[ Новые сообщения · Участники · Правила форума · Поиск · RSS ]



  • Страница 3 из 4
  • «
  • 1
  • 2
  • 3
  • 4
  • »
Модератор форума: STaras, GeorgySmith  
УЗИ Acuson Antares 5.0 ф.Siemens
ruslanshДата: Среда, 02.Ноя.2011, 11:53 | Сообщение # 1
Участник
У вас сообщений: 101
Инженер по обслуживанию мед. оборуд
OFFлайн
Российская Федерация

Екатеринбург
В этой теме собрана вся информация об аппарате УЗИ "Acuson Antares 5.0" фирмы Siemens для того, чтобы в будущем облегчить участникам Форума медтехников поиск ответов на их текущие вопросы.
Одно дело, рыскать по всему форуму с бесчисленным в нём количеством тем о разнообразном оборудовании различных тематик в поисках тем об искомом аппарате (а их насоздано множество), найдя которые, ещё и каждую прочитать. Другое дело, прочитать только одну тему про нужный аппарат, и уже только в ней искать ответ на свой вопрос ...


Все вопросы и пояснения, тем или иным образом, касающиеся этого аппарата, на которые в теме не найдены ответы, и ответы на них необходимо размещать только в этой ТЕМЕ !!! Тем самым, вы намного облегчите другим участникам и посетителям Форума поиск ответов на их вопросы. Да, и просто в получении полезной практической информации об этом аппарате, и о проблемах связанных с ним.

Для руководства и правильного поведения на Форуме и в теме обязательно прочитайте по ссылке с.255.

Не пишите сообщения попусту и от эмоциональных перевозбуждений, не плодите посты-хвосты - это всё удлиняет тему!
В будущем другим её будет
нудно читать ... Да и Форум не цитатник, и не "базар" ... Не нудите цитатами! Старайтесь излагать только своей мысли.

Перед прочтением этой темы рекомендуется предварительно прочитать тему про заземление УЗИ аппаратов со всеми ссылками в ней!

К сведению: на Форуме есть, см. по ссылкам, темы, в которой надлежит размещать сообщения-посты строго в соответствии с их тематикой и ничего иного или лишнего:
- УЗИ Siemens Acuson Antares;
- УЗИ Siemens Acuson Antares PE;
- Siemens Acuson Antares Software version 5.0.


Сообщение отредактировал ruslansh - Среда, 02.Ноя.2011, 11:56
 
StenДата: Суббота, 28.Дек.2013, 02:08 | Сообщение # 81
Участник
У вас сообщений: 85
Ремонт УЗИ
OFFлайн
Беларусь

Минск
Цитата olegp ()
На Антаресе кроме этих цифр есть три десятка светодиодов, может с ними разобраться...

Я сфотографировал светодиоды, но что они значат, я не знаю. Может еще где есть светодиоды?
 
olegpДата: Воскресенье, 29.Дек.2013, 22:00 | Сообщение # 82
Участник
У вас сообщений: 205
Инженер
OFFлайн
Российская Федерация

Набережные Челны
В хранилище, помнится лежал Troubleshooting Guide на Антарес.
На 1499927.jpg 2-й светодиод вообще не горит или просто так угадали? Это "Доступ к HDD"
2042015.jpg (67.4 Kb)
 
kapamedДата: Понедельник, 30.Дек.2013, 17:25 | Сообщение # 83
Участник
У вас сообщений: 108
инженер электронщик МЕДТЕХНИК
OFFлайн
Папуа Новая Гвинея

FAR SOUTH
вытащите CPU плату. Проверьте на вид и надавите на все микросхемы. которые не припаянны непосредственно, а сидят на основаниях.
 
РОМУЛДата: Суббота, 04.Янв.2014, 16:12 | Сообщение # 84
У вас сообщений: 830
Ультразвук
OFFлайн
Украина

***
Слабенькая диагностика blush Если верить траблшутингу, возможны проблемы с любой из плат и блоком питания (там, кстати тоже 8 шт. LEDов есть), а также с firmware...
 
happygidalДата: Вторник, 18.Мар.2014, 10:13 | Сообщение # 85
Стажер
У вас сообщений: 9
инженер по ремонту и обслуживанию
OFFлайн
Беларусь

Минск
Добрый день пользователи форума !
Проблема такая : на фото которое я прикрепил первым виден моргающий диод раньше он моргал, а когда аккумулятор отключаешь просто не горит (система в этот момент загружается до цифры 7 и зависает см.фото) . Я подумал, что аккумулятор отработал свое ведь когда аппарат постоит от 0.5-1 ч то система загружалась и узи работал но работал он не долго через час или может 3 часа зависал и если его перегрузить (выдернуть из сети по другому он не реагировал ) заново начинала моргать лампочка и он мог как загрузится с первого раза, а мог и зависать на цифре 7, а через час взять и после очередного ребута загрузится (не стабильно и не какой хронологии не просматривалось) , при замене аккумулятора от другого узи тоже самое. бывает выдает ошибку о invalid license (в дальнейшем при переходе по ссылке просит ввести password у меня его нет где взять не знаю )- но эта ошибка не понятно когда вылетает может и раз в 100 раз а может и 3 раза подряд .
Жду помощи !!!
9827756.jpg (153.3 Kb) · 3689586.jpg (118.6 Kb) · 9537556.jpg (95.1 Kb) · 5608713.jpg (232.2 Kb) · 0901626.jpg (180.2 Kb) · 8837548.jpg (134.1 Kb)


Сообщение отредактировал happygidal - Вторник, 18.Мар.2014, 10:17
 
РОМУЛДата: Вторник, 18.Мар.2014, 11:40 | Сообщение # 86
У вас сообщений: 830
Ультразвук
OFFлайн
Украина

***
Этот аккумулятор отвечает только за режим STAND-BY, и все. Если он дохлый, выключаться надо ТОЛЬКО через SHUTDOWN. Дата-время на системе слетали? Тогда возможны проблемы с лицензиями. Если с датой проблем не было, возможны глюки системного диска...
 
happygidalДата: Вторник, 18.Мар.2014, 12:39 | Сообщение # 87
Стажер
У вас сообщений: 9
инженер по ремонту и обслуживанию
OFFлайн
Беларусь

Минск
Цитата РОМУЛ ()
Если он дохлый, выключаться надо ТОЛЬКО через SHUTDOWN.

так и выключали, но аппарат зависал и требовался полный ребут, что приводило к рандомной загрузки системы (то опять вылетает ошибка лицензии проверьте файл лицензии то система висла ан цифре 7 ) а потом ан тебе и загрузилась с 4 раза !)
Цитата РОМУЛ ()
Дата-время на системе слетали?

дата не слетает, время показывает странное но не сбивается !
Цитата РОМУЛ ()
Тогда возможны проблемы с лицензиями.

Что делать в этом случае периодически выдает ошибку но потом загружается и дата не слетает!
Цитата РОМУЛ ()
Если с датой проблем не было, возможны глюки системного диска

записывали образ (снятой при покупке аппарата системы) на винчестер от этого узи все равно тоже самое.
 
happygidalДата: Вторник, 18.Мар.2014, 22:24 | Сообщение # 88
Стажер
У вас сообщений: 9
инженер по ремонту и обслуживанию
OFFлайн
Беларусь

Минск
актуально!!!
 
РОМУЛДата: Среда, 19.Мар.2014, 00:28 | Сообщение # 89
У вас сообщений: 830
Ультразвук
OFFлайн
Украина

***
Кстати, со светодиодами у Вас полный порядок!
 
gelikaonДата: Четверг, 09.Окт.2014, 11:50 | Сообщение # 90
Участник
У вас сообщений: 128
инженер по медицинскому оборудовани
OFFлайн
Беларусь

Минск
Добрый день всем. Достался,если я не ошибаюсь, данная машина по наследству. Ситуация на данный момент такова: грузится аппарат и зависает в момент отсчета времени на фоне заставки Siemens Syngo. Есть огромное желание запустить данный аппарат. Бывали ли у кого-нибудь подобные ситуации? заранее благодарю за помощь.
 
gelikaonДата: Пятница, 17.Окт.2014, 14:42 | Сообщение # 91
Участник
У вас сообщений: 128
инженер по медицинскому оборудовани
OFFлайн
Беларусь

Минск
Подскажите пожалуйста, как войти в биос у данного аппарата?
 
zx19Дата: Пятница, 17.Окт.2014, 14:47 | Сообщение # 92
Vse
OFFлайн
Российская Федерация

Саратов
сзади волшебная кнопка есть.
 
gelikaonДата: Пятница, 17.Окт.2014, 15:31 | Сообщение # 93
Участник
У вас сообщений: 128
инженер по медицинскому оборудовани
OFFлайн
Беларусь

Минск
Спасибо.
просто достался данный прибор без единой инструкции к нему.
 
РОМУЛДата: Воскресенье, 19.Окт.2014, 13:44 | Сообщение # 94
У вас сообщений: 830
Ультразвук
OFFлайн
Украина

***
gelikaon, на кой Вам в БИОС нужно? Там ничего интересного нету biggrin
 
shtempelДата: Воскресенье, 19.Окт.2014, 14:27 | Сообщение # 95
У вас сообщений: 289
инженер
OFFлайн
Российская Федерация

medteh
Сегодня ковырял сей аппарат.
Зашёл в биос зажатием клавишь Стрл и Браузер.
 
gelikaonДата: Вторник, 21.Окт.2014, 10:56 | Сообщение # 96
Участник
У вас сообщений: 128
инженер по медицинскому оборудовани
OFFлайн
Беларусь

Минск
Спасибо всем за помощь. действительно,тоже удалось запустить через ctrl + браузер.

Ромул,целью было выставить приоритет устройств при запуске. первоначально не хотел реагировать на установку диска в привод.
 
РОМУЛДата: Вторник, 21.Окт.2014, 13:16 | Сообщение # 97
У вас сообщений: 830
Ультразвук
OFFлайн
Украина

***
Дело в том, что так должно стоять по умолчанию для переинсталляции софта. Если у Вас стояло не так, значит, в БИОСе уже кто-то пошарился... Кстати, а дата у Вас не слетала?
 
gelikaonДата: Вторник, 21.Окт.2014, 15:43 | Сообщение # 98
Участник
У вас сообщений: 128
инженер по медицинскому оборудовани
OFFлайн
Беларусь

Минск
В том то и дело,что там кто-то ковырялся....и понять,что там было сделано невозможно. факт в том,что сейчас зависает при попытке загрузиться с hdd и также зависает при попытке заинсталировать новый софт. и пытался я это сделать с 2-х разных hdd,что на мой взгляд исключает проблему по жесткому диску.

По правде говоря, дату не проверял. сегодня посмотрю,но думаю это не будет показателем,так как неизвестно что было сделано до меня.
 
shtempelДата: Вторник, 21.Окт.2014, 18:54 | Сообщение # 99
У вас сообщений: 289
инженер
OFFлайн
Российская Федерация

medteh
В моём случае апарат не грузился и сам ребутился...оказался банальный перегрев проца.почистил и проверил температуру в биосе.
 
gelikaonДата: Вторник, 21.Окт.2014, 19:39 | Сообщение # 100
Участник
У вас сообщений: 128
инженер по медицинскому оборудовани
OFFлайн
Беларусь

Минск
Shtempel, если бы он у меня ребутился...тогда я бы тоже подумал бы о проце. сейчас грешу на RAM обычно зависания с ней связаны были.

Однако всеже для успокоения души проверю на перегрев проц.
 
РОМУЛДата: Среда, 22.Окт.2014, 01:11 | Сообщение # 101
У вас сообщений: 830
Ультразвук
OFFлайн
Украина

***
Цитата gelikaon ()
сейчас грешу на RAM обычно зависания с ней связаны были


А с чего Вы взяли, что это из-за памяти? Система хоть раз при старте "пищала"?
 
gelikaonДата: Среда, 22.Окт.2014, 10:32 | Сообщение # 102
Участник
У вас сообщений: 128
инженер по медицинскому оборудовани
OFFлайн
Беларусь

Минск
Цитата РОМУЛ ()
А с чего Вы взяли, что это из-за памяти? Система хоть раз при старте "пищала"?


Часто сталкивался с проблемой зависания в обычных стационарных компьютерах, так вот большая часть случаев была как раз именно изза RAM.

Система на самом деле каждый раз издает один "писк" при запуске.
 
IgorGiДата: Среда, 05.Ноя.2014, 22:48 | Сообщение # 103
Завсегдатай
У вас сообщений: 228
инженер
OFFлайн
Российская Федерация

Пятигорск
При включении загорается заставка Сименса, звучат несколько звуковых сигналов, через минуту заставка исчезает, черный экран. Нужен сервис мануал, тот, что в хранилище, для старых моделей. Кто может помочь, скиньте пожалуйста.

Сообщение отредактировал IgorGi - Четверг, 06.Ноя.2014, 23:46
 
IgorGiДата: Четверг, 06.Ноя.2014, 23:44 | Сообщение # 104
Завсегдатай
У вас сообщений: 228
инженер
OFFлайн
Российская Федерация

Пятигорск
Решено. На матплате был подвытащен разъем Front Panel. Обычно он идет на светодиоды состояния (On, HDD). Но здесь по нему контролируется матплата. После включения на семисегментном индикаторе материнки, вместо нуля, высветилась какая-то ошибка, на экране появилось сообщение, что POST нарушен и предлагалось войти в BIOS или отказаться и восстановить прежние значения. Отказался. Перезагрузка и нормальная загрузка аппарата.
 
gelikaonДата: Суббота, 15.Ноя.2014, 11:08 | Сообщение # 105
Участник
У вас сообщений: 128
инженер по медицинскому оборудовани
OFFлайн
Беларусь

Минск
Вообщем удалось запустить сей аппарат. Проблема оказалась имеенно в RAM.

однако при загрузке выдает окно с ошибкой:
System error.
A system error occurred. Restart system to restore functionality.
Service ID US_UFE_0_141114122109

может кто знает, что это за ошибка?тк если закрыть ее,то система продолжает загружаться
 
StenДата: Суббота, 15.Ноя.2014, 11:37 | Сообщение # 106
Участник
У вас сообщений: 85
Ремонт УЗИ
OFFлайн
Беларусь

Минск
Система продолжает загружаться и потом работает??

А что именно с памятью вы сделали?
 
gelikaonДата: Суббота, 15.Ноя.2014, 11:55 | Сообщение # 107
Участник
У вас сообщений: 128
инженер по медицинскому оборудовани
OFFлайн
Беларусь

Минск
Для начала запустил диск с MemTest. выдало очень много ошибок. Затем просто заменил все планки памяти на другие(благо удалось найти DDR1). И после этого система загрузилась и продолжила работу. больше никаких зависаний не было
 
gelikaonДата: Суббота, 15.Ноя.2014, 21:56 | Сообщение # 108
Участник
У вас сообщений: 128
инженер по медицинскому оборудовани
OFFлайн
Беларусь

Минск
Так ктонибудь сталкивался с подобной ошибкой?:

System error.
A system error occurred. Restart system to restore functionality.
Service ID US_UFE_0_141114122109
 
StenДата: Суббота, 15.Ноя.2014, 23:02 | Сообщение # 109
Участник
У вас сообщений: 85
Ремонт УЗИ
OFFлайн
Беларусь

Минск
Возьми другой HDD (желательно). Подключи на двойной шлейф DVD-Rom и HDD.
Заново все проинсталируй с диска для Antares. 95% за то , что ошибка исчезнет и все
начнет отлично работать. После этого обязательно Акронисом образ, чтобы потом не
тратить время на установки с нуля.
 
gelikaonДата: Суббота, 15.Ноя.2014, 23:57 | Сообщение # 110
Участник
У вас сообщений: 128
инженер по медицинскому оборудовани
OFFлайн
Беларусь

Минск
Спасибо. есть одна загвоздка. нету инсталла....есть только на dvd, записанный образ предыдущим инженером...что это за образ и откуда мне не известно.много тут читал, что ставить не родную софтину не жедательно...даже не знаю как сейчас быть.

и да, еще вопрос. сейчас после загрузки (не подключены никакие датчики). курсор бегает по экрану, подсвечивает ативные кнопки, но на нажатие клавиш меню не реагирует, хотя выводит окно с новым пациентом при нажатии соответствующей клавиши. так и должно быть?или чтото с софтом?
 
РОМУЛДата: Воскресенье, 16.Ноя.2014, 02:04 | Сообщение # 111
У вас сообщений: 830
Ультразвук
OFFлайн
Украина

***
Цитата gelikaon ()
System error.
A system error occurred. Restart system to restore functionality.
Service ID US_UFE_0_141114122109


Ошибка чисто софтовая, а то , что курсор "бегает" без подключенных датчиков - норма. Нужно переинсталлировать софт "с нуля" для чистоты проводимых "экскрементов"... И поподробней по поводу имеющегося ДВД. Что на диске есть (полный список)?
 
gelikaonДата: Воскресенье, 16.Ноя.2014, 10:14 | Сообщение # 112
Участник
У вас сообщений: 128
инженер по медицинскому оборудовани
OFFлайн
Беларусь

Минск
Siemens_Antares_5.0SW(200.0.089)_10441149rev.01

Заинсталирую его на другой HDD и посмотрю как будет.
 
gelikaonДата: Воскресенье, 16.Ноя.2014, 10:18 | Сообщение # 113
Участник
У вас сообщений: 128
инженер по медицинскому оборудовани
OFFлайн
Беларусь

Минск
а подробнее. имеем в корне:
boot
efi
source
и несколько .GHS файлов. вообщем точно загрузочный диск.
 
gelikaonДата: Воскресенье, 16.Ноя.2014, 19:44 | Сообщение # 114
Участник
У вас сообщений: 128
инженер по медицинскому оборудовани
OFFлайн
Беларусь

Минск
Взял другой хард. запустил инсталляцию. все прошло успешно. однако при запуске выдало практически идентичное окно:

System error.
A system error occurred. Restart system to restore functionality.
Service ID US_UFE_0_141116081259
 
gelikaonДата: Понедельник, 17.Ноя.2014, 22:21 | Сообщение # 115
Участник
У вас сообщений: 128
инженер по медицинскому оборудовани
OFFлайн
Беларусь

Минск
Подскажите еще один момент. В системе используется в сумме 3ГБ RAM. Реально ли для данного аппарата необходимо такое количесвто оперативы?есть предположение,что меньшее количество памяти не нарушит работу системы и тем более не затормозит ее?!
высказывайте свои мнения
 
StenДата: Вторник, 18.Ноя.2014, 01:09 | Сообщение # 116
Участник
У вас сообщений: 85
Ремонт УЗИ
OFFлайн
Беларусь

Минск
Точно знаю, уменьшать память нельзя. Они ее там по минимуму ставят.
Увеличивать можно;)!
Будет тормозить или вообще не работать.
 
gelikaonДата: Среда, 19.Ноя.2014, 20:01 | Сообщение # 117
Участник
У вас сообщений: 128
инженер по медицинскому оборудовани
OFFлайн
Беларусь

Минск
для входа в local service требует ввести 20-тизначный пароль. Где его можно узнать?
 
gelikaonДата: Среда, 19.Ноя.2014, 20:19 | Сообщение # 118
Участник
У вас сообщений: 128
инженер по медицинскому оборудовани
OFFлайн
Беларусь

Минск
и еще....уважаемые форумчане. промерил напругу на контрольных точках на IO Board и оказалось, что в точке TP9 0В. хотя написано, что должно быть +5MIC

может эта точка должна промеряться не относительно GND?
 
IgorGiДата: Вторник, 25.Ноя.2014, 23:31 | Сообщение # 119
Завсегдатай
У вас сообщений: 228
инженер
OFFлайн
Российская Федерация

Пятигорск
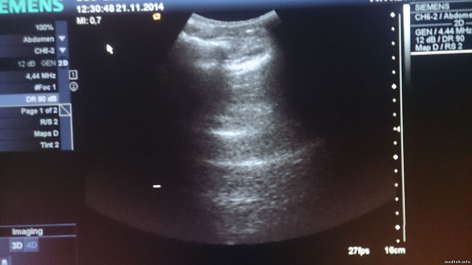
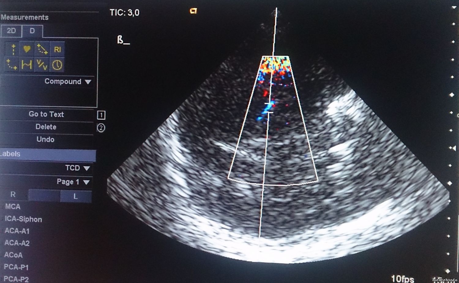
Сразу после включения качество более-менее (рис.1), хотя заметно, что изображение немного "восковое". К концу рабочего дня изображение ухудшается, повышается шум, изображение "плывет" (рис.2,3). На всех датчиках, хуже всего на фазированном. Появилось это давно. Аппарат ремонтировали по гарантии несколько лет назад, что-то меняли. Делали-ли tune-up, неизвестно. Пароля, естественно, нет. Как проконтролировать напряжения? Какие тесты можно сделать?
6706162.jpg (87.1 Kb) · 5294020.jpg (139.9 Kb) · 6206018.jpg (124.9 Kb)
 
РОМУЛДата: Среда, 26.Ноя.2014, 16:20 | Сообщение # 120
У вас сообщений: 830
Ультразвук
OFFлайн
Украина

***
Очень похоже на наводки. Фазированный датчик по жизни в этом плане самый чувствительный. Возьмите его в руку плотненько, не касаясь рабочей поверхности, и посмотрите, что происходит с изображением в Б-режиме, только добавьте усиления. Думаю, вопросы отпадут. А напряжения контролируются на двух блоках с левой стороны, клеммы под защитными крышечками...
 
  • Страница 3 из 4
  • «
  • 1
  • 2
  • 3
  • 4
  • »
Поиск:



Статистика Форума
Последние обновления тем: Новые файлы хранилища: Новые участники: Top10 участников:
1. Анализатор биохимичес...[laverse (19.Май.2026)]
2. Аппарат Luminos 2011 ...[medplus (13.Май.2026)]
3. УЗИ SonoAce X8 ф.Sams...[valentin17 (13.Май.2026)]
4. Анализатор гематологи...[Electronic_Arts (12.Май.2026)]
5. фотополимеризатор Eli...[bubaeshka (12.Май.2026)]
6. Elipar Freelight, пол...[bubaeshka (12.Май.2026)]
7. Двигатель компрессора...[ovg (12.Май.2026)]
8. Термопринтеры ф.SONY:...[Gerter (11.Май.2026)]
9. УВЧ-80 НОВОАН - ЭМА[Parkincjn (11.Май.2026)]
1. Apollo EZ service man...[25.Дек.2025]
2. VIVIX Setup Operation...[12.Окт.2025]
3. GenwareMP[10.Сен.2025]
4. Настройка реагентов M...[20.Авг.2025]
5. Philips HD3-EXP[13.Авг.2025]
6. Рентгеновское оборудо...[08.Авг.2025]
7. VersaMed iVent201 Сер...[13.Фев.2025]
8. Гелпик КРД Ренекс РЦ ...[09.Фев.2025]
9. Офтальмологическая ус...[31.Окт.2024]
10. Cardinal-Health-VELA-...[03.Окт.2024]
1. Sergedjan37[19.Май.2026]
2. Андрей2000[19.Май.2026]
3. vvs13[19.Май.2026]
4. Alexpol26[19.Май.2026]
5. fari_1988_88[19.Май.2026]
6. sourdeer[18.Май.2026]
7. Arsen74[18.Май.2026]
8. Viktornton[16.Май.2026]
9. Marmota[16.Май.2026]
10. kodar[15.Май.2026]
МастерБаку[583]
Yulana34[177]
Serg74[160]
Dimitrius[129]
naves[122]
РОМУЛ[121]
bektyish[121]
madmac[116]
Алекс-200[114]
генаf[112]