[ Новые сообщения · Участники · Правила форума · Поиск · RSS ]



Модератор форума: STaras, GeorgySmith  
Ремонт датчиков всех типов/моделей УЗИ-аппаратов
DenkotДата: Четверг, 29.Июл.2010, 07:50 | Сообщение # 1
OFFлайн
Российская Федерация

.
ВНИМАНИЕ! Прежде чем писать что-то своё в этой теме обязательно прочтите её с самого начала - возможно об этом уже есть информация в теме - дважды и более мусолить одно и тоже не нужно,
и излагайте свои мысли (вопросы/ответы) сразу же полностью по существу рассматриваемой проблемы, а не нудно по каплям с цитатами, иначе полезная тема получится утомительно длинной!


. В этой теме собрана вся информация о проблемах с датчиками УЗИ-аппаратов всех типов и моделей, ссумирован весь опыт их решения, даны технологические приёмы по устранению дефектов и неполадок, и это для того, чтобы в будущем облегчить участникам и посетителям Форума медтехников поиск ответов на их текущие вопросы.

. ВНИМАНИЕ ! Прежде, чем изложить в этой теме своё сообщение (пост), проследите за тем, чтобы тематика вашего сообщения соответствовала ИЗНАЧАЛЬНОЙ тематике темы (в том числе по наименованию, типу/марке, модели аппарата), и чтобы информации, подобной вашей, в ней не было!
. В противном случае –
потрудитесь найти на Форуме тему с нужной вам тематикой! И ТОЛЬКО убедившись, что на Форуме нет таковой обобщающей темы, вы можете создать новую, или обратиться к модераторам за помощью!

. Не пишите сообщения попусту и от эмоциональных перевозбуждений, не плодите посты-хвосты (вместо редактирования своего поста для добавления в него новой информации следующая прямо за ним, в режиме монолога, череда только своих новых постов с этой информацией) – такая манера изложения своих мыслей в теме, их несобранность, удлиняет тему! В будущем другим её будет нудно и тошно читать ...
. А также, не увлекайтесь излишним, необдуманным цитированием, и если вы специалист, то подумайте прежде: нужна ли цитата (а особенно длинная/нудная, да ещё и хуже того - цепочка из цитат ) – поэтому излагайте свои мысли!
. И ещё к сведению и обязательному исполнению см. по ссылке это ТРЕБОВАНИЕ (с.20) ! Не демонстрируйте на Форуме свою неинженерную безграмотность, а тем более, не кичитесь ею! ...

Есть тема: "Проблемы с датчиками ап-тов УЗИ моделей Vivid компании GE".


в изгнании из ордена медтехников, а посему на лички и почты ответить не могу
 
VladykaДата: Четверг, 12.Сен.2019, 20:45 | Сообщение # 481
Участник
У вас сообщений: 187
Инженер-электронщик
OFFлайн
Украина

Донецк(ДНР)
Подскажите, кто-нибудь пробовал использовать эпоксидку при отслойке линзы?

<-------V/'L'@Дb)KA------->
 
chelogДата: Четверг, 12.Сен.2019, 20:51 | Сообщение # 482
Участник
У вас сообщений: 111
инженер
OFFлайн
Российская Федерация

Челябинск
Я нет, но лучше и не надо.
 
renault-userДата: Пятница, 13.Сен.2019, 07:00 | Сообщение # 483
Стажер
У вас сообщений: 42
инженер
OFFлайн
Российская Федерация

ЦФО, там где теплее
А с чего Вы взяли, что гель под линзой?

Я на фото разрыва линзы не вижу, вижу отслоение от согласующего слоя по рабочей поверхности и сбоку.
Дырка под линзу есть?
Кристаллы видно?


26 лет в ремонте ИМТ
 
DmElДата: Пятница, 13.Сен.2019, 17:09 | Сообщение # 484
Заглянувший
У вас сообщений: 3
Стажер
OFFлайн
Российская Федерация

Ярославль
renault-user, кристаллы не видно. Дырки нет.
 
renault-userДата: Пятница, 13.Сен.2019, 22:47 | Сообщение # 485
Стажер
У вас сообщений: 42
инженер
OFFлайн
Российская Федерация

ЦФО, там где теплее
Замечательно. Можно устранить локальную деламинацию, сохранив оригинальную линзу, с гарантией в 6-ть мес.
Если продолжение темы интересно в виде ремонта - пишите в личку.


26 лет в ремонте ИМТ
 
renault-userДата: Четверг, 19.Сен.2019, 12:24 | Сообщение # 486
Стажер
У вас сообщений: 42
инженер
OFFлайн
Российская Федерация

ЦФО, там где теплее
Нашёл два файла касательно чистки и дезинфекции датчиков GE:
3966834.pdf (531.6 Kb) · __Voluson.pdf (108.2 Kb)


26 лет в ремонте ИМТ
 
89057119828Дата: Пятница, 27.Сен.2019, 14:15 | Сообщение # 487
Заглянувший
У вас сообщений: 1
инженер
OFFлайн
Российская Федерация

Москва
Цитата ostrow12 ()
Сделали быстро, но качество посмотрите сами на фото.
3734761.jpg(109.2 Kb)
ostrow12, добрый день.
Я являюсь представителем компании, которая делала Вам линзу. Приносим извинения за выполненные работы (визуальное качество), готовы исправить дефекты линзы. Прошу указать контакты, по которым с Вами можно связаться.
 
renault-userДата: Понедельник, 14.Окт.2019, 21:57 | Сообщение # 488
Стажер
У вас сообщений: 42
инженер
OFFлайн
Российская Федерация

ЦФО, там где теплее
У меня щель между ванной и стенкой лучше сделана, чем эта "линза". О каких "дефектах" там вообще можно говорить?! ...

26 лет в ремонте ИМТ
 
Наталья777Дата: Пятница, 22.Ноя.2019, 13:13 | Сообщение # 489
Заглянувший
У вас сообщений: 1
зав. отд. лучевой диагностики
OFFлайн
Российская Федерация

г Санкт-Петербург
Здравствуйте!
Подскажите, пожалуйста, реально ли починить линейный датчик УЗ аппарата Logiq S6 ?
И сколько это может стоить?
Или может посоветуете, куда обратиться в Санкт-Петербурге?!
Или если это не чинится, то где лучше купить?
Датчик не падал, не ударялся. Мне кажется, что кристаллы целы. Больше похоже, что произошла отслойка поверхностной плёнки, под ней как будто пузырёк воздуха.
Заранее спасибо за ответы.
 
renault-userДата: Понедельник, 25.Ноя.2019, 06:47 | Сообщение # 490
Стажер
У вас сообщений: 42
инженер
OFFлайн
Российская Федерация

ЦФО, там где теплее
Да, реально, причём как вероятный вариант с сохранением оригинальной линзы и гарантией в 6-ть месяцев.
Остальное смотрите в личной почте сайта.
Если продолжение темы интересно в виде ремонта - пишите в личку.


26 лет в ремонте ИМТ

Сообщение отредактировал renault-user - Понедельник, 25.Ноя.2019, 06:49
 
chelogДата: Вторник, 24.Дек.2019, 07:23 | Сообщение # 491
Участник
У вас сообщений: 111
инженер
OFFлайн
Российская Федерация

Челябинск
Добрый день.
Есть кто изготавливает колпачки для 3D датчиков GE?
Моя почта: and.adio@mail.ru .
 
renault-userДата: Пятница, 27.Дек.2019, 06:22 | Сообщение # 492
Стажер
У вас сообщений: 42
инженер
OFFлайн
Российская Федерация

ЦФО, там где теплее
Какие нужны?

26 лет в ремонте ИМТ
 
VladykaДата: Четверг, 23.Янв.2020, 22:24 | Сообщение # 493
Участник
У вас сообщений: 187
Инженер-электронщик
OFFлайн
Украина

Донецк(ДНР)
Добрый вечер.
Подскажите, пожалуйста, какие варианты можете предложить, чтобы победить "мозоль" на линзе вагинального датчика Sonoscape 6000 ? (темнота в этой области на экране см.фото.)
7025377.jpg (57.2 Kb)


<-------V/'L'@Дb)KA------->

Сообщение отредактировал Vladyka - Четверг, 23.Янв.2020, 22:27
 
renault-userДата: Пятница, 24.Янв.2020, 22:17 | Сообщение # 494
Стажер
У вас сообщений: 42
инженер
OFFлайн
Российская Федерация

ЦФО, там где теплее
Предварительно, если деламинация не на очень большой площади, то её устранение, с сохранением оригинальной линзы.
См. личку.


26 лет в ремонте ИМТ
 
ahellДата: Среда, 19.Фев.2020, 13:14 | Сообщение # 495
Заглянувший
У вас сообщений: 3
медтехник
OFFлайн
Российская Федерация

Тула
Добрый день.
Может кто сталкивался, УЗ аппарат DP 50 от Mindray, излучатель 75L38EA, при подключении к апарату появляются полосы, вроде как работает, но через 5 сек изображение пропадает.
 
akindinovnaДата: Среда, 26.Фев.2020, 14:51 | Сообщение # 496
Заглянувший
У вас сообщений: 2
инженер
OFFлайн
Российская Федерация

Архангельск
Здравствуйте!
Подскажите, чем лучше заклеить муфту кабеля?
Сам кабель ещё пока целый.
7638982.jpg (149.7 Kb)
 
servicemanДата: Четверг, 27.Фев.2020, 11:18 | Сообщение # 497
Участник
У вас сообщений: 53
сервисный инженер
OFFлайн
Российская Федерация

псков
Манжета термоусаживаемая
7422269.jpg (56.7 Kb)


Сообщение отредактировал serviceman - Четверг, 27.Фев.2020, 11:20
 
Sim25Дата: Вторник, 10.Мар.2020, 17:45 | Сообщение # 498
Стажер
У вас сообщений: 15
нет
OFFлайн
Российская Федерация

Обнинск
Здравствуйте!
Voluson E6 сегодня датчик RAB2-5 начал выдавать помехи при исследовании.
Остальные датчики в норме, местами менял, всю возможную технику в округе выключал, визуально датчик целый.
Подскажите, пожалуйста, датчик на ремонт или есть какие-нибудь варианты?
Заранее спасибо!
Аппарату и датчику лет 5-6.
 
chelogДата: Вторник, 10.Мар.2020, 19:21 | Сообщение # 499
Участник
У вас сообщений: 111
инженер
OFFлайн
Российская Федерация

Челябинск
Подскажите, какие помехи? Фото есть? Или видео?
 
renault-userДата: Понедельник, 16.Мар.2020, 18:34 | Сообщение # 500
Стажер
У вас сообщений: 42
инженер
OFFлайн
Российская Федерация

ЦФО, там где теплее
Для начала, если порты-разъемы плоские, почистите все хорошо.
В других портах что с датчиком, пробовали?
И помехи в 2D или только в 3/4D? ...


26 лет в ремонте ИМТ
 
IrishstyleДата: Среда, 18.Мар.2020, 17:07 | Сообщение # 501
Стажер
У вас сообщений: 35
Инженер
OFFлайн
Российская Федерация

Краснодар
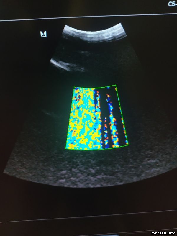
Добрый день.
Имеем филиповский датчик С5-2, аппарат перестал его видеть (на других аппаратах проверяли).
В чём может быть причина, кто сталкивался?
Механически не повреждён.
 
Ned-TechДата: Суббота, 02.Май.2020, 16:26 | Сообщение # 502
Стажер
У вас сообщений: 5
Injener
OFFлайн
Азербайджан

Baku
С дихлоретаном в полне можете склеить.
 
chelogДата: Среда, 03.Июн.2020, 20:10 | Сообщение # 503
Участник
У вас сообщений: 111
инженер
OFFлайн
Российская Федерация

Челябинск
Добрый день.
Помехи появляются при касании датчика по линзе, на ЦДК при этом помехи.
Датчик проверяли на двух разных УЗИ в разных районах.
Кто сталкивался с такими помехами? ...
8953008.jpg (40.7 Kb) · 7252899.jpg (37.9 Kb) · 0094548.jpg (47.8 Kb)
 
mazahaka797Дата: Четверг, 11.Июн.2020, 11:18 | Сообщение # 504
Стажер
У вас сообщений: 35
field service engineer
OFFлайн
Российская Федерация

msk
chelog, вероятно, повреждена линза, ещё нарушение экрана у датчика.
 
UmaSvДата: Понедельник, 09.Ноя.2020, 09:04 | Сообщение # 505
Заглянувший
У вас сообщений: 3
Биомедицинские технические системы
OFFлайн
Российская Федерация

Москва
Добрый день!
Подскажите, пожалуйста, в чем может быть проблема с датчиком?
На изображении сверху заметен сектор темнее остальных, создающий своего рода "тень", врачам мешает. При движении металлического предмета по поверхности линзы сектор в этом месте не исчезает, но тускнеет(менее яркий,чем в других частях сектора). Датчик вагинальный. С краю имеется небольшое повреждение линзы. В этом месте дефекта на изображении нет.
5377470.jpg (120.8 Kb) · 4425392.jpg (114.1 Kb) · 4316324.jpg (72.2 Kb) · 5838587.jpg (119.7 Kb)
 
chelogДата: Понедельник, 09.Ноя.2020, 19:34 | Сообщение # 506
Участник
У вас сообщений: 111
инженер
OFFлайн
Российская Федерация

Челябинск
Добрый день.
Вышлите, пожалуйста, фото линзы датчика.
Если немного придавить на линзу, тень уходит?
P.S. Зачем водить Ме предметом, я не понимаю.
 
UmaSvДата: Вторник, 10.Ноя.2020, 08:16 | Сообщение # 507
Заглянувший
У вас сообщений: 3
Биомедицинские технические системы
OFFлайн
Российская Федерация

Москва
Не уходит. В данном случае, наверное, было необязательно водить каким-то предметом. А вообще, чтобы проверить ПК. Если "выбиты", то в этом месте на секторе будет "провал". Разве нет? ...
9643944.jpg (24.5 Kb) · 9487175.jpg (89.1 Kb)
 
chelogДата: Вторник, 10.Ноя.2020, 16:42 | Сообщение # 508
Участник
У вас сообщений: 111
инженер
OFFлайн
Российская Федерация

Челябинск
Похоже, что у вас есть повреждение ПК, но возможно, что может проблема в разъёме.
Если пару ПК у вас неисправны, то как раз примерно такое поле будет невидным.
Сектор выпадает, когда есть повреждение нескольких рядом (по моему опыту).
 
renault-userДата: Четверг, 19.Ноя.2020, 07:29 | Сообщение # 509
Стажер
У вас сообщений: 42
инженер
OFFлайн
Российская Федерация

ЦФО, там где теплее
С такой дыркой в линзе Вы планомерно убиваете датчик, и судя по теням у Вас это получается неплохо.
Мы однозначно можем помочь решить Ваши проблемы. остальное написал Вам в личный ящик.


26 лет в ремонте ИМТ
 
Alex-ALOKAДата: Вторник, 14.Сен.2021, 16:42 | Сообщение # 510
Участник
У вас сообщений: 149
инженер
OFFлайн
Российская Федерация

MСК
Подскажите, как проверить трёхмерный датчик от Voluson730 Pro. Имеется один датчик RAB2-5L и один прибор.
При попытке включить 3D датчик начинает двигаться, но прибор пишет ошибку - нет сигнала позициоирования.
Нужно определить, в датчик лезть или в плату моторконтроллера.
Подскажите, на каких выводах разъёма должен быть сигнал с датчика положения, и как он выглядит?


Оф.сервис Aloka-Hitach, KLS-Martin
 
chelogДата: Вторник, 14.Сен.2021, 16:49 | Сообщение # 511
Участник
У вас сообщений: 111
инженер
OFFлайн
Российская Федерация

Челябинск
Посмотрите канал "Medtehnik" на Ютубе про ремонты датчиков.
 
efecelebiДата: Среда, 15.Сен.2021, 14:31 | Сообщение # 512
Участник
У вас сообщений: 132
Electronic Technician
OFFлайн
Германия

Bavyera
Цитата Alex-ALOKA ()
3D sensörü açmaya çalıştığınızda hareket etmeye başlıyor ancak cihaz bir hata yazıyor - konumlandırma sinyali yok. Sensöre mi yoksa motor kontrol kartına mı tırmanılacağını belirlemek gerekir.
Does the sensor part move? If the answer is no, the rope may be broken. If the answer is yes, the magnet that meets the hall effect sensor on the sensor tray may have fallen.

Сенсорная часть двигается? Если ответ отрицательный, веревка может быть порвана. Если ответ положительный, возможно, упал магнит, который соответствует датчику Холла на лотке датчиков.

Sensör kısmı hareket ediyor mu? Cevap hayır ise halat kopmuş olabilir. Cevap evet ise sensör tablası üzerinde bulunan hall efekt sensör karşılayan mıknatıs düşmüş olabilir.
 
renault-userДата: Пятница, 01.Окт.2021, 23:36 | Сообщение # 513
Стажер
У вас сообщений: 42
инженер
OFFлайн
Российская Федерация

ЦФО, там где теплее
Цитата chelog ()
Посмотрите канал "Medtehnik" на Ютубе про ремонты датчиков.
Лучше не смотрите ...


26 лет в ремонте ИМТ

Сообщение отредактировал renault-user - Пятница, 01.Окт.2021, 23:37
 
Sim25Дата: Понедельник, 29.Ноя.2021, 11:29 | Сообщение # 514
Стажер
У вас сообщений: 15
нет
OFFлайн
Российская Федерация

Обнинск
Здравствуйте!
Подскажите, пожалуйста, компанию в Москве, ЦФО где можно отремонтировать датчик Voluson E6, RAB6-D, официалы ремонтировать не берутся, рекомендуют замену (все бы хорошо, если бы не ценник).
При перемещении кабеля датчика - шумы, при касании корпуса - внешняя наводка.
Залом кабеля, но возможно это не вся проблема:(
 
renault-userДата: Понедельник, 29.Ноя.2021, 21:43 | Сообщение # 515
Стажер
У вас сообщений: 42
инженер
OFFлайн
Российская Федерация

ЦФО, там где теплее
Sim25, написал в личку.

26 лет в ремонте ИМТ
 
piton-nskДата: Понедельник, 22.Авг.2022, 07:23 | Сообщение # 516
Заглянувший
У вас сообщений: 3
техник
OFFлайн
Российская Федерация

Новосибирск
Добрый день!
Подскажите, в Новосибирске датчики ремонтирую, и кто?
 
avtocardioДата: Вторник, 13.Сен.2022, 07:40 | Сообщение # 517
Стажер
У вас сообщений: 8
Медтехник
OFFлайн
Украина

Кривой Рог
Друзья, добрый день.
Очень хорошие люди и просто хорошие доктора из урологии попросили меня помочь с ремонтом датчика УЗИ ESAOTE 2D.
Когда провод перегибается, то часть изображения пропадает и появляются чёрные лучи. Это по словам докторов.
Третий день ломаю голову, чтобы разобрать датчик. Боюсь сломать корпус. Там 50-т коаксиальных проводов.
Денег с них за ремонт принципиально брать не буду, т.к.они хотят ремонтировать его за свой счёт, а старт такого ремонта от 200€.
Эти люди просто мне очень помогли в своё время и отказывались брать деньги за свои услуги.
Подскажите, пожалуйста, что и как сделать! ...
 
chelogДата: Вторник, 13.Сен.2022, 08:18 | Сообщение # 518
Участник
У вас сообщений: 111
инженер
OFFлайн
Российская Федерация

Челябинск
Добрый день.
Разобрать корпус (он склеен). Далее каждый провод перепаять на своё место.
 
avtocardioДата: Вторник, 13.Сен.2022, 08:28 | Сообщение # 519
Стажер
У вас сообщений: 8
Медтехник
OFFлайн
Украина

Кривой Рог
chelog, боюсь сломать ...
.

Посмотрите эти Tребования!
1650300.jpg (116.2 Kb) · 7206793.jpg (90.5 Kb) · 6057704.jpg (118.0 Kb) · 5876846.jpg (128.3 Kb) · 7666472.jpg (104.3 Kb)
 
avtocardioДата: Вторник, 13.Сен.2022, 09:54 | Сообщение # 520
Стажер
У вас сообщений: 8
Медтехник
OFFлайн
Украина

Кривой Рог
chelog, можно сказать, его пластик я отклеил, но что не даёт его разобрать полностью.
Нет ли там каких-то внутренних креплений или фиксаторов?
 
Поиск:



Статистика Форума
Последние обновления тем: Новые файлы хранилища: Новые участники: Top10 участников:
1. Анализатор поля зрени...[SpirituS (04.Дек.2025)]
2. Программный комплекс ...[mqubali (04.Дек.2025)]
3. Кардиорегистратор «ИК...[albano18 (04.Дек.2025)]
4. Thermo Scientific gem...[viggen (03.Дек.2025)]
5. Центрифуга CM-6M ф.El...[Ningen64 (03.Дек.2025)]
6. Дефибриллятор Defi B ...[san-che30 (02.Дек.2025)]
7. Коллиматор Ralco R 22...[seeker (02.Дек.2025)]
8. КУПЛЮ/ПРИМУ в дар при...[seabee (02.Дек.2025)]
9. Центрифуга MiniSpin P...[AntonioPetty (01.Дек.2025)]
1. VIVIX Setup Operation...[12.Окт.2025]
2. GenwareMP[10.Сен.2025]
3. Настройка реагентов M...[20.Авг.2025]
4. Philips HD3-EXP[13.Авг.2025]
5. Рентгеновское оборудо...[08.Авг.2025]
6. VersaMed iVent201 Сер...[13.Фев.2025]
7. Гелпик КРД Ренекс РЦ ...[09.Фев.2025]
8. Офтальмологическая ус...[31.Окт.2024]
9. Cardinal-Health-VELA-...[03.Окт.2024]
10. Service Manual HAMILT...[02.Окт.2024]
1. igogoigogo[05.Дек.2025]
2. 1rishka[04.Дек.2025]
3. L_V_N[04.Дек.2025]
4. ИвановИИ[04.Дек.2025]
5. Alex_U[04.Дек.2025]
6. Yarikus03[03.Дек.2025]
7. EvaLen[03.Дек.2025]
8. dankurets[03.Дек.2025]
9. Velis1566[03.Дек.2025]
10. xloaders[03.Дек.2025]
МастерБаку[583]
Yulana34[177]
Serg74[160]
Dimitrius[129]
naves[122]
РОМУЛ[121]
bektyish[121]
madmac[116]
Алекс-200[114]
begun_a[112]