[ Новые сообщения · Участники · Правила форума · Поиск · RSS ]



  • Страница 2 из 4
  • «
  • 1
  • 2
  • 3
  • 4
  • »
Модератор форума: STaras, GeorgySmith  
УЗИ Aplio XG (SSA-790A) ф.Toshiba
МВРДата: Воскресенье, 18.Дек.2011, 17:02 | Сообщение # 1
Медтехник
OFFлайн
Российская Федерация

.
. Ультразвуковой сканер APLIO XG SSA-790A японской корпорации Toshiba Corporation (с производственно-торговым брендом "Toshiba") - цветная ультразвуковая диагностическая система premium класса, предназначена для выполнения высокоточной диагностики, и оптимизирована на полный исследовательский цикл - от получения изображения, до его анализа и передачи по локальным компьютерным сетям.
. В этой теме собрана имевшаяся на форуме информация об этом аппарате.
. Все вопросы и пояснения, тем или иным образом, касающиеся этого аппарата, на которые в теме не найдены ответы, и ответы/советы на них необходимо размещать только в этой ТЕМЕ !!! Тем самым, вы намного облегчите другим участникам и посетителям Форума поиск ответов на их вопросы. Да, и просто в получении полезной практической информации об этом аппарате, и о проблемах, связанных с ним.
. ВНИМАНИЕ ! Прежде, чем изложить в этой теме своё сообщение (пост), проследите за тем, чтобы тематика вашего сообщения соответствовала ИЗНАЧАЛЬНОЙ тематике темы (в том числе по наименованию, типу/марке, модели аппарата), ибо информация, касающаяся разных технических систем, может в последующем ввести в заблуждение других участников! И проследите, чтобы информации, подобной вашей, в ней не было!
. В противном случае –
потрудитесь найти на Форуме тему с нужной вам тематикой! И ТОЛЬКО убедившись, что на Форуме нет таковой обобщающей темы, вы можете создать новую, или обратиться к модераторам за помощью!

. Не пишите сообщения попусту и от эмоциональных перевозбуждений, не плодите посты-хвосты (следующая в режиме монолога череда – один и более – только своих новых постов вместо редактирования текущего крайнего в теме своего поста для добавления в него новой информации) – такая манера изложения своих мыслей в теме, их несобранность, удлиняет тему! В будущем другим её будет нудно и тошно читать ...
. А также, не увлекайтесь излишним, необдуманным цитированием, и если вы специалист, то подумайте прежде: нужна ли цитата
(а особенно длинная/нудная, да ещё и хуже того - цепочка из цитат ) – поэтому излагайте свои мысли!

. И ещё к сведению и обязательному исполнению см. по ссылке это ТРЕБОВАНИЕ (с.20) ! Не демонстрируйте на Форуме свою неинженерную безграмотность, а тем более, бесстыдно не кичитесь ею! ...

. Перед прочтением этой темы рекомендуется предварительно прочитать тему про "заземление" УЗИ аппаратов со всеми ссылками в ней, может быть, решение вашей проблемы вы найдёте в ней! Т.к. техническое состояние этого инженерного устройства (УЗЗ) в ЛПУ и правильная связь с ним и с устройством рабочего (технологического) заземления (УТЗ) во многом определяют качественную работоспособность УЗИ аппаратов!
. Крайне полезна и тема: Правила техобслуживания УЗИ, его виды и объём их работ (Технический осмотр и регламентные работы).
.
 
SVДата: Пятница, 04.Окт.2013, 18:34 | Сообщение # 41
Стажер
У вас сообщений: 38
Инженер
OFFлайн
Российская Федерация

Краснодар
TI -Transducer Interface
9421618.jpg (59.4 Kb) · 1777378.jpg (38.1 Kb)
 
РОМУЛДата: Суббота, 05.Окт.2013, 13:21 | Сообщение # 42
У вас сообщений: 830
Ультразвук
OFFлайн
Украина

***
TsS, плата TI с вероятностью 90% под замену. Но возможны проблемы и с платой RX. Нужно тестировать систему через сервисное меню.
 
TsSДата: Суббота, 05.Окт.2013, 16:13 | Сообщение # 43
Участник
У вас сообщений: 62
сервисный инженер
OFFлайн
Российская Федерация

Челябинск
Все понятно.
Спасибо
 
radpalДата: Среда, 09.Окт.2013, 12:03 | Сообщение # 44
Стажер
У вас сообщений: 8
инженер
OFFлайн
Украина

Черновцы
Дорогие формучани, помогите с возникшей проблемой. После установки драйверов для WI- FI, Aplio XG выдала ошибку (какую счас точно не скажу) и перестали работать клавиши SET и NEXT. Точнее они работают, но не совсем конкретно. Они нажимаються, выбераю меню но они не функционируют при выполнении расчетов через CALC. Удаление драйверов WI- FI не помогло. Если прислушаться, то все клавиши когда нажимаються в динамиках слышен звук, а на этих двух звука нету
 
РОМУЛДата: Среда, 09.Окт.2013, 13:44 | Сообщение # 45
У вас сообщений: 830
Ультразвук
OFFлайн
Украина

***
radpal, а зачем Вы туда эти драйверы пытались воткнуть? У Вас iASSIST есть? И текст ошибки нужно предъявить... Думаю, Вы не по инструкции софт устанавливали. В норме такого быть не должно.
 
radpalДата: Четверг, 10.Окт.2013, 11:56 | Сообщение # 46
Стажер
У вас сообщений: 8
инженер
OFFлайн
Украина

Черновцы
Нужно было получить доступ к папке с изображением по WI-FI, так как локальной сети нету. Какая ошибка была уже не скажу, ее больше не было. ASSIST- софт такой стаит, если выносной пульт -тогда нету
 
РОМУЛДата: Четверг, 10.Окт.2013, 14:10 | Сообщение # 47
У вас сообщений: 830
Ультразвук
OFFлайн
Украина

***
radpal, такая возможность в системе не предусмотрена, только через DICOM или запись на болванки. Так что не экспериментируйте - увалите систему и базы данных.
 
radpalДата: Четверг, 10.Окт.2013, 17:56 | Сообщение # 48
Стажер
У вас сообщений: 8
инженер
OFFлайн
Украина

Черновцы
Ну почему, доступ я то получил. Вопрос в другом, как вернуть эти клавиши? Проблема почемуто тольуо в них, все остальное работает. Я предпологаю что это мой USB чтото накосячил, сбив какието драйвера.
 
traidukДата: Четверг, 17.Окт.2013, 11:06 | Сообщение # 49
Стажер
У вас сообщений: 12
Сервисный Инженер
OFFлайн
Украина

Днепропетровск
Добрый день Коллеги.
Существует следующая проблема на аппарате TOSIBA Aplio XG: при нажатии на кнопки на Touch Panel, кнопки реагируют со сдвигом верх на 1-1,5 см.
Такая ситуация продолжалась неделю. Потом ушла так же как и пришла в неизвестном направлении. Через месяц вернулась обратно и уже месяц продолжает доставать докторов.
Перезагрузка не помогает.
Видео можете посмотреть по следующей ссылке http://www.youtube.com/watch?v=1pik_JnHa4U;
http://www.youtube.com/watch?v=uVZ_U4_kpxg
Вчера случилась подобная проблема На таком же аппарате только сдвиг произошел в правую сторону.
Все то же самое.
Если кто то сталкивался с такой проблемой отзовитесь что делать: может
-переставить софт;
-почистить Touch Pane;
Или заменить Touch Pane?
Может есть возможность сделать калибровку через меню?

Спасибо за помощь.


Сообщение отредактировал traiduk - Воскресенье, 03.Ноя.2013, 15:33
 
TsSДата: Пятница, 18.Окт.2013, 03:52 | Сообщение # 50
Участник
У вас сообщений: 62
сервисный инженер
OFFлайн
Российская Федерация

Челябинск
Дело было действительно в плате TI board,
данная плата была снята и отдана знакомому электронщику, он нашел пробитую микросхемку и заменил ее
УЗИ заработал, ошибка пропала

Всем спасибо за участие
 
radpalДата: Среда, 02.Апр.2014, 13:27 | Сообщение # 51
Стажер
У вас сообщений: 8
инженер
OFFлайн
Украина

Черновцы
Aplio XG SSA-790A ,версия софта 5.21. Происходит периодически раскалибровка тача, с переодичностю 5-7дней
 
РОМУЛДата: Среда, 02.Апр.2014, 19:22 | Сообщение # 52
У вас сообщений: 830
Ультразвук
OFFлайн
Украина

***
Это никоим образом от софта не зависит, вероятнее всего, проблема с самим тачем. Не обращали внимание, какое количество разных тачей присутствует у тех, кто занимается ремонтом смартфонов? А теперь задайте себе вопрос, с чего бы это...
 
radpalДата: Четверг, 03.Апр.2014, 13:42 | Сообщение # 53
Стажер
У вас сообщений: 8
инженер
OFFлайн
Украина

Черновцы
тач поменяли - не помогло , переустановили софт на 5.0 ,пока работает...
 
intellektДата: Вторник, 25.Ноя.2014, 19:32 | Сообщение # 54
Заглянувший
У вас сообщений: 3
слесарь
OFFлайн
Украина

Магадан
Товарищи ХЭЛП! Надо СЦ мануал на русском языке!!! поделитесь плиз если есть у кого!
 
shtempelДата: Вторник, 25.Ноя.2014, 19:55 | Сообщение # 55
У вас сообщений: 289
инженер
OFFлайн
Российская Федерация

medteh
Сц мануала на русском не бывает.
 
intellektДата: Вторник, 25.Ноя.2014, 20:08 | Сообщение # 56
Заглянувший
У вас сообщений: 3
слесарь
OFFлайн
Украина

Магадан
Цитата shtempel ()
Сц мануала на русском не бывает.

а инструкция?
 
РОМУЛДата: Среда, 26.Ноя.2014, 16:10 | Сообщение # 57
У вас сообщений: 830
Ультразвук
OFFлайн
Украина

***
Цитата intellekt ()
а инструкция?


А инструкцию у поставщика оборудования требуйте! ОБЯЗАНЫ ПРЕДОСТАВИТЬ!!!
 
intellektДата: Среда, 26.Ноя.2014, 17:16 | Сообщение # 58
Заглянувший
У вас сообщений: 3
слесарь
OFFлайн
Украина

Магадан
Цитата РОМУЛ ()
А инструкцию у поставщика оборудования требуйте! ОБЯЗАНЫ ПРЕДОСТАВИТЬ!!!

предоставили - аппарат б/у с инструкцией на английском - медсестры чутка не того уровня чтоб прочесть 500-600стр. и научится юзать аппарат)
вообще все понятно - кроме записи на диск
 
СержантДата: Понедельник, 15.Дек.2014, 16:23 | Сообщение # 59
Участник
У вас сообщений: 105
Инженер по ремонту
OFFлайн
Российская Федерация

Челябинск
Коллеги! Подскажите пожалуйста . Имеется чреспищеводный датчик PET-510MA. В комплекте с ним идёт мегаомметр HIOKI 3451. Нужна инструкция на проведение замеров мегаомметром повреждений от укусов.
 
derwolfДата: Понедельник, 15.Дек.2014, 22:18 | Сообщение # 60
Участник
У вас сообщений: 94
мастер
OFFлайн
Российская Федерация

Москва
http://www.tequipment.net/assets/1/26/Documents/Hioki/3451e_05.pdf

от укусов используют загубники, тестером проверяют сопротивление изоляции,
но сейчас используют измерители токов утечек:
http://ru.flukebiomedical.com/biomedi....D=56832


Сообщение отредактировал derwolf - Понедельник, 15.Дек.2014, 22:19
 
СержантДата: Вторник, 16.Дек.2014, 09:59 | Сообщение # 61
Участник
У вас сообщений: 105
Инженер по ремонту
OFFлайн
Российская Федерация

Челябинск
derwolf
Спасибо. Первая ссылка бесполезна так как инструкция у меня есть и она переведена.Вторая ссылка дала определённый результат так как нашёл фото технологии прозвонки датчика. Я так понимаю у Вас есть опыт проведения контроля изоляции датчика и отсутствия повреждений от укусов. Подскажите плиз правильно ли я понимаю что контролируем целостность наружного чёрного шланга от прокусов по типу проверки целостности диэлектрических перчаток?
 
derwolfДата: Вторник, 16.Дек.2014, 18:54 | Сообщение # 62
Участник
У вас сообщений: 94
мастер
OFFлайн
Российская Федерация

Москва
да, датчик погружается в воду (не менее 60% длинны "глатаемой" части), один контакт помещается в воду (не касаясь датчика), второй через специальный переходник подключается к разъему. Обычно переходник - проводящая резина, кот касается всех контактов разъема.
 
СержантДата: Четверг, 18.Дек.2014, 08:27 | Сообщение # 63
Участник
У вас сообщений: 105
Инженер по ремонту
OFFлайн
Российская Федерация

Челябинск
Есть такой разъём специально для замеров. Лежал в чемодане с датчиком.
 
arny77Дата: Среда, 01.Апр.2015, 19:33 | Сообщение # 64
Стажер
У вас сообщений: 12
инженер
OFFлайн
Российская Федерация

Екатеринбург
Всем привет!
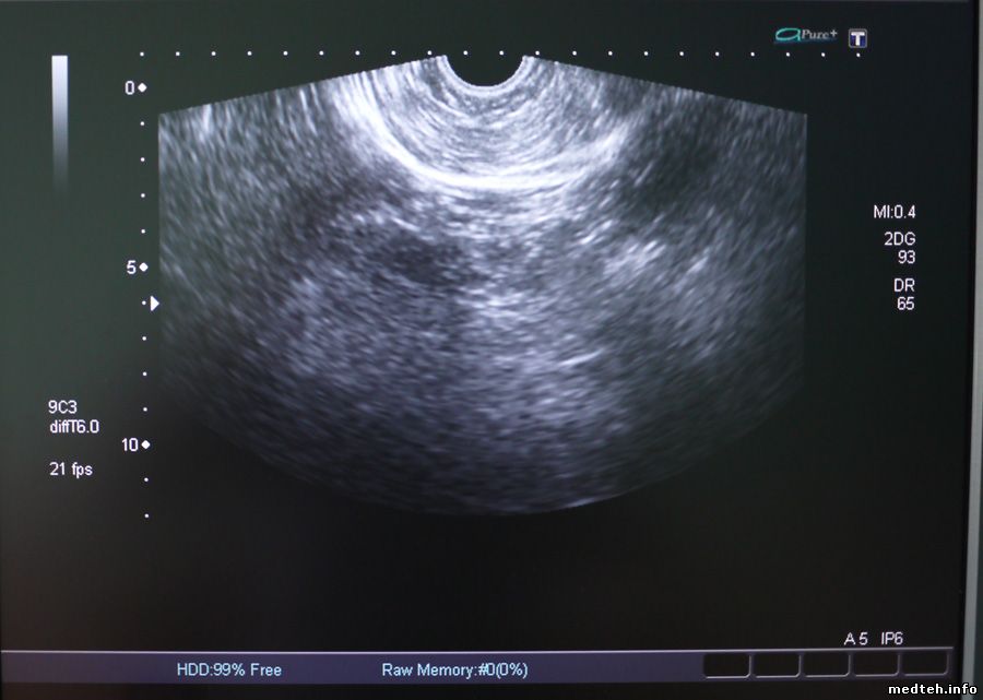
Возникли артефакты при использовании внутриполостного датчика. Чередующиеся радиальные полосы. Датчик подыхает? Или что ещё?
1846560.jpeg (101.2 Kb) · 3904978.jpeg (81.0 Kb)
 
olko13Дата: Среда, 01.Апр.2015, 20:12 | Сообщение # 65
У вас сообщений: 825
инженер
OFFлайн
Украина

Львов
А на других датчиках таких артефактов нет?
 
arny77Дата: Среда, 01.Апр.2015, 20:29 | Сообщение # 66
Стажер
У вас сообщений: 12
инженер
OFFлайн
Российская Федерация

Екатеринбург
Пользователь говорит, что только на вагинальном.
 
olko13Дата: Среда, 01.Апр.2015, 21:47 | Сообщение # 67
У вас сообщений: 825
инженер
OFFлайн
Украина

Львов
А как состоит ситуация с заземлением аппарата?
 
IgorGiДата: Среда, 01.Апр.2015, 23:29 | Сообщение # 68
Завсегдатай
У вас сообщений: 228
инженер
OFFлайн
Российская Федерация

Пятигорск
Радиальные полосы - это множественное переотражение при отсутствии акустического контакта. Проблем с датчиком не видно. Снимок экрана нужно выкладывать целиком, а не только УЗ изображение. В первую очередь надо обратить внимание на правильность выбора вида исследования после выбора датчика.
 
arny77Дата: Четверг, 02.Апр.2015, 08:20 | Сообщение # 69
Стажер
У вас сообщений: 12
инженер
OFFлайн
Российская Федерация

Екатеринбург
Проявляетса только на вагинальном датчике. Остальные -ОК. Сегодня собираюсь туда подьехать , детальнее посмотреть.
 
РОМУЛДата: Четверг, 02.Апр.2015, 15:14 | Сообщение # 70
У вас сообщений: 830
Ультразвук
OFFлайн
Украина

***
Это не датчик. На такой глубине ширина темной зоны была бы как минимум 5 мм. Изучите картинку с линейки, и поменяйте зону фокусировки, частоту датчика. Думаю, проблема в самой системе...
 
arny77Дата: Четверг, 02.Апр.2015, 20:10 | Сообщение # 71
Стажер
У вас сообщений: 12
инженер
OFFлайн
Российская Федерация

Екатеринбург
Заехал таки на объект. Воспроизвести самому(на себе) артефакт не удалось, всё гладко. Датчик как новый, 7 часов наработки. Все автотесты - ОК. Может с пресетами связано? Я тут совсем не шарю, а доктора не было. Источников помех так же не заметил.
6453847.jpg (148.7 Kb) · 9631945.jpg (165.0 Kb)
 
РОМУЛДата: Четверг, 02.Апр.2015, 21:40 | Сообщение # 72
У вас сообщений: 830
Ультразвук
OFFлайн
Украина

***
Никакого криминала не вижу вообще. Пусть эскулапы нащелкают картинок с дефектом, но так, чтобы были видны параметры изображения, в том числе и название пресета...
 
arny77Дата: Воскресенье, 26.Апр.2015, 16:30 | Сообщение # 73
Стажер
У вас сообщений: 12
инженер
OFFлайн
Российская Федерация

Екатеринбург
Всем доброго дня! Попробовали другой датчик - те же артефакты. Проявляются только на одном определённом пресете. В общем, дело в настройках условий. Всем спасибо, тему можно закрыть.
 
darsillДата: Четверг, 28.Май.2015, 20:17 | Сообщение # 74
Участник
У вас сообщений: 65
Инженер
OFFлайн
Грузия

Тбилиси
Из моего опыта работы :
Диски ВСЕХ типов систем требуют 80 Гб места, иногда доступно до 120 Гб, но не более. Нередко диски "обрезают" на аппаратном уровне.
Диски на замену (производителем) готовятся "на базе" и высылаются с установочным диском (DVD) и инструкцией.
После установки надо восстановить все опциональные "ключи" с СД (на СД записан длинный набор цифр кода).
Полноценно копирует диски ТОЛЬКО Norton Ghost (из доступных программ) в режиме ALL (посекторное копирование вместе с BOOT-сектором и MBR), а горячо любимый Акронис пишет только на уровне файловой системы.
После копирования имиджа с наиболее "набитого опциями" и датчиками аппарата на менее навороченный, возникают новые возможности и опции, т.е. переносятся ключи опций вместе с системой - к слову о защите!!!
Разбивка диска на 8 частей и непоследовательное поименование логических разделов (типа C,D,E,R,T,M) и приводов должно совпадать с оригиналом для нормальной работы. Иногда приходится корректировать все вручную. Еще, обычно, создается в разделе D виртуальный диск R (или что-то подобное - Q,P,U) и он представляет из себя папку на Д, из которой грузятся аппликации, т.е. приходится переставлять с ДВД. Это встречаятся на "праворульных" б/у аппаратах из Японии...

P.S. Диски подключать ТОЛЬКО на шлейф компа, желательно имиджи делать-снимать на оригинальной системе и только "ДЛЯ ДИСКА ЦЕЛИКОМ" в режиме диск-диск, а для записи имиджа можно использовать USB-диск или флешку. Приемник для имиджа желательно брать не более 120 Гб, архивацию имиджа выбирать "легкую". Желательно удалять снимки пациентов из системы донора перед копированием - сильно сберегает время и объем!!!


Сообщение отредактировал darsill - Четверг, 28.Май.2015, 20:29
 
РОМУЛДата: Вторник, 02.Июн.2015, 15:52 | Сообщение # 75
У вас сообщений: 830
Ультразвук
OFFлайн
Украина

***
darsill, Вам в ответ ПРАВДА жизни biggrin

Из МОЕГО опыта работы :

1)Диски ВСЕХ типов систем требуют 80 Гб места, иногда доступно до 120 Гб, но не более. Нередко диски "обрезают" на аппаратном уровне.-БРЕХНЯ ПОЛНАЯ!!!
2)Диски на замену (производителем) готовятся "на базе" и высылаются с установочным диском (DVD) и инструкцией.- ПРАВДА, но далеко не вся
3)После установки надо восстановить все опциональные "ключи" с СД (на СД записан длинный набор цифр кода).- ПРАВДА, но опять же далеко не вся. На последних версиях Аплио нужен именно код, и никакие CD с опциями не помогут
4)Полноценно копирует диски ТОЛЬКО Norton Ghost (из доступных программ) в режиме ALL (посекторное копирование вместе с BOOT-сектором и MBR), а горячо любимый Акронис пишет только на уровне файловой системы.- ЧУШЬ!!!!
5)После копирования имиджа с наиболее "набитого опциями" и датчиками аппарата на менее навороченный, возникают новые возможности и опции, т.е. переносятся ключи опций вместе с системой - к слову о защите!!! ---БРЕХНЯ, еще раз БРЕХНЯ, и ПОЛНАЯ БРЕХНЯ! Если в системе была опция постоянно-волнового Допплера (она обычно "железячная"), после такого тупого апгрейда она НИКОГДА работать не будет, равно как и опция 4Д и соответствующий датчик (требуется инициализация через сервис). В результате чего эскулапы порвут Вас как Тузик грелку, и к аппарату Вас больше на пушечный выстрел не подпустят!!!
6)Разбивка диска на 8 частей и непоследовательное поименование логических разделов (типа C,D,E,R,T,M) и приводов должно совпадать с оригиналом для нормальной работы. Иногда приходится корректировать все вручную. - это единственная ПРАВДА из всего выше и ниже описанного
7)Еще, обычно, создается в разделе D виртуальный диск R (или что-то подобное - Q,P,U) и он представляет из себя папку на Д, из которой грузятся аппликации, т.е. приходится переставлять с ДВД. Это встречаятся на "праворульных" б/у аппаратах из Японии... - очередная ЧУШЬ, особенно про "праворульность"

8)P.S. Диски подключать ТОЛЬКО на шлейф компа, желательно имиджи делать-снимать на оригинальной системе и только "ДЛЯ ДИСКА ЦЕЛИКОМ" в режиме диск-диск, а для записи имиджа можно использовать USB-диск или флешку. Приемник для имиджа желательно брать не более 120 Гб, архивацию имиджа выбирать "легкую". Желательно удалять снимки пациентов из системы донора перед копированием - сильно сберегает время и объем!!! - это вообще не буду комментировать, написано при полном непонимании процессов бэкапа/ресторинга

А теперь дополнения.
9) При инсталляции софта с нуля ПОЛНОСТЬЮ калибруется тракт приема-передачи сигнала в купе с БП. Соответственно, при переносе образа с другой системы ГАРАНТИРОВАННО имеете проблемы с качеством картинки
10) При переносе образа с другой системы уплывает калибровка тачскрина
11) Нужно менять настройки панели управления (ну, это так, мелочи...)
12) DICOM: "Мы его теряем!!!..." - и таки ПОТЕРЯЛИ!!!!! Нет двух систем с одинаковыми настройками! DICOM обычно привязан под ID системы и под базы данных. В результате все в кучу Вы просто не соберете....
13) Есть еще нюанс, связанный с различными версиями софта и железа. Не все программные опции совместимы с железом. Плюс есть еще программно-железные опции, например, эластография. И хрен Вы эту опцию без соответствующего железа откроете.

Так что, коллега, не морочьте людям "фаберже", не разобравшись с вопросом...
 
Don_ValentinoДата: Среда, 22.Июл.2015, 14:04 | Сообщение # 76
Стажер
У вас сообщений: 10
Сервисный инженер
OFFлайн
Украина

Черновцы
Приветствую!
У меня на Тошибе появляются артефакты. Однозначно наводки, так как датчик переставляли на другой аппарат - всё гуд.
Кто-то что-то в помещении включает (комп, дрель, управление спутниками...) и сразу появляются наводки.
Как от этого защититься? (Клетку Фарадея делать не буду и даже покраска экранирующей краской - не катит)
Почему именно ЭТОТ кардио-датчик? И почему "пробивает" экран Тошибы?
 
РОМУЛДата: Среда, 22.Июл.2015, 20:04 | Сообщение # 77
У вас сообщений: 830
Ультразвук
OFFлайн
Украина

***
Don_Valentino, мне определенно нравится постановка вопроса! Какая Тошиба, какой датчик - непонятно, никакой картинки с помехами нет, но самое главное -
Цитата Don_Valentino ()
Клетку Фарадея делать не буду и даже покраска экранирующей краской - не катит
- т.е. "ничего делать не собираюсь"! Уважаемый, есть два основных способа борьбы с помехами: 1) найти и устранить источник помехи; 2) сделать защитный контур. Какую такую "экранирующую краску" Вы имели ввиду - непонятно...


Сообщение отредактировал РОМУЛ - Среда, 22.Июл.2015, 20:05
 
ASPMasterДата: Четверг, 23.Июл.2015, 01:47 | Сообщение # 78
Участник
У вас сообщений: 122
сервис ALOKA/HITACHI/FUJI/CHISON
OFFлайн
Российская Федерация

Москва
я встречал датчики со сломанным экраном. фонило с одной стороны датчика.

для начала можно повесить землю на штырек эквипотенциальной поверхности сзади аппарата и проверить изменения помех. можно покатать прибор по учреждению, можно запитать аппарат напрямую от ИБП минуя электросеть. Так можно вычислить, где именно источник помех. Бывает что даже ИБП сами фонят. Может конкретный порт аппарата фонить.

Лучшее решение - устранить помеху (проверьте нет ли подключения сторонних проводов внутрь корпуса - например всякие видеокабели от АРМ врача и т.п.). Второе решение - хорошо заземлить, третье решение - ИБП с двойным преобразователем.

Хотя может это и не наводка вовсе. Она бы проявилась на всех датчиках с большей вероятностью.
 
Don_ValentinoДата: Четверг, 23.Июл.2015, 09:07 | Сообщение # 79
Стажер
У вас сообщений: 10
Сервисный инженер
OFFлайн
Украина

Черновцы
Спасибо откликнувшимся!
Тошиба Aplio XG, PST 30 BT
Источник помех я вчера (методом включения-выключения всех приборов в кабинете) вычислил. Им, подлейшим образом, оказался комп за стенкой.
Судьба компа теперь уже предрешена ))
Но вопрос остаётся: почему именно этот датчик ловит наводки? (этот же датчик на этом же аппарате без зловредного компа работает нормально, этот же датчик на другом аппарате работает нормально, другой датчик на этом же аппарате при наводках злобного компа тоже работает нормально)

2 РОМУЛ: Я имел в виду, что ремонт в кабинете делать не будут, и, соотв., мастерить клетку Фарадея не станут.
Экранирующие краски: (вот первое, что выдал Гугл)
http://simvolt.ua/ekraniruyuschaya-kraska-vch-nch-y-shield-hsf-54.html
 
РОМУЛДата: Четверг, 23.Июл.2015, 13:50 | Сообщение # 80
У вас сообщений: 830
Ультразвук
OFFлайн
Украина

***
Ну, в "зловредном" компе БП под замену. Что касается датчика - возможно повреждение экранирующей оплетки кабеля или проблемы в блоке кристаллов. Нужно видеть своими глазами...
А что касается краски, думаю, это такой же развод, как и "устранители шишек на ногах" biggrin biggrin biggrin Даже если датчик полностью в фольгу замотать, но никаким способом не соединить ее с землей, эффект будет тот же, т.е. никакого эффекта вообще не будет!


Сообщение отредактировал РОМУЛ - Четверг, 23.Июл.2015, 13:55
 
  • Страница 2 из 4
  • «
  • 1
  • 2
  • 3
  • 4
  • »
Поиск:



Статистика Форума
Последние обновления тем: Новые файлы хранилища: Новые участники: Top10 участников:
1. Аппараты НЧ электроте...[aleksan (28.Май.2026)]
2. При операции с примен...[susel63 (28.Май.2026)]
3. Техническая поддержка...[UPZ (25.Май.2026)]
4. MOVIPLAN (УниКоРД-МТ)...[SpirituS (24.Май.2026)]
5. Аппарат магнитотерапе...[SpirituS (24.Май.2026)]
6. Стоматустановка K3 ф....[zizeroman (24.Май.2026)]
7. Анализатор гематологи...[fred1 (22.Май.2026)]
8. ЭХВЧ-400 ск-"Ник...[Olegosh (21.Май.2026)]
9. Анализатор биохимичес...[laverse (19.Май.2026)]
1. Apollo EZ service man...[25.Дек.2025]
2. VIVIX Setup Operation...[12.Окт.2025]
3. GenwareMP[10.Сен.2025]
4. Настройка реагентов M...[20.Авг.2025]
5. Philips HD3-EXP[13.Авг.2025]
6. Рентгеновское оборудо...[08.Авг.2025]
7. VersaMed iVent201 Сер...[13.Фев.2025]
8. Гелпик КРД Ренекс РЦ ...[09.Фев.2025]
9. Офтальмологическая ус...[31.Окт.2024]
10. Cardinal-Health-VELA-...[03.Окт.2024]
1. wenderer861[28.Май.2026]
2. karabas1167[28.Май.2026]
3. Paulus[28.Май.2026]
4. hismatulinaKsenia[28.Май.2026]
5. nefrid12[28.Май.2026]
6. roser362[27.Май.2026]
7. Romany4777[27.Май.2026]
8. RVA-59[27.Май.2026]
9. Dream_29[26.Май.2026]
10. 89503843712[26.Май.2026]
МастерБаку[583]
Yulana34[177]
Serg74[160]
Dimitrius[129]
naves[122]
РОМУЛ[121]
bektyish[121]
madmac[116]
Алекс-200[114]
генаf[112]