-6M ф.El...[Ningen64 (03.Дек.2025)]
7. Дефибриллятор Defi B ...[san-che30 (02.Дек.2025)]
8. Коллиматор Ralco R 22...[seeker (02.Дек.2025)]
9. КУПЛЮ/ПРИМУ в дар при...[seabee (02.Дек.2025)]
1. VIVIX Setup Operation...[12.Окт.2025]
2. GenwareMP[10.Сен.2025]
3. Настройка реагентов M...[20.Авг.2025]
4. Philips HD3-EXP[13.Авг.2025]
5. Рентгеновское оборудо...[08.Авг.2025]
6. VersaMed iVent201 Сер...[13.Фев.2025]
7. Гелпик КРД Ренекс РЦ ...[09.Фев.2025]
8. Офтальмологическая ус...[31.Окт.2024]
9. Cardinal-Health-VELA-...[03.Окт.2024]
10. Service Manual HAMILT...[02.Окт.2024]
1. zef1984[05.Дек.2025]
2. Dvish[05.Дек.2025]
3. Intellect[05.Дек.2025]
4. Romanivanov[05.Дек.2025]
5. igogoigogo[05.Дек.2025]
6. 1rishka[04.Дек.2025]
7. L_V_N[04.Дек.2025]
8. ИвановИИ[04.Дек.2025]
9. Alex_U[04.Дек.2025]
10. Yarikus03[03.Дек.2025]
МастерБаку[583]
Yulana34[177]
Serg74[160]
Dimitrius[129]
naves[122]
РОМУЛ[121]
bektyish[121]
madmac[116]
Алекс-200[114]
begun_a[112]