[ Новые сообщения · Участники · Правила форума · Поиск · RSS ]



Модератор форума: STaras, GeorgySmith  
УЗИ ап-ты брендов Medison и Samsung Medison - о всех моделях
OrdamedДата: Вторник, 25.Май.2010, 08:36 | Сообщение # 1


Компания Medison Co., Ltd. с торговым брендом "Medison" образовалась в 1985 г., когда впервые в Республике Корея (Южная Корея) был разработан аппарат для ультразвукового исследования.
В конце 2010 г. компания Samsung Electronics выкупила контрольный пакет акций компании Medison Co., Ltd. и 25 апреля 2011 г. она официально вошла в состав корпорации Samsung как новое медицинское бизнес-подразделение. Теперь это бренд - "Samsung Medison".

Интересуетесь этими аппаратами? ... У вас появились проблемы? ... Нужна помощь? ...
Всем помогу советом по всем моделям.

Просьба:
- называть официальное наименование модели аппарата, а не свою ОТСЕБЯТИНУ (см. РУ );
- изъясняться понятным инженерным языком, используя технически правильные определения, а не укороченные до примитивизма жаргонизмы;
- обязательно писать грамотно, лаконично излагая мысли.

.

Каталог аппаратов для УЗИ компании Samsung Medison и о их предназначении см. по ссылке ЗДЕСЬ

Определение года выпуска УЗ аппаратов бренда "Samsung Medison".

Есть также по нижеуказанным ссылкам специализированные темы:
- УЗИ SA-8000 ф.Samsung Medison;
- УЗИ SA-8000 EX ф.Samsung Medison;
- УЗИ SA-8000 EX-Exp-CW ф.Samsung Medison;
- УЗИ SA-8000 EX PRIME ф.Samsung Medison;
- УЗИ SA-8000 LIVE ф.Samsung Medison;
- УЗИ SA-8000 LV ф.Samsung Medison;
- УЗИ SA-8000 LV-Exp ф.Samsung Medison;
- УЗИ SA-8000 SE ф.Samsung Medison;
- УЗИ MySono 201 ф.Samsung Medison;
- УЗИ Accuvix XG ф.Samsung Medison.
Темы об иных моделях УЗ аппаратов бренда "Samsung Medison" см. по адресу - https://www.medteh.info/forum/57-0-1-0-10-1-[Medison]
В них и надо писать свои сообщения, чтобы коллегам не блуждать в поиске нужного по этой длинной теме ...

.
 
KortДата: Суббота, 06.Сен.2014, 12:13 | Сообщение # 361
Участник
У вас сообщений: 71
Инженер
OFFлайн
Российская Федерация

Raavski
Из документации на V10/X8. Но программа в V20 та же и коды ошибок, сдается мне, тоже идентичные:
RTC_READY_ERROR_IN_COMMAND_SEND
116
Cause: BE BOARD
 
Lesley85Дата: Суббота, 06.Сен.2014, 21:31 | Сообщение # 362
Участник
У вас сообщений: 124
Инженер
OFFлайн
Российская Федерация

Nameless
Kort, спасибо.
Подскажите, BE Board, а что это за плата, и где можно мануал скачать?
 
AlexiumДата: Воскресенье, 07.Сен.2014, 10:51 | Сообщение # 363
Инженер медтехник
OFFлайн
Российская Федерация

Саратов
Цитата Lesley85 ()
BE Board - а что это за плата

Back End Board - отвечает за связь FrontEnd - части УЗИ с BackEnd частью УЗИ (компьютером).
Цитата Lesley85 ()
где можно мануал скачать?

У Медиэйс.
 
KortДата: Воскресенье, 07.Сен.2014, 12:11 | Сообщение # 364
Участник
У вас сообщений: 71
Инженер
OFFлайн
Российская Федерация

Raavski
У Медиэйса нет мануалов. (
Я на Дотмеде нашел. Там и все пароли есть ко всем версиям аппаратов.
 
creytДата: Воскресенье, 07.Сен.2014, 13:48 | Сообщение # 365
У вас сообщений: 546
техник
OFFлайн
Российская Федерация

Кузня
Кто подскажет какие напряжения выдаёт блок питания на R3.
У меня 97. -97. 12. -12. 5. 3,7?. 0,7?


у меня все диоды болят

Сообщение отредактировал creyt - Воскресенье, 07.Сен.2014, 15:32
 
rinzhakДата: Воскресенье, 05.Окт.2014, 16:57 | Сообщение # 366
Участник
У вас сообщений: 186
инженер
OFFлайн
Казахстан

Петропавловск
господа, подскажите, что за плата на фото: модель УЗИ Medison SA9900
9104749.jpg (139.2 Kb)
 
AlexiumДата: Воскресенье, 05.Окт.2014, 20:52 | Сообщение # 367
Инженер медтехник
OFFлайн
Российская Федерация

Саратов
Цитата rinzhak ()
подскажите, что за плата на фото:

Motherboard PC-3-2E.
 
VahrameevAAДата: Вторник, 14.Окт.2014, 15:34 | Сообщение # 368
Заглянувший
У вас сообщений: 2
инженер
OFFлайн
Российская Федерация

Каменск-Уральский
Цитата agizzzz ()
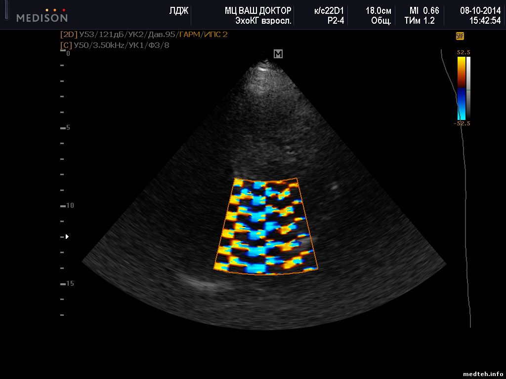
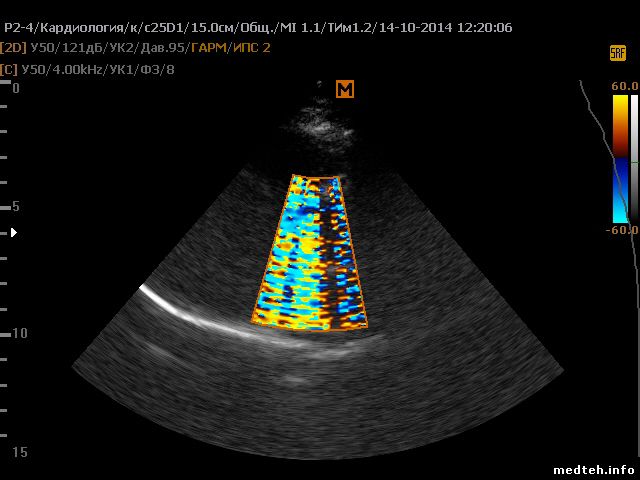
Здравствуйте! Помогите пожалуста кто чем может ) Sonoace X8 выдаёт картинку с помехами в режиме цветного доплера с настройкой TCD на кардио датчике P2-4AH. Причем на записи никаких помех нет. Покаывает вот такую картинку:
2583813.jpg(138Kb)


Здравствуйте! Что-то похожее и у меня. Сканер Sonoace R7, фазированный датчик P2-4AH. На кардиопрограмме при включении цветного допплера видим странную колористику, что на скриншотах в приложении. Также я записал клип https://yadi.sk/i/QQGNiI1UbznFv , на котором видна вертикальная "рябь" с определенной частотой. Исходные данные:
- сканер 2013 г.р., гарантия закончилась 5 месяцев назад
- подключен по схеме "сетевой фильтр" - "бесперебойник Schneider Electric", земляной провод в розетке, отдельного заземления нет
- ТО еще не проводилось
- проблема появляется хаотично (1 раз в неделю в течение 2-х недель раньше, на этой неделе второй день подряд)
- лечится тоже само и хаотично: врач посмотрит 20 - 120 минут других пациентов другими датчиками, потом проверяет фазированный - а он работает ;(
- остальные 2 подключенных датчика нормально работают во всех режимах, в том числе и в допплеровских
- переключение датчика в другое гнездо не помогает
- вчера проблему решило полное выключение и включение аппарата вместе с бесперебойником, сегодня уже не помогло

Прошу помощи и совета.
5756214.jpg (114.3 Kb) · 0310322.jpg (219.0 Kb)
 
IgorGiДата: Четверг, 23.Окт.2014, 00:26 | Сообщение # 369
Завсегдатай
У вас сообщений: 228
инженер
OFFлайн
Российская Федерация

Пятигорск
Очень похоже на программный сбой, особенно 2 картинка. При таких скоростях и частоте доплера на этом усилении изображение должно быть чистым. Попробуйте сменить режим цветного доплера на энергетический. Если при этом изображение нормализуется, то ПО. Если нет - вероятно датчик. Но я бы первым делом обновил ПО.
 
vitankomДата: Четверг, 30.Окт.2014, 10:33 | Сообщение # 370
Стажер
У вас сообщений: 5
врач
OFFлайн
Российская Федерация

Гагарин
Здравствуйте, аппарат V10. После выхода из строя ИПБ (заменен на новый) стал "глючить" аппарат.
При включении выдает ошибку и в процессе работы однажды выскочил "синий" экран.
0474538.jpg (218.4 Kb) · 7842611.jpg (343.6 Kb)


Сообщение отредактировал vitankom - Четверг, 30.Окт.2014, 11:13
 
navesДата: Четверг, 30.Окт.2014, 12:50 | Сообщение # 371
У вас сообщений: 1070
программист
OFFлайн
Российская Федерация

Москва
Красная надпись с таким текстом обычно появляется после неудачного старта материнской платы, при этом плата либо сама перезапускается либо принудительно извне.
Собственно сам текст говорит о том, что в настройках BIOS выставлены некорректные параметры, могут быть завышены рабочие частоты памяти и процессора.
Зайдите в биос и поставьте параметры памяти на AUTO (by SPD)
Возможно села батарейка BIOS, но обычно тогда другая ошибка о сбросе значений или их некорректности.
Так же имеет смысл проверить память на ошибки через Memtest и значения SMART жесткого диска.
 
vitankomДата: Понедельник, 03.Ноя.2014, 12:13 | Сообщение # 372
Стажер
У вас сообщений: 5
врач
OFFлайн
Российская Федерация

Гагарин
Благодарю, вынули все питающие шнуры, присоединили заново - все нормально заработало. Похоже извне ИБП "излучал" неверные сигналы в сторону мат. платы.

Сообщение отредактировал vitankom - Понедельник, 03.Ноя.2014, 15:15
 
rudakovДата: Вторник, 09.Дек.2014, 07:21 | Сообщение # 373
Участник
У вас сообщений: 55
электронщик
OFFлайн
Российская Федерация

Новосибирск
blush Медисон Сонайс Х6: глючит при запуске, как будто двойная оперативка установлена. Но самое главное- измерения завышен. Никаких данных нет, не знаю даже как войти в Админ. Помогите!
 
highvoltageДата: Среда, 10.Дек.2014, 17:23 | Сообщение # 374
Стажер
У вас сообщений: 13
инженер
OFFлайн
Российская Федерация

Не столица
Привет!
Кто нибудь менял ползунковые потенциометры (TGC) на сканере XG? Следующая маркировка 336C-50KB. Гуглил - не нашел. Отдельно у медиэйс не продается, ау больницы покупать новую плату нет средств.
 
ilinalexДата: Четверг, 12.Фев.2015, 11:48 | Сообщение # 375
Стажер
У вас сообщений: 10
Медтехник
OFFлайн
Российская Федерация

Владивосток
Всем привет помогите подскажите можно ли к MySonoU6 подключить лазерный принтер ? если да то какие модели.
И как возможно активировать функцию DICOM
 
Papa_CarloДата: Четверг, 12.Фев.2015, 13:03 | Сообщение # 376
Стажер
У вас сообщений: 47
Специалист по Буратинам
OFFлайн
Российская Федерация

San Miniato al Monte
Для активации DICOM надо приобрести лицензию в Медиэйс, после чего вам сообщат пароль для активации.
А лазерник зачем? На расходниках к нему разориться? Купите обычный видеопринтер, дешевле выйдет.
 
SvetaslavДата: Четверг, 19.Фев.2015, 16:56 | Сообщение # 377
Участник
У вас сообщений: 108
инженер-электроник
OFFлайн
Российская Федерация

Владимир
Всем привет! Проводил ТО на 8000EX, уже не первый раз, всё как обычно, но после сборки при загрузке выдаёт следующую надпись: System error ...Error code: 41. И предлагает перезагрузиться. Может кто подскажет расшифровку ошибки. СПАСИБО заранее!
Передёрнули все платы в корзине и сканер нормально загрузился. Всем спасибо. Если у кого есть коды ошибок- поделитесь в файлохранилище, пожалуйста.


Сообщение отредактировал Svetaslav - Пятница, 20.Фев.2015, 09:41
 
AndBovДата: Вторник, 16.Июн.2015, 20:43 | Сообщение # 378
Стажер
У вас сообщений: 23
нету
OFFлайн
Казахстан

Атбасар
Всем доброго времени суток!
Ребята, помогите с образом на узи MEDISON SA8000 SE. Нигде не могу найти!
Машина на Линуксе, полетел жесткий диск до такой степени, что даже Виктория не определяет его. Нашел один образ здесь на другой ветке, но он похоже нерабочий - аппарат начинает грузится пишет "LI", мигает курсор и все!!!
Если у кого есть выложите ссылку на образ или залейте в файлообменник, буду очень признателен!


Если есть хоть один шанс на милион, что случится неприятность - то она обязательно случится!!!
 
navesДата: Среда, 17.Июн.2015, 01:10 | Сообщение # 379
У вас сообщений: 1070
программист
OFFлайн
Российская Федерация

Москва
http://www.altlinux.org/Восстановление_загрузочной_записи
Используйте любой livecd с линуксом и по инструкции для восстановления загрузки LILO в ручном режиме


Сообщение отредактировал naves - Среда, 17.Июн.2015, 01:13
 
AndBovДата: Вторник, 23.Июн.2015, 06:43 | Сообщение # 380
Стажер
У вас сообщений: 23
нету
OFFлайн
Казахстан

Атбасар
Цитата naves ()
http://www.altlinux.org/Восстановление_загрузочной_записи Используйте любой livecd с линуксом и по инструкции для восстановления загрузки LILO в ручном режиме


Спасибо за информацию, но проблема не решена. Или линукс не тот или аппарат или не известно что!!! Все делал по инструкции как написано, но эта инструкция наверно не для этого линукса который стоит в SA8000SE, так как некоторые команды не проходят.
Нашел такой же жесткий как и стоял в аппарате, залил образ и теперь грузиться стал по другому, но все равно не загружается выдает при загрузке набор символов - сначала как машинный код "010101010101и т.д.", потом набор символов, фото прикрепляю.
Что делать даже не могу предствить, думаю все таки образ битый, так как на простом компе этот образ так же не грузится, хотя другие линуксы спокойно запускаются!
Может кто поделится образом с рабочего аппарата? так как других решений проблемы не вижу!

Так же вопрос , кто знает есть ли разница между аппаратами SA8000SE и SE8000SE-EXP или это один и тот же аппарат?
9193235.jpg (219.7 Kb)


Если есть хоть один шанс на милион, что случится неприятность - то она обязательно случится!!!

Сообщение отредактировал AndBov - Вторник, 23.Июн.2015, 06:46
 
navesДата: Вторник, 23.Июн.2015, 12:37 | Сообщение # 381
У вас сообщений: 1070
программист
OFFлайн
Российская Федерация

Москва
а можно ссылку на образ?
 
AndBovДата: Вторник, 23.Июн.2015, 21:11 | Сообщение # 382
Стажер
У вас сообщений: 23
нету
OFFлайн
Казахстан

Атбасар
Цитата naves ()
а можно ссылку на образ?


Вот пожалуста - http://www.4shared.com/file/1d5NELQkba/sonoace_8000se.html


Если есть хоть один шанс на милион, что случится неприятность - то она обязательно случится!!!
 
navesДата: Среда, 24.Июн.2015, 20:16 | Сообщение # 383
У вас сообщений: 1070
программист
OFFлайн
Российская Федерация

Москва
там просто ядро древнее 2.4.25
качаете грузитесь
http://distro.ibiblio.org/damnsmall/archive/damnsmall-0.4.10.iso

в терминале
Код
sudo bash
mkdir /mnt/linux
mount /dev/hda3 /mnt/linux
mount /dev/hda1 /mnt/linux/boot/
mount --bind /proc /mnt/linux/proc
mount --bind /dev /mnt/linux/dev
chroot /mnt/linux
lilo
reboot
5384054.jpg (66.3 Kb) · 4516679.jpg (79.4 Kb)


Сообщение отредактировал naves - Среда, 24.Июн.2015, 20:23
 
WhiteWolfДата: Понедельник, 29.Июн.2015, 09:17 | Сообщение # 384
Участник
У вас сообщений: 91
Сервис Инженер
OFFлайн
Барбадос

Хиллаби
Добрый день!
Есть Accuvix XQ, с французким интерфейсом, нужно поменять на английский, не подскажите как?
Никак не могу вылезти в настройки.
И есть ли мануал оператора? Помочь врачам разобратся, получили ввиде помощи из Франции без ничего.
Попытался погуглить, нигде не смог скачать ничего нормального.

Спасибо!
 
shtempelДата: Понедельник, 29.Июн.2015, 13:49 | Сообщение # 385
У вас сообщений: 289
инженер
OFFлайн
Российская Федерация

medteh
У меня такой в ремонте стоит. Нажимаешь Setup(справа от сенсора третья сверху).
Дальше выбираешь третью вкладку Misс.И там слева на экране первая вкладка-у меня там English и на другое не даёт менять.
 
WhiteWolfДата: Понедельник, 29.Июн.2015, 15:35 | Сообщение # 386
Участник
У вас сообщений: 91
Сервис Инженер
OFFлайн
Барбадос

Хиллаби
Мнда, у меня кнопка не нажималась.
Но, менять да, не дает стоит французкий.
Надо под сервисом зайти видимо, а как?
 
olko13Дата: Понедельник, 29.Июн.2015, 17:45 | Сообщение # 387
У вас сообщений: 825
инженер
OFFлайн
Украина

Львов
Цитата naves ()
там просто ядро древнее 2.4.25
качаете грузитесь
http://distro.ibiblio.org/damnsmall/archive/damnsmall-0.4.10.iso

в терминале
sudo bash
mkdir /mnt/linux
mount /dev/hda3 /mnt/linux
mount /dev/hda1 /mnt/linux/boot/
mount --bind /proc /mnt/linux/proc
mount --bind /dev /mnt/linux/dev
chroot /mnt/linux
lilo
reboot

Всё првильно, но есть момент: древнее ядро линукса прописывает все девайсы как sda, а более новые как hda, и они друг друга не понимают.Поэтому необходимо пользоватся линуксом с такимже древним ядром версии 2....Процедура восстановления Lilo идентична как описал Naves, с заменой hda на sda
 
navesДата: Понедельник, 29.Июн.2015, 19:10 | Сообщение # 388
У вас сообщений: 1070
программист
OFFлайн
Российская Федерация

Москва
вы тут людей не путайте :)
1) в новых системах сейчас Sda
2) я специально дал ссылку на старое ядро, в котором диски идут как Hda
3) на моем скриншоте ошибок нет, что говорит, о том что команды правильные, и второй скриншот показывает, что загрузка успешная из вышеприведенного образа.
список дисков и разделов всегда можно проверить:
sudo fdisk -l
или в зависимости от дистрибутива, где сразу дается пользователь root:
fdisk -l
4) на новых ядрах chroot падает с Segmentation fault

В общем, если система новая, то нужен современный LiveCD, где все диски уже будут как sda. А если старая, то и старые диски.
 
shtempelДата: Понедельник, 29.Июн.2015, 20:12 | Сообщение # 389
У вас сообщений: 289
инженер
OFFлайн
Российская Федерация

medteh
На dotmed для xq пишут пароль dragongate.только где его вводить не понятно...думаю naves в курсе и нас просветит.
 
olko13Дата: Вторник, 30.Июн.2015, 10:25 | Сообщение # 390
У вас сообщений: 825
инженер
OFFлайн
Украина

Львов
Цитата naves ()
вы тут людей не путайте

Извините господа - зарапортовался.naves прав.Просто хотел подчеркнуть информацию, что
Цитата naves ()
В общем, если система новая, то нужен современный LiveCD, где все диски уже будут как sda. А если старая, то и старые диски.


Сообщение отредактировал olko13 - Вторник, 30.Июн.2015, 10:29
 
navesДата: Вторник, 30.Июн.2015, 17:56 | Сообщение # 391
У вас сообщений: 1070
программист
OFFлайн
Российская Федерация

Москва
Цитата shtempel ()
думаю naves в курсе и нас просветит.

я не в курсе,
делайте копию вашего диска и смотрите что лежит на диске.

Если данная модель тоже на линуксе, возможно поменять язык напрямую отредактировав файл настроек в системе, на 4 разделе есть файл
/system/ini/sys_config.ini

строка Language, и ниже список доступных варинтов
в том же каталоге лежит файл с языками Multilanguage.xls можно даже что-то свое вписать
5007305.jpg (62.7 Kb)


Сообщение отредактировал naves - Вторник, 30.Июн.2015, 18:00
 
shtempelДата: Вторник, 30.Июн.2015, 19:20 | Сообщение # 392
У вас сообщений: 289
инженер
OFFлайн
Российская Федерация

medteh
Ну вот.посвятил же.
 
AndBovДата: Среда, 01.Июл.2015, 19:04 | Сообщение # 393
Стажер
У вас сообщений: 23
нету
OFFлайн
Казахстан

Атбасар
Спасибо огромное naves, все получилось как и описывали! Образ загрузился, но появилась другая проблема - программа не видит ни одного датчика! Ставил три разных с этого аппарата, заведомо рабочих, но после загрузки программы выскакивает окно с выбором датчиков и там ничего не отображается, активна только кнопка выхода! Подскажите пожалуйста что может быть, в чем проблема в программе или аппаратуре? И как можно это дело исправить?

Если есть хоть один шанс на милион, что случится неприятность - то она обязательно случится!!!
 
navesДата: Среда, 01.Июл.2015, 19:58 | Сообщение # 394
У вас сообщений: 1070
программист
OFFлайн
Российская Федерация

Москва
выложите последний лог-файл
на 4 разделе в каталоге debug, там по датам разделены файлы, и заодно сравните его с более старыми за 2013 год
еще в файле system/ini/sonoview.ini есть опция Debug, поставьте ее в единицу, может будет более детальная информация
3010513.png (158.0 Kb)


Сообщение отредактировал naves - Среда, 01.Июл.2015, 20:03
 
qusinkaДата: Пятница, 03.Июл.2015, 16:13 | Сообщение # 395
Стажер
У вас сообщений: 14
разнорабочий
OFFлайн
Азербайджан

Баку
доброго времени суток всем.
может у кого-то имеется образ для Medison sonoace x4?
буду очень признателен
 
AndBovДата: Пятница, 03.Июл.2015, 21:02 | Сообщение # 396
Стажер
У вас сообщений: 23
нету
OFFлайн
Казахстан

Атбасар
Всем привет!
naves, выкладываю последний лог-файл и лог 2013 года, как и просили. Я их открывал и сравнивал - отличия есть, но какие и что они обозначают понять не могу, так как в линуксе и тем более в программировании полный профан! Опцию Debug поставить в единицу не смог, так как файл "sonoview.ini" открыть смог, но сохраняться в папке "ini" он отказался. Открывал в LiveCD Ubuntu в текстовом редакторе, как делать по другому не знаю! Через диск damnsmall вообще не смог открыть диск, там все делается наверно в терминале, а для меня это темный лес!
Посмотрите, подскажите если что нужно исправить!


Если есть хоть один шанс на милион, что случится неприятность - то она обязательно случится!!!

Сообщение отредактировал AndBov - Пятница, 03.Июл.2015, 21:31
 
navesДата: Пятница, 03.Июл.2015, 23:46 | Сообщение # 397
У вас сообщений: 1070
программист
OFFлайн
Российская Федерация

Москва
Фиг его знает, как будто он отрабатывает кнопку freeze
В убунте запустите командную строку и в ней наберите
sudo gedit
И в редакторе уже открывайте файл

Можно проверить клавиатуру, может где есть опция в какой-либо менюшке.
Или опять лезть в систему.
На третьем разделе в каталоге /etc был какой-то файл
С текстом типа
/mainsys/bin/main > main$(date %yyyyddmm).log
Это типа файла автозагрузки если эту строчку закомментировать, то можно будет попасть в систему и запустить несколько тестов.
Точнее могу сказать в понедельник.
 
qusinkaДата: Понедельник, 06.Июл.2015, 09:16 | Сообщение # 398
Стажер
У вас сообщений: 14
разнорабочий
OFFлайн
Азербайджан

Баку
прошу прощения за повторение,но ребята,не найдется ли у кого образа для соноэйс х4?
аппарат не загружается,а насяльнике ругается))
 
navesДата: Понедельник, 06.Июл.2015, 21:18 | Сообщение # 399
У вас сообщений: 1070
программист
OFFлайн
Российская Федерация

Москва
Цитата qusinka ()
аппарат не загружается

что пишет-то?
может вам диск проверить

Цитата AndBov ()
но сохраняться в папке "ini" он отказался

через damnsmall
Код

sudo bash
mount /dev/hda4 /mnt/hda4
nano /mnt/hda4/system/ini/sonoview.ini

крутите вниз, редактируете, CTRL+X выход

отключение автозагрузки
Код

sudo bash
mount /dev/hda3 /mnt/hda3
nano /mnt/hda3/etc/X11/xinit/xinitrc

на строчке ./main > /mainsys/debug/main.log что-то там
первым символом вставляете решетку #
сохраняете файл, перезагружайтесь без CD,
Появится непонятное окно с квадратиками, по щелкаете мышкой по ним, пока окно не развернется в командную строку, и теперь в ней

Код
./keypaneld
./vkey

тут можно потыкать что-либо

./main --debug > /mainsys/debug/main.log.`date +"%Y%m%d_%H%M%S"`

должна в файл сохраниться дополнительная инфа
есть еще такие опции запуска
./main --debug -np -nh --id 3a
фейковый датчик.

заход в настройки CTRL+V
другие комбинации, позволяют еще что-то делать


Сообщение отредактировал naves - Понедельник, 06.Июл.2015, 21:37
 
qusinkaДата: Вторник, 07.Июл.2015, 09:58 | Сообщение # 400
Стажер
У вас сообщений: 14
разнорабочий
OFFлайн
Азербайджан

Баку
Цитата naves ()
что пишет-то?
может вам диск проверить

naves,проверил хард на наличие ошибок и плохих секторов,ничего не обнаружено.
поэтому решил перезалить ПО.
 
Поиск:



Статистика Форума
Последние обновления тем: Новые файлы хранилища: Новые участники: Top10 участников:
1. Стерилизатор паровой ...[SeregkaS (15.Фев.2026)]
2. Установка импульсная ...[юранак (13.Фев.2026)]
3. ИВЛ Hamilton C1 ф.Ham...[masloff (12.Фев.2026)]
4. Выбор принтера для ра...[seabee (12.Фев.2026)]
5. Sonoscanner Orcheo li...[Azatus7 (10.Фев.2026)]
6. рентген.аппарат Prote...[medplus (06.Фев.2026)]
7. ремонт спектрофотоме...[specordm (06.Фев.2026)]
8. Вошер PW-40 ф.Bio-Rad[zennka (06.Фев.2026)]
9. Медицинское лаборатор...[ruha (05.Фев.2026)]
1. Apollo EZ service man...[25.Дек.2025]
2. VIVIX Setup Operation...[12.Окт.2025]
3. GenwareMP[10.Сен.2025]
4. Настройка реагентов M...[20.Авг.2025]
5. Philips HD3-EXP[13.Авг.2025]
6. Рентгеновское оборудо...[08.Авг.2025]
7. VersaMed iVent201 Сер...[13.Фев.2025]
8. Гелпик КРД Ренекс РЦ ...[09.Фев.2025]
9. Офтальмологическая ус...[31.Окт.2024]
10. Cardinal-Health-VELA-...[03.Окт.2024]
1. Vabz[15.Фев.2026]
2. rauanito[15.Фев.2026]
3. AndreiK[15.Фев.2026]
4. vladimir_r[13.Фев.2026]
5. vlknv[13.Фев.2026]
6. Ormet[13.Фев.2026]
7. Pyrkin_Vladislav[13.Фев.2026]
8. cassius77[13.Фев.2026]
9. Dadasha[12.Фев.2026]
10. Vadka1977[12.Фев.2026]
МастерБаку[583]
Yulana34[177]
Serg74[160]
Dimitrius[129]
naves[122]
РОМУЛ[121]
bektyish[121]
madmac[116]
Алекс-200[114]
генаf[112]