[ Новые сообщения · Участники · Правила форума · Поиск · RSS ]



  • Страница 2 из 3
  • «
  • 1
  • 2
  • 3
  • »
Модератор форума: STaras, GeorgySmith  
УЗИ DC-6 ф.Mindray
МВРДата: Четверг, 20.Май.2010, 22:30 | Сообщение # 1
Медтехник
OFFлайн
Российская Федерация

.
Все вопросы и пояснения, тем или иным образом, касающиеся этого аппарата, на которые в теме не найдены ответы, и ответы на них необходимо размещать только в этой ТЕМЕ !!! Тем самым, вы намного облегчите другим участникам и посетителям Форума поиск ответов на их вопросы. Да, и просто в получении полезной практической информации об этом аппарате, и о проблемах связанных с ним.

Для руководства и правильного поведения на Форуме и в теме обязательно прочитайте по ссылке с.261.

Перед прочтением этой темы рекомендуется предварительно прочитать тему про заземление УЗИ аппаратов со всеми ссылками в ней!
.
 
SonnestormДата: Среда, 05.Мар.2014, 14:11 | Сообщение # 41
Стажер
У вас сообщений: 32
УЗИ, лаборатория
OFFлайн
Российская Федерация

Хабаровск
Скорей всего несколько кристаллов выбито, либо перетерлись провода. Когда выбит кристалл - это практически незаметно.
Рекомендую хорошенечко промять кабель - непосредственно у самого датчика и около порта. Если не поможет и картинка сохранится во всех портах - кристаллы.
Если это все таки кабель, и доктора дали добро на препарацию - разбирать очень осторожно - остальные перетертые проводнички могут в руках оборваться.
Кстати, кристаллы могут вылететь и без внешнего физического воздействия.


Сообщение отредактировал Sonnestorm - Среда, 05.Мар.2014, 14:13
 
kevnevДата: Среда, 05.Мар.2014, 16:47 | Сообщение # 42
Стажер
У вас сообщений: 7
медтехника
OFFлайн
Российская Федерация

Ставрополь
Спасибо, завтра попробуем помять кабель. Включение датчика в другой порт и отключение не помогло, полоса остается.
 
Sovok_ussrДата: Среда, 05.Мар.2014, 19:52 | Сообщение # 43
Участник
У вас сообщений: 73
it
OFFлайн
Российская Федерация

Новосибирск
- скорей, всего это от мелкого пузырька воздуха под линзой датчика
(если датчик не на гарантии - можно самой тонкой иглой ввести туда жидкий герметик-силикон или что-либо подобное, желательно с "липкими" свойствами, предварительно, "выдавив" оттуда
воздух после прокола резинопластика (до введения "наполнителя")
(как "выдавливание" пузырей после наклеивания обоев или пленки на экран телефона)
 
nabiДата: Четверг, 06.Мар.2014, 00:24 | Сообщение # 44
Участник
У вас сообщений: 201
Всего по немногу
OFFлайн
Казахстан

Караганда
Это кристаллы битые.

Цитата kevnev ()
- скорей, всего это от мелкого пузырька воздуха под линзой датчика
(если датчик не на гарантии - можно самой тонкой иглой ввести туда жидкий герметик-силикон или что-либо подобное, желательно с "липкими" свойствами, предварительно, "выдавив" оттуда
воздух после прокола резинопластика (до введения "наполнителя")
(как "выдавливание" пузырей после наклеивания обоев или пленки на экран телефона)

И не в коем случае нельзя вводить иголку под линзу. nea shok

Прилагаю методику визуальной оценки причины дефекта.
5050612.jpg (136.8 Kb)


Сообщение отредактировал nabi - Четверг, 06.Мар.2014, 00:28
 
SonnestormДата: Четверг, 06.Мар.2014, 03:35 | Сообщение # 45
Стажер
У вас сообщений: 32
УЗИ, лаборатория
OFFлайн
Российская Федерация

Хабаровск
Кстати лучше брать отвертку 2-3 мм диаметром. Нажим делать несильный - усилие грамм 150.
При этом способе, и если есть мельчайшие отслоения линзы - это будет видно по частичному смещению слоев самой линзы.
В случае микропузырьков - забудте про них. Современные сканеры имеют кучу технологий, которые нивелируют эффект даже от нескольких выбитых кристаллов.
Конкретно в данном аппарате это I Bеам - многолучевое сканирование.
 
kevnevДата: Четверг, 06.Мар.2014, 14:26 | Сообщение # 46
Стажер
У вас сообщений: 7
медтехника
OFFлайн
Российская Федерация

Ставрополь
Промятие кабеля ничего не дало. По совету nabi провел разогнутой скрепкой по датчику, в месте вертикальной черной полосы засвеченная полоска от скрепки исчезает. Видимо все-таки дело в кристаллах.
 
SonnestormДата: Четверг, 06.Мар.2014, 19:14 | Сообщение # 47
Стажер
У вас сообщений: 32
УЗИ, лаборатория
OFFлайн
Российская Федерация

Хабаровск
Ну, тогда обращаться в миндрей медикал рус и заказывать новый. Либо поспрашивать диллеров - может у кого на складе завалялся..) У нас вот например на складе обнаружилось 7 микроконвексных датчиков на DC 7. Никому не надо? Оптом? )
 
nabiДата: Четверг, 06.Мар.2014, 22:54 | Сообщение # 48
Участник
У вас сообщений: 201
Всего по немногу
OFFлайн
Казахстан

Караганда
kevnev, я только заметил, что речь про линейный датчик. Вчера невнимательно прочел и подумал, что речь про конвексный датчик, судя по трапециальности картины.По фото, похожа, что линза отслоилась. Я на картинке отметил крайние области на которых нету визуализации, эти области надавите пальцем до соприкосновения акустической линзы с поверхностью кристалла (предварительно намазав гель на линзу) и сделайте фото. Если появится визуализация, то значит отслоение линзы по краям датчика. При отслоении линзы метод со скрепкой не достоверен, метод скрепки достоверен, когда линза не отслоена.
Проделайте манипуляции при "B" режиме т.к. "B" режим дает картину двухмерную, а "М" режим одномерную с разверткой по времени и для выяснения причины дефекта не совсем подходит. Полоса при "B" режиме появляется?
0065872.jpg (91.4 Kb)


Сообщение отредактировал nabi - Четверг, 06.Мар.2014, 23:17
 
kevnevДата: Пятница, 07.Мар.2014, 14:35 | Сообщение # 49
Стажер
У вас сообщений: 7
медтехника
OFFлайн
Российская Федерация

Ставрополь
Визуализация в крайних областях есть, на снимке это видно, внизу черная тень от позвоночника, а вот справа есть еще одна черная вертикальная полоса, она шире, но видна нечетко. Похоже, все таки кристаллы.

1900358.jpeg (127.2 Kb)


Сообщение отредактировал kevnev - Суббота, 08.Мар.2014, 13:33
 
niktelДата: Среда, 24.Сен.2014, 14:29 | Сообщение # 50
Стажер
У вас сообщений: 5
инженер
OFFлайн
Российская Федерация

Старый Оскол
GeorgySmith, здравствуйте! Есть вопрос по dc3. После включения аппарата не работает клавиатура. Если подключить мышь в USB на передней панели, то мышь работает. Если её же включить в USB на задней панели, то мышь не работает. Если аппарат несколько раз перезагрузить, то панель управления начиает работать. При этом мышь тоже работает через задний разъём. При не работающей панели, всё остальное вроде работает. В чём может быть проблема?
 
medik59Дата: Четверг, 12.Ноя.2015, 14:23 | Сообщение # 51
Участник
У вас сообщений: 62
инженер
OFFлайн
Российская Федерация

РФ
При включении аппарата на экране монитора появляется надпись "no signal".
Подсветка клавиатуры не включается. Разъемы вынимал и вставлял, но без изменений.
Просьба дать совет по диагностике дефекта.
 
shtempelДата: Пятница, 13.Ноя.2015, 05:36 | Сообщение # 52
У вас сообщений: 289
инженер
OFFлайн
Российская Федерация

medteh
Cpu модуль походу закрылся.
 
olko13Дата: Пятница, 13.Ноя.2015, 10:57 | Сообщение # 53
У вас сообщений: 825
инженер
OFFлайн
Украина

Львов
Проверьте БП и если компютерная часть имеет свой бп, его тоже, и именно в момент запуска
 
SlavoMirДата: Пятница, 29.Янв.2016, 18:37 | Сообщение # 54
Стажер
У вас сообщений: 31
инженер
OFFлайн
Украина

Винница
Кнопка Freeze неправильно работает. При нажатии она пикает но изображение не замораживает. Если нажать iTouch, дождаться улучшения картинки и нажать фриз - может 1 раз сработать. Не работает (не всегда срабатывают) также часть клавиш на вспомогательной клавиатуре. Кто подскажет хотя-бы направление: железо/софт? Остальной функционал вроде нормальный.

Сообщение отредактировал SlavoMir - Четверг, 04.Фев.2016, 14:28
 
IgorGiДата: Пятница, 29.Янв.2016, 20:19 | Сообщение # 55
Завсегдатай
У вас сообщений: 228
инженер
OFFлайн
Российская Федерация

Пятигорск
На плате "гуслей" есть два DC-DC преобразователя, я бы начал с них.
Контроллер функциональных кнопок - EPM570T144. Просмотреть дорожки, промыть спиртом 95, влага сильно влияет.
Вся плата управляется по RS-232. Правильно было-бы подцепиться терминалом и проконтролировать возвращаемые коды, если они ОК, то возможно виноват софт.
 
SlavoMirДата: Среда, 03.Фев.2016, 18:51 | Сообщение # 56
Стажер
У вас сообщений: 31
инженер
OFFлайн
Украина

Винница
Просто удивительно насколько порою эффективны простые вещи. Спасибо, промывка помогла.
 
SlavoMirДата: Четверг, 04.Фев.2016, 16:23 | Сообщение # 57
Стажер
У вас сообщений: 31
инженер
OFFлайн
Украина

Винница
Через несколько часов все стало как было. Фриз снова работает неправильно.
 
PAL1983Дата: Четверг, 14.Апр.2016, 01:51 | Сообщение # 58
Стажер
У вас сообщений: 35
Инженер
OFFлайн
Российская Федерация

Великий Новгород
GeorgySmith, Доброго время суток, Прошу помощи, аппарат Миндрей DS-6, не видит HDD, диск проверил - хороший (бедов нет). IDE провод менял. что можно ещё глянуть?
 
sprutvДата: Четверг, 14.Апр.2016, 08:03 | Сообщение # 59
Участник
У вас сообщений: 197
узи
OFFлайн
Российская Федерация

самара
сам долго работал инженером по узи миндрей. почему в москву не звоните и не спрашиваете там есть очень умный и адекватный парень и причем не один. я как минимум знаю 4 инженеров, которые проконсультируют куда лезть и что делать.
 
AJLoverДата: Суббота, 04.Июн.2016, 16:23 | Сообщение # 60
Стажер
У вас сообщений: 9
нет
OFFлайн
Российская Федерация

Петрозаводск
Цитата PAL1983 ()
что можно ещё глянуть?

Питание?
 
PAL1983Дата: Четверг, 09.Июн.2016, 13:42 | Сообщение # 61
Стажер
У вас сообщений: 35
Инженер
OFFлайн
Российская Федерация

Великий Новгород
Добрый день, коллеги. Позвонил в Москву. дали пароли к настройка, однако в системе жёсткий не настраиваться. Стал разбираться сам установил, что нет данных в IDE шине, далее уперся в универсальный шинный формирователь, заменил его. Данных нет. Есть подозрения что навернулась одна из микросхем ПЛИС. плата многослойная куда ведут дорожки не видно прозвонить не реально ибо дорожки от шинного формирователя уходят в глубь текстолита и на поверхность не выходят(ну или я не нашёл, хотя очень старался). В Сервисе сказали, что требуется замена платы DSP (с чем согласен ибо всё установлено на ней) у них 450т.р. что для ЦРБ не подъёмно. Может быть у кого то есть в развале подобная плата или может кто подскажет где поискать?
 
PAL1983Дата: Четверг, 09.Июн.2016, 13:51 | Сообщение # 62
Стажер
У вас сообщений: 35
Инженер
OFFлайн
Российская Федерация

Великий Новгород
На плате стоит 4-е 2-х Циклона, какой из них отвечает за IDE из сервис мануала не понятно вообще. может кто подскажет?
 
PAL1983Дата: Среда, 20.Июл.2016, 15:25 | Сообщение # 63
Стажер
У вас сообщений: 35
Инженер
OFFлайн
Российская Федерация

Великий Новгород
Тема, закрыта. вопрос решён! Замена буферов.
 
AlexvetДата: Среда, 04.Янв.2017, 15:36 | Сообщение # 64
Стажер
У вас сообщений: 5
помощник инженера
OFFлайн
Российская Федерация

Симферополь
Добрый вечер, имеется аппарат DC-6Vet, был куплен на аукционе, привезен в Россию. С момента эксплуатации прибор не разворачивает картинку на весь экран, есть черная рамка (фото). Почитал мануал нашел настройки монитора и обнаружил что можно развернуть на весь экран картинку настройками самого монитора, но данная процедура ухудшила картинку. И в самом меню разрешение 640*480 осталось, вопрос как исправить?
7619155.jpg (193.6 Kb) · 0783149.jpg (158.5 Kb) · 9510506.jpg (163.5 Kb)
 
olko13Дата: Среда, 04.Янв.2017, 16:19 | Сообщение # 65
У вас сообщений: 825
инженер
OFFлайн
Украина

Львов
А чем вам не нравится первая картинка. Стандартное расположение развертки датчика со служебной информацией сбоку. Если вы растяните развертку на весь экран, то как собираетесь работать без служебной информации?.
Кроме умершей батарейки, я больше проблем не вижу.
 
AlexvetДата: Среда, 04.Янв.2017, 16:48 | Сообщение # 66
Стажер
У вас сообщений: 5
помощник инженера
OFFлайн
Российская Федерация

Симферополь
На первой картинке рамка шириной в 1,5см, тоесть эта часть экрана просто не используется и не содержит рабочих частей. на последнем фото выглядит так как должно быть. но будто картинку 640*480 увеличили до 1024*768.
 
olko13Дата: Среда, 04.Янв.2017, 19:39 | Сообщение # 67
У вас сообщений: 825
инженер
OFFлайн
Украина

Львов
А если бобик(видеокарта) больше не может? То растягивая картинку по вертикали силами монитора вы автоматически теряете качество картинки.
Причина может быть в настройках биоса, которые слетели из-за умершей батарейки. Меняйте батарею и покопайтесь в биосе. Перед этим верните взад заводские настройки монитора.
 
AlexvetДата: Среда, 04.Янв.2017, 19:57 | Сообщение # 68
Стажер
У вас сообщений: 5
помощник инженера
OFFлайн
Российская Федерация

Симферополь
А как узнать может он или нет? Теперь о биосе как туда зайти? И еще где то около месяца после приезда аппарат помнил дату и время, но развертка уже быа такой. Плюс на рекламных картинках нигде нет такой рамки, просто не знаю как их сменить не в мониторе а в винде или чем он управляется
 
olko13Дата: Среда, 04.Янв.2017, 20:11 | Сообщение # 69
У вас сообщений: 825
инженер
OFFлайн
Украина

Львов
Пригласите компютерного специалиста пускай покопается в биосе. Вход в биос вроде бы стандартный, точно не помню, но и проблем со входом тоже не помню.
 
lis63Дата: Понедельник, 27.Фев.2017, 22:48 | Сообщение # 70
начальник участка
OFFлайн
Российская Федерация

Самара
Уважаемые коллеги!
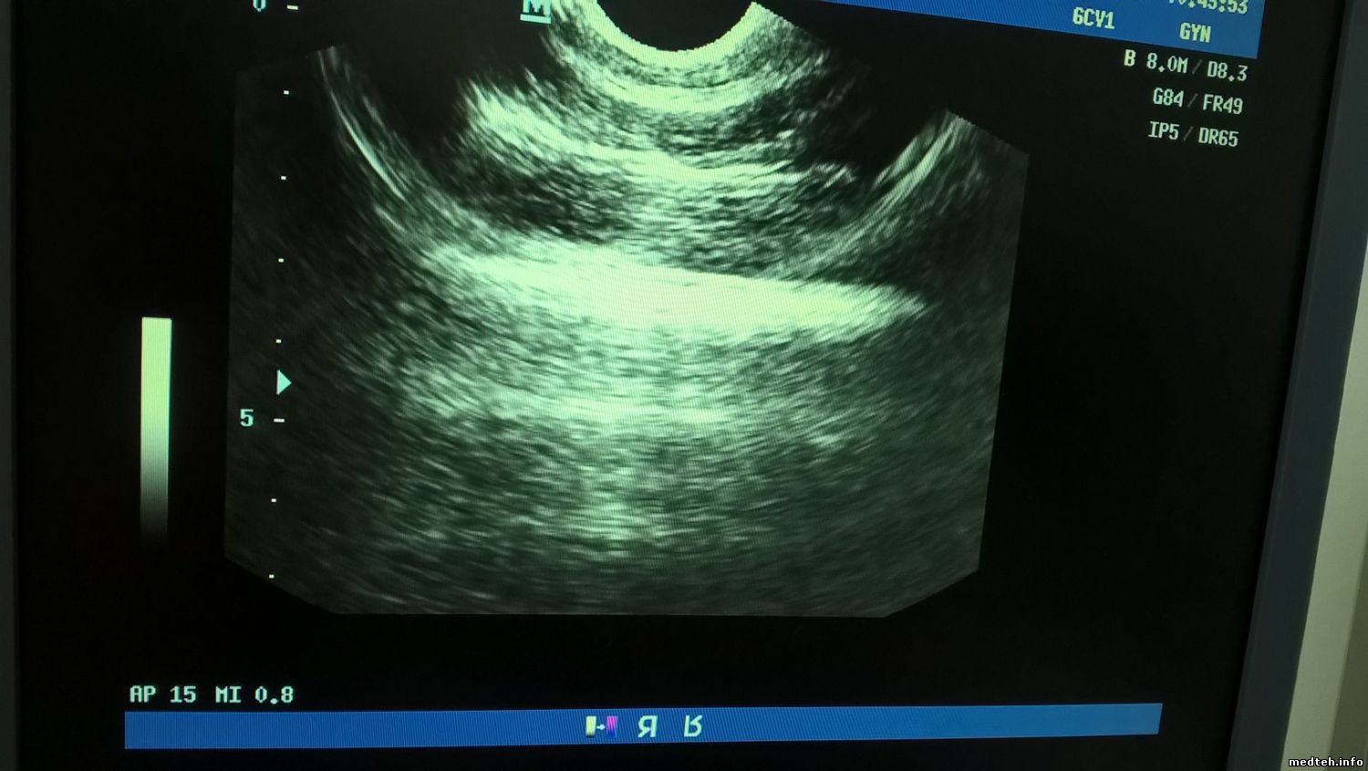
Помогите разобраться в следующей проблеме. Есть два Mindray DC6 и один вагинальный датчик. С год назад врачи забраковали один аппарат по причине помех на изображений. Фото 9363159 и 5455816. Решили проверить датчик и подключили к другому аппарату. Сначала изображение их устраивало, а месяца два назад начали жаловаться опять. Фото 5410773 и 6255828. Решили отдать датчик на проверку специалистам. Их заключение - датчик рабочий. На линейном и конвексном датчиках эти помехи присутствуют тоже, но они не так выражены. Если отключить от аппарата probe board - помехи остаются, если отключить transmission board - помех нет, но можно сказать, что нет сигнала - нет помех. Посоветуйте, что можно сделать с этой неисправностью. Буду признателен, если кто-нибудь пришлет фото картинки с такого же аппарата и датчика, чтобы сравнить.
5410773.jpg (134.1 Kb) · 6255828.jpg (100.2 Kb) · 9363159.jpg (107.4 Kb) · 5455816.jpg (126.0 Kb)
 
MaxHorrorДата: Понедельник, 27.Фев.2017, 23:16 | Сообщение # 71
Участник
У вас сообщений: 92
Сервисный инженер
OFFлайн
Российская Федерация

Санкт-Петербург
Больше просто на наводки похоже, меняются ли помехи при замыкании контура на корпус, заземление, батарею отопления? Есть ли они пока не касаешься датчика? Как ведет себя прибор при работе без сети, на аккумуляторах бесперебойника, а в другом крыле учреждения?
 
lis63Дата: Вторник, 28.Фев.2017, 07:10 | Сообщение # 72
начальник участка
OFFлайн
Российская Федерация

Самара
Если датчика не касаться, помехи меньше видны, но есть. Аппараты в разных местах стоят. Для фотосессии их в один кабинет привезли. Пробовали бесперебойник с двойным преобразованием подключать - не помогло. Чисто на батареях ИБП не пробовали...
 
sprutvДата: Вторник, 28.Фев.2017, 08:07 | Сообщение # 73
Участник
У вас сообщений: 197
узи
OFFлайн
Российская Федерация

самара
а каким специалистам вы датчик отдавали. особенно в самаре. просто лично мое мнение это датчик виноват.

Сообщение отредактировал sprutv - Вторник, 28.Фев.2017, 08:09
 
AlexmikДата: Вторник, 28.Фев.2017, 10:01 | Сообщение # 74
Участник
У вас сообщений: 198
литотриптор Dornier
OFFлайн
Украина

Одесса
Если помехи- бегущие внизу изображения волны- внешние помехи от китайских блоков питания, чем выше частота датчика,тем виднее.
 
sprutvДата: Вторник, 28.Фев.2017, 10:09 | Сообщение # 75
Участник
У вас сообщений: 197
узи
OFFлайн
Российская Федерация

самара
ну ладно согласен со специалистами особенно как технический директор данной компании))). аппарат где стоит может я приеду посмотрю сам и тесты запущу. в личку напишите. либо в личку напишу что поменять вам надо сами сделаете. проблема известная. я с ней столкнулся.

Сообщение отредактировал sprutv - Вторник, 28.Фев.2017, 10:22
 
lis63Дата: Вторник, 28.Фев.2017, 10:17 | Сообщение # 76
начальник участка
OFFлайн
Российская Федерация

Самара
Цитата Alexmik ()
Если помехи- бегущие внизу изображения волны- внешние помехи от китайских блоков питания, чем выше частота датчика,тем виднее.

Имеется ввиду блок питания самого аппарата?
 
valentin17Дата: Вторник, 28.Фев.2017, 10:53 | Сообщение # 77
Техник
У вас сообщений: 561
инженер
OFFлайн
Чешская Республика

Прага
Цитата lis63 ()
На линейном и конвексном датчиках эти помехи присутствуют тоже, но они не так выражены.
су
Скорее всего на какой-то частоте есть помеха.
 
lis63Дата: Вторник, 28.Фев.2017, 11:10 | Сообщение # 78
начальник участка
OFFлайн
Российская Федерация

Самара
Цитата valentin17 ()
Скорее всего на какой-то частоте есть помеха.

На вагинальном датчике очень хорошо видна на 8, на других не помню, на какой частое...
 
navesДата: Вторник, 28.Фев.2017, 11:22 | Сообщение # 79
У вас сообщений: 1070
программист
OFFлайн
Российская Федерация

Москва
проверьте с любым бесперебойником на батареях без сети.

Такая же проблема в одном ЛПУ, на двух Mindray DC-3 помехи. Специально просили купить для проверки упс с двойным преобразованием. Привезли Eaton 9130, никакой разницы, подключен к сети - помехи, без сети - нет помех.
В соседнем кабинете DC 8 работает без помех, а трешки в любом кабинете с помехами.

Причем заявляется, что в клинике стоит централизованная система бесперебойного питания, но разбираться откуда помеха никто не хочет.


Сообщение отредактировал naves - Вторник, 28.Фев.2017, 15:32
 
spartanec87Дата: Вторник, 28.Фев.2017, 11:44 | Сообщение # 80
Техник
У вас сообщений: 413
инженер
OFFлайн
Российская Федерация

Питер
Аппарат находится в той же комнате что и до помех ? Что менялось за этот период. Может диодные лед лампы поставили? Контур заземления мерили ?
Я немного не понял у вас 2 одинаковых аппарата и у одного такие помехи?
Есть вероятность,что проблема с блоком питанием самого УЗИ.
У меня был подобный случай. Прогрев паяльным феном решил вопрос. Если у вас есть возможность поменять с рабочего УЗИ блок питания в нерабочем. И отпишитесь что да как
 
  • Страница 2 из 3
  • «
  • 1
  • 2
  • 3
  • »
Поиск:



Статистика Форума
Последние обновления тем: Новые файлы хранилища: Новые участники: Top10 участников:
1. Анализатор биохимичес...[laverse (19.Май.2026)]
2. Аппарат Luminos 2011 ...[medplus (13.Май.2026)]
3. УЗИ SonoAce X8 ф.Sams...[valentin17 (13.Май.2026)]
4. Анализатор гематологи...[Electronic_Arts (12.Май.2026)]
5. фотополимеризатор Eli...[bubaeshka (12.Май.2026)]
6. Elipar Freelight, пол...[bubaeshka (12.Май.2026)]
7. Двигатель компрессора...[ovg (12.Май.2026)]
8. Термопринтеры ф.SONY:...[Gerter (11.Май.2026)]
9. УВЧ-80 НОВОАН - ЭМА[Parkincjn (11.Май.2026)]
1. Apollo EZ service man...[25.Дек.2025]
2. VIVIX Setup Operation...[12.Окт.2025]
3. GenwareMP[10.Сен.2025]
4. Настройка реагентов M...[20.Авг.2025]
5. Philips HD3-EXP[13.Авг.2025]
6. Рентгеновское оборудо...[08.Авг.2025]
7. VersaMed iVent201 Сер...[13.Фев.2025]
8. Гелпик КРД Ренекс РЦ ...[09.Фев.2025]
9. Офтальмологическая ус...[31.Окт.2024]
10. Cardinal-Health-VELA-...[03.Окт.2024]
1. Sergedjan37[19.Май.2026]
2. Андрей2000[19.Май.2026]
3. vvs13[19.Май.2026]
4. Alexpol26[19.Май.2026]
5. fari_1988_88[19.Май.2026]
6. sourdeer[18.Май.2026]
7. Arsen74[18.Май.2026]
8. Viktornton[16.Май.2026]
9. Marmota[16.Май.2026]
10. kodar[15.Май.2026]
МастерБаку[583]
Yulana34[177]
Serg74[160]
Dimitrius[129]
naves[122]
РОМУЛ[121]
bektyish[121]
madmac[116]
Алекс-200[114]
генаf[112]